![]() |
![]() |
![]() |
![]() |
![]() |
1 or 2
Anterior Implants
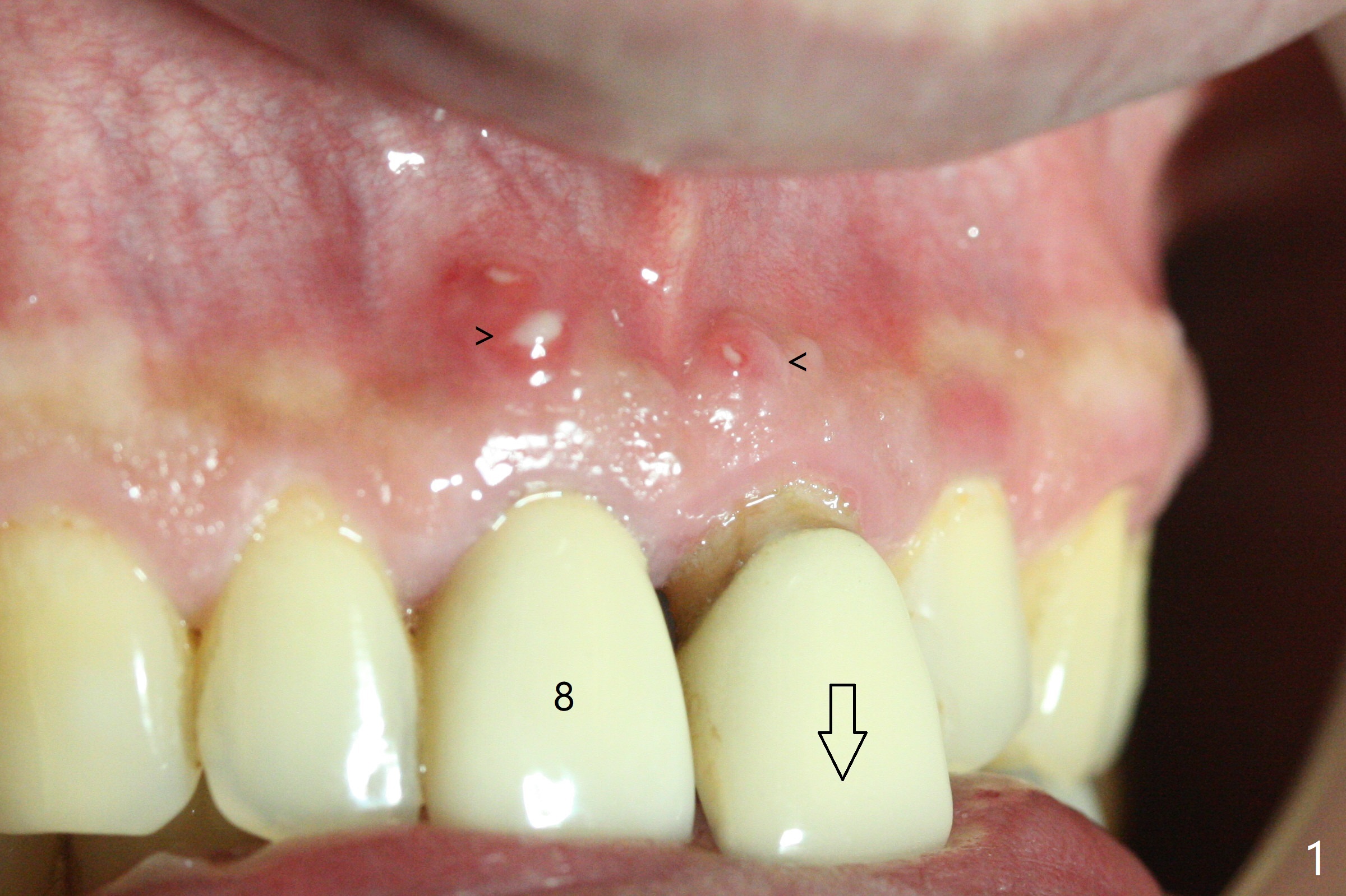
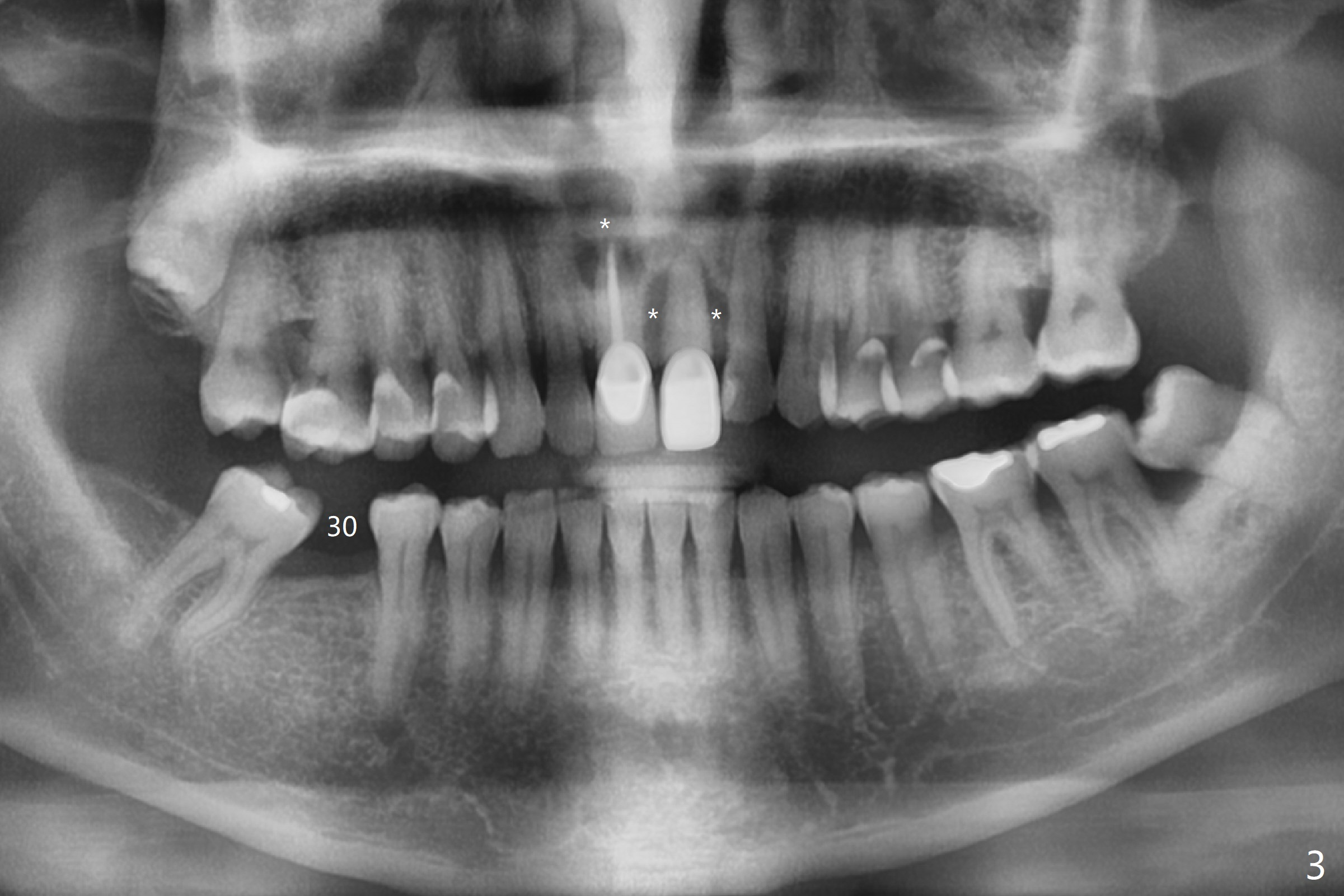
A 55-year-old man does not like the extruding tooth #9 (Fig.1,2). While there are fistulae associated with the two central incisors (arrowheads in Fig.1,2), bone loss appears to be apical at #8 and crestal at #9 (Fig.3 *). To avoid iatrogenic bone loss associated with two neighboring implants in the cosmetic zone, apicoectomy is to be performed at #8, while an immediate implant will be placed at #9 with guide at the same time (Fig.4). Furthermore there is missing or thin buccal plate at #8 (Fig.5 B).
Return to
Upper
Incisor Immediate Implant,
Trajectory,
Clindamycin Metronidazole
No Antibiotic
Xin Wei, DDS, PhD, MS 1st edition
02/26/2019, last revision
02/26/2019