![]() |
![]() |
![]() |
![]() |
![]() |
![]() |
![]() |
|
Anterior Guided Immediate Implants
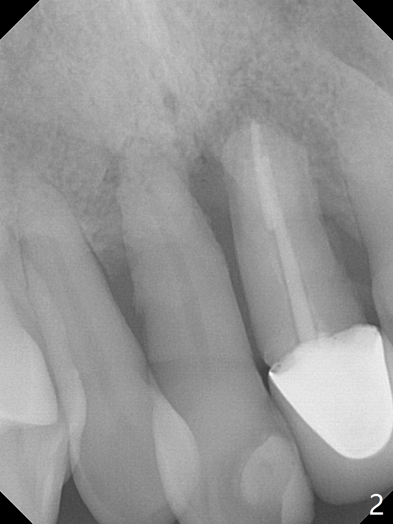
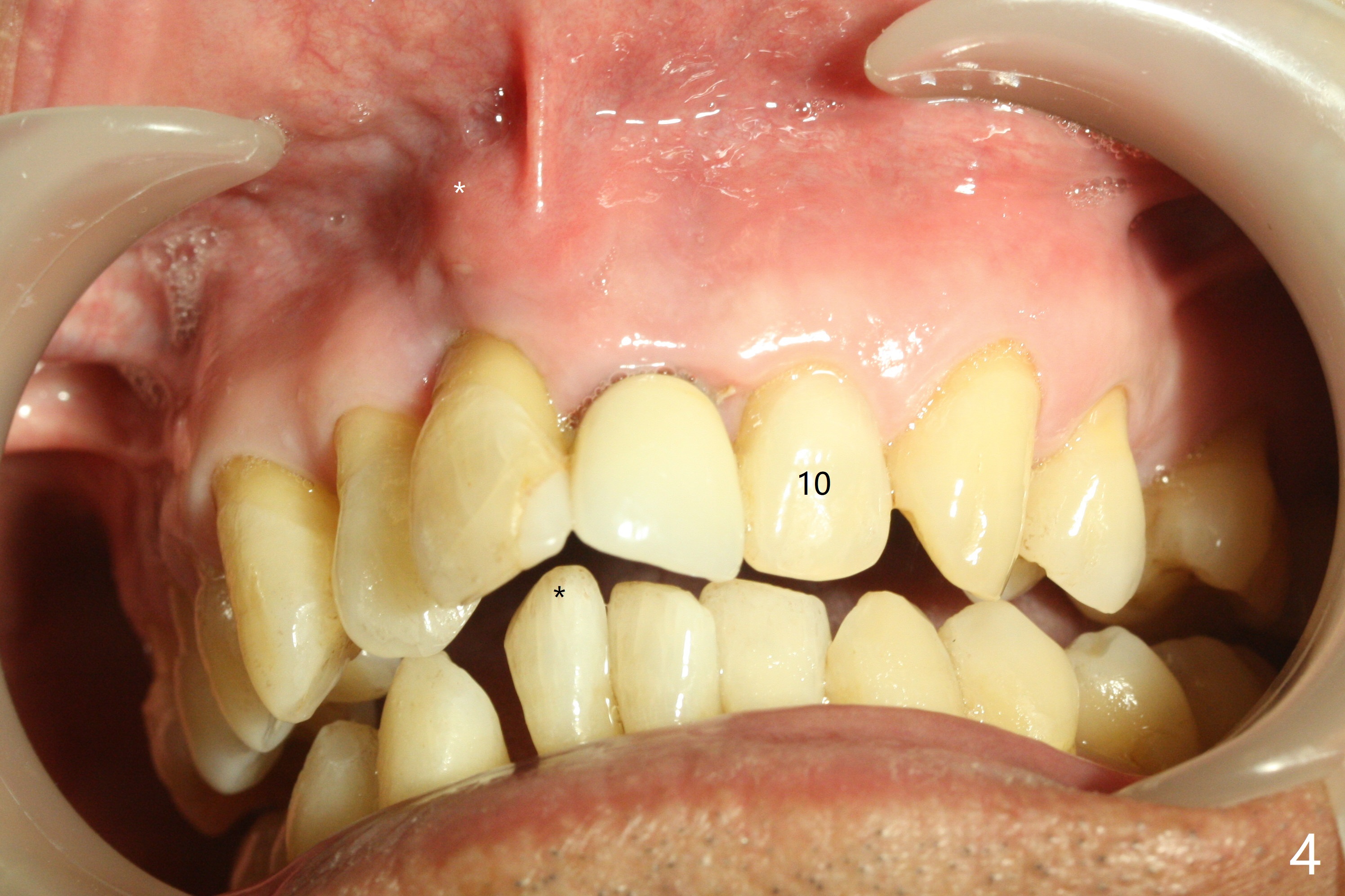
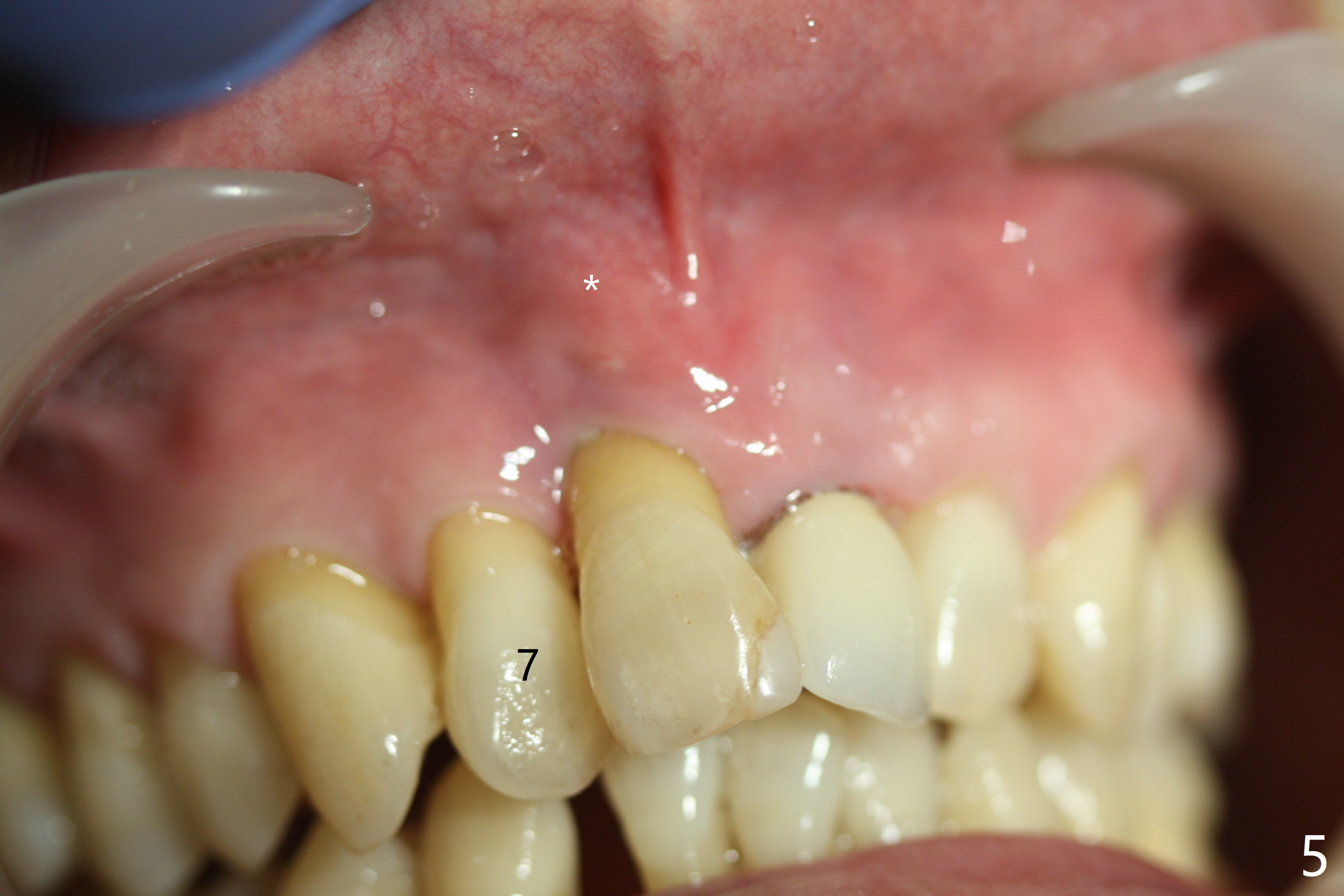
A 59-year-old man requests treatment for buccally displaced upper central incisors (Fig.1,2). It appears that the buccal plate is lost, but the bone height will allow placement of 3.5x13 mm implants with guide (Fig.3). Because of severe infection apical to the tooth #8 (Fig.4,5 *) and truncation of the incisal edges of the upper central incisors during CBCT taking (Fig.6,7 *), guided surgery may not be appropriate. The mesial surfaces of the teeth #7 and 10 and the incisal edges of the lower incisors (*) will be trimmed for immediate provisional. Immediate implants will be placed in the palatal crest of #8 (Fig.6 <) and close to the palatal crest of #9 (Fig.7). Angled abutments are expected (4.5x15 degree, A or B (4 mm cuff). PRF is to be preparedx2 (one for membrane; the other for sticky bone). Take Alginate impression when the patient returns for surgical stent.
Return to Upper Incisor Immediate Implant, Trajectory, No Antibiotic Xin Wei, DDS, PhD, MS 1st edition 09/08/2018, last revision 10/26/2018