![]() |
![]() |
![]() |
![]() |
![]() |
![]() |
![]() |
![]() |
![]() |
![]() |
![]() |
![]() |
![]() |
![]() |
|
![]() |
![]() |
![]() |
Nasal Lift Associated with Incisor Immediate Implants
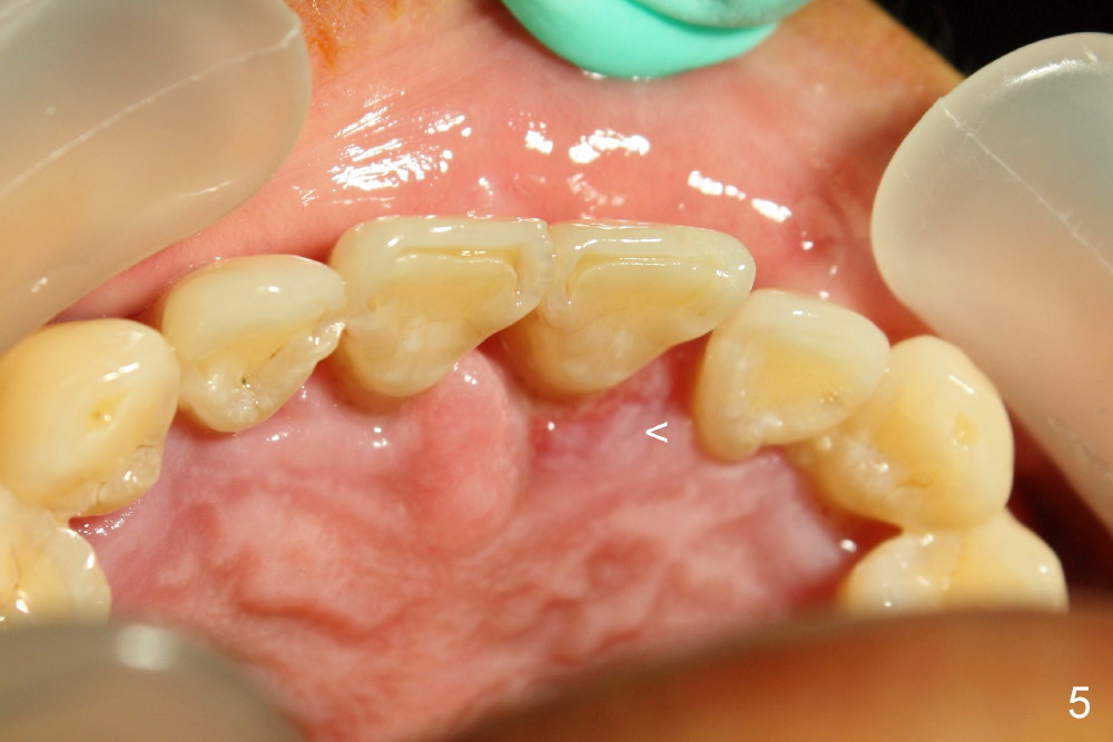
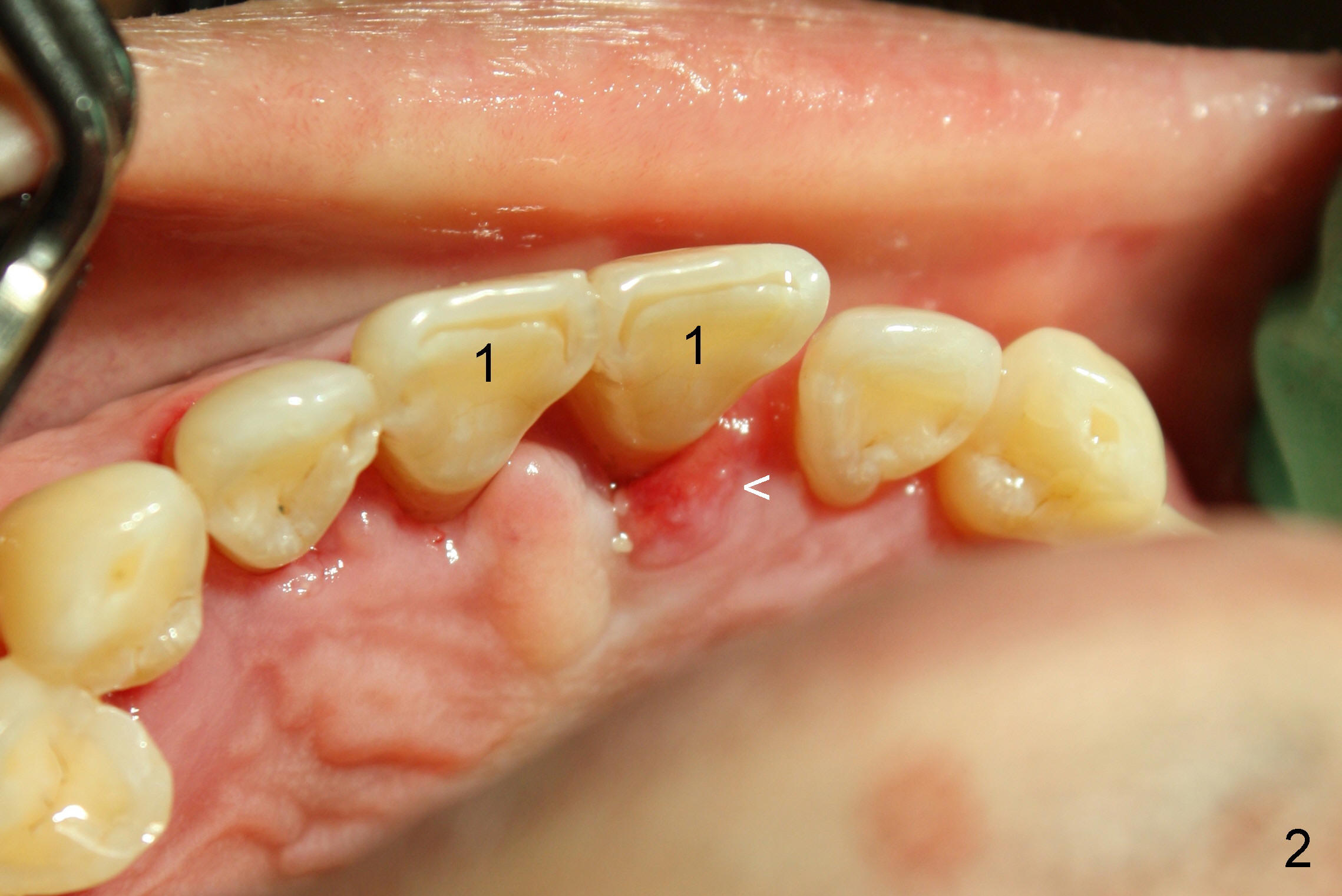
A 44-year-old man has advanced periodontitis (Fig.1,2). The infection resolves substantially 5 days post scaling & root planing (Fig.4,5). The two centrals have severe bone loss (Fig.3) and are going to be replaced by 5x20 mm implants (Fig.6).
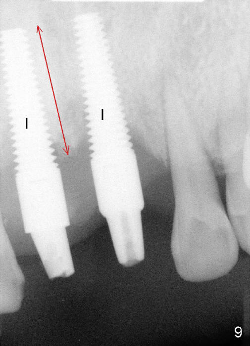
In fact two of 4.5x20 mm implants are placed immediately following extraction. Insertion torque is greater than 60 Ncm, partially because of apparent engagement of the implants into the nasal floor (cortical bone; Fig.9). Following placement of 3.5x5 mm abutments, immediate provisionals are fabricated (Fig.7,8).
One week postop, the periodontal infection is completely resolved (Fig.10,11). There is no abnormality associated with the nasal cavity.
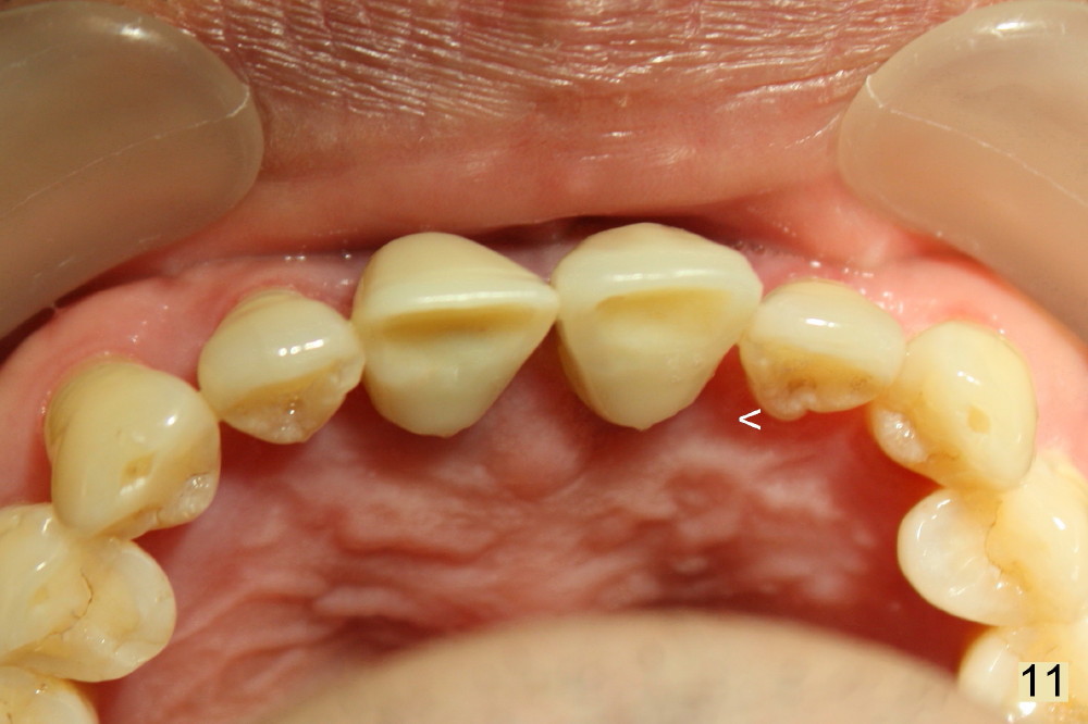
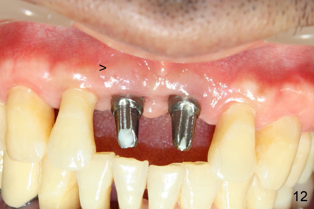
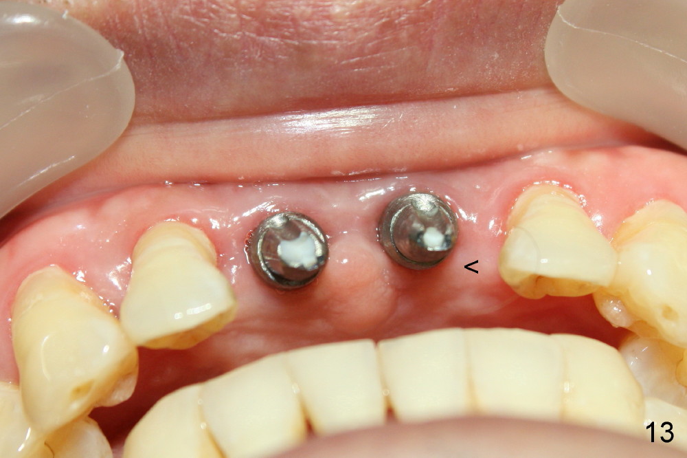
The patient returns for follow up one month and a half after implant surgery. The gingiva around the implants looks healthy. No infection relapses (Fig.12,13: <).
Four months post immediate loading, these two implants remain stable (Fig.14: I, longer and wider than the neighboring tooth (2)). The most surprising is that there is apparent bone regrowth distal to the implant at the site of the tooth #9.
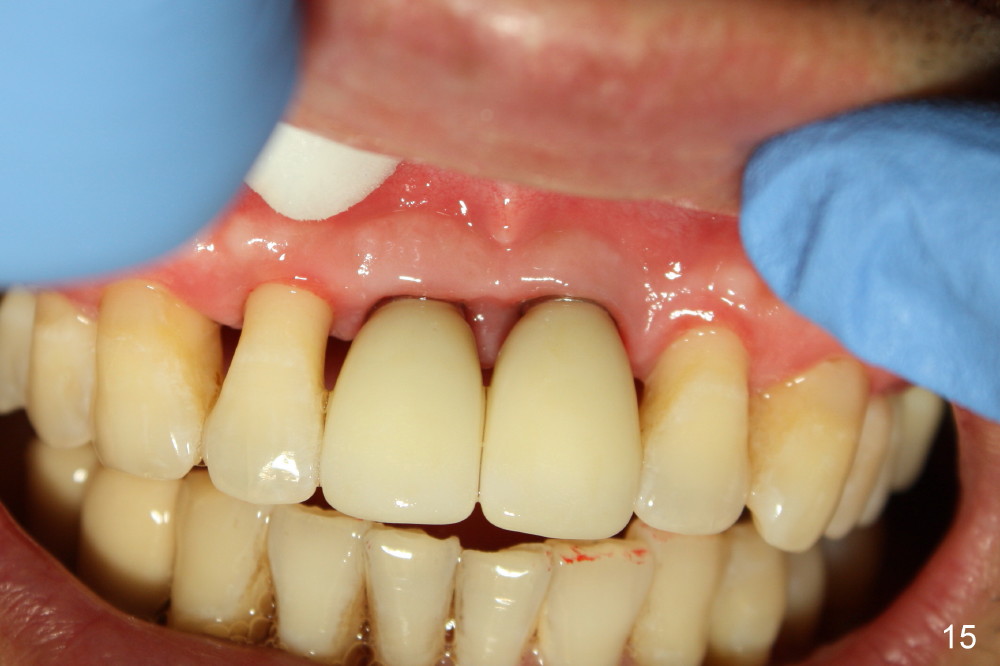
Definitive restoratons (Zirconium crowns) are seated (Fig.15,16). There is no sign of infection. The patient is pleased. In fact the nasal floor does not seem to have been lifted by the implants, as revealed by CT taken 5 years post cementation (Fig.17,18).
Upper Incisor Immediate Implants
Xin Wei, DDS, PhD, MS 1st edition 07/30/2013, last revision 12/11/2018
http://www.vumedi.com/video/sub-nasal-floor-elevation-with-simultaneous-implants-placement/