![]() |
![]() |
![]() |
![]() |
![]() |
![]() |
![]() |
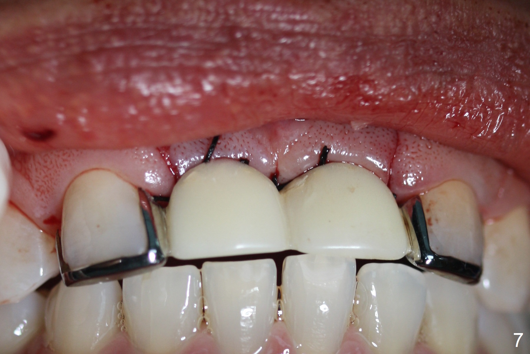
|||
Bone Expanders for Central Incisor Implants
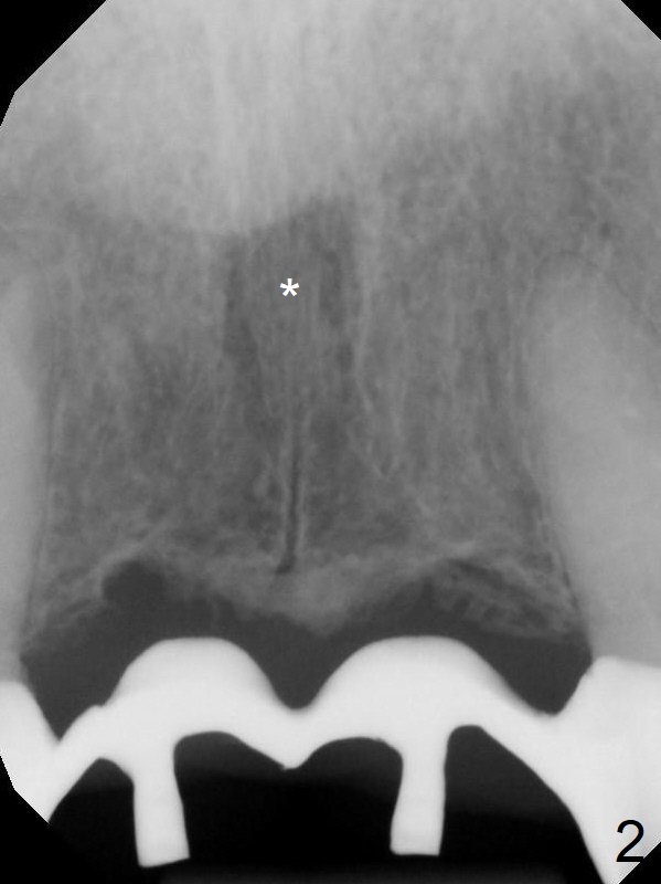
A 45-year-old Spanish woman requests implants to replace #7-10 FPD (Fig.1,2,7). After incision, osteotomy is initiated in the palatal aspect of the crest with 1.2 mm drill and DIO Bone Expanders (E1 (diameter 1.0/1.6 mm),E2 (1.3/2.3 mm), Fig.3,4). Following adjustment of the trajectory (to avoid invasion of the Incisive Canal (Fig.2 *) and use of E3 (1.7/3.1 mm), two of 3.5x11.5 mm HIOSSEN implants are placed with satisfactory stability (Fig.5). With Vanilla graft (Fig.5 *) placed over the palatally-exposed coronal threads, the flaps are approximated (Fig.6). The FPD is recemented temporarily (Fig.7).
Return to
Upper
Incisor Immediate Implant,
Instruments,
Surgeon: Dr. Gao
Xin Wei, DDS, PhD, MS 1st edition 05/28/2018, last revision 06/10/2018