![]() |
![]() |
![]() |
![]() |
![]() |
![]() |
前牙治疗计划: Partial Extraction Therapies (PET)
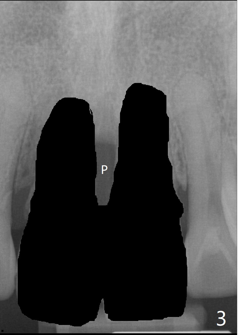
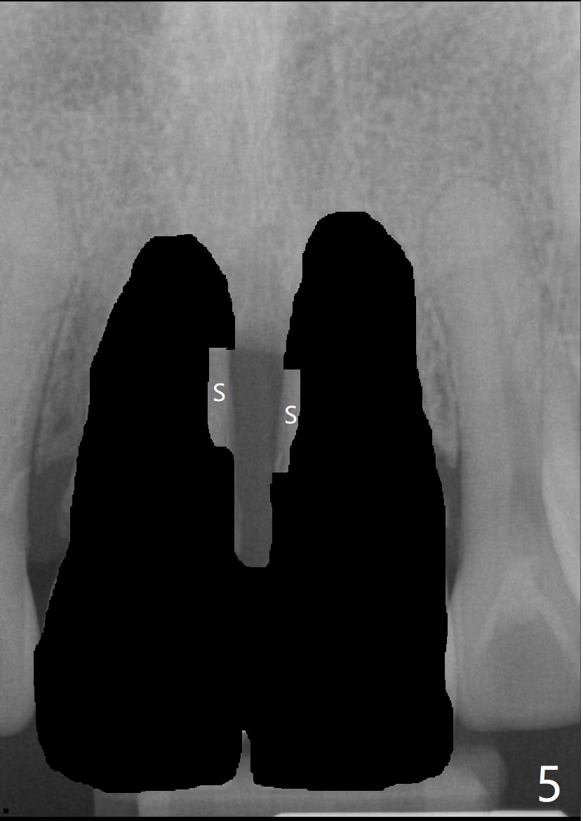
40几岁,身体无其它疾病(图一),全面检查,包括CT,取模做suck down stent/临时牙冠。第一种方法,保留一个牙根(图二:例如8号牙),减少两个牙齿之间软硬组织萎缩,一个植牙(绿色,至鼻底),基台(粉红色),临时悬臂桥,植体周围以及龈乳头下植骨(红圆圈)。图三显示两个牙齿都拔除,P:龈乳头,缺骨。为了在龈乳头下面植骨,分离它的根部,往冠方推移(图四:箭头),在产生的空间里放置骨粉(红圆圈)。也可以在颊侧近中保留部分牙根(socket shield,图五:S),然后游离龈乳头根部,推移,植骨(图六),最后植入两个植体。
Return to
Shield
Xin Wei,
DDS, PhD, MS 1st edition 02/21/2021, last revision
02/21/2021