![]() |
![]() |
![]() |
|
![]() |
![]() |
![]() |
|
![]() |
![]() |
![]() |
![]() |
![]() |
![]() |
![]() |
![]() |
![]() |
![]() |
||
Thread Exposure Within Bone Boundary
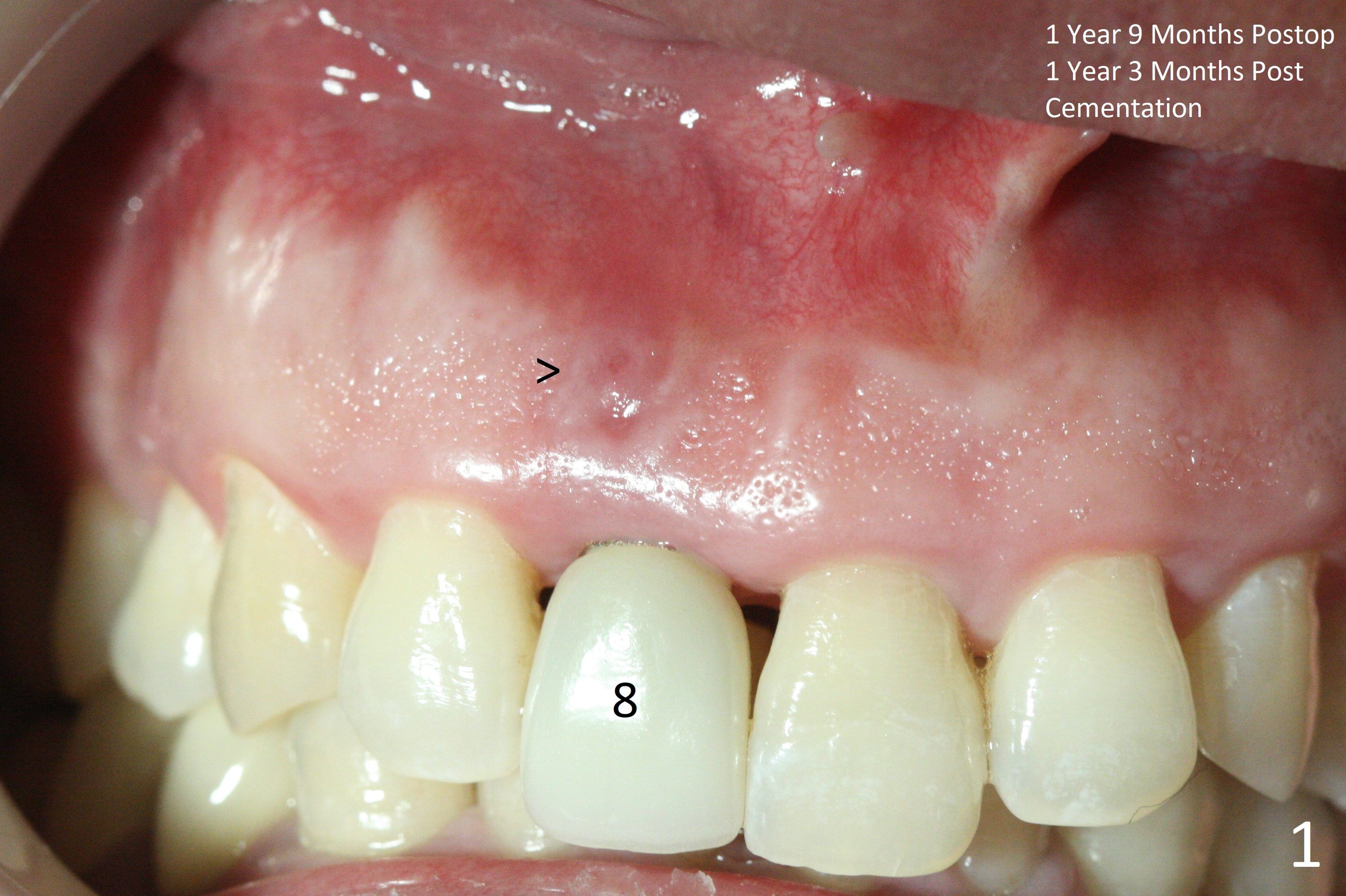
The patient returns because of purulent exudate from the buccal fistula (Fig.1 *) 1 year 9 months postop (1 year 3 months post cementation). Preop CT shows buccal thread exposure (Fig.2 arrowheads). To prevent postop gingival recession, a semilunar incision is made between the fistula and the gingival margin (Fig.3). After removal of granulation tissue (Fig.4), allograft in sticky bone form is packed (Fig.5). Following placement of PRF membrane and 6-month collagen membrane, the wound is closed (Fig.6). Since the implant (Fig.7 I) thread exposure is within bone (B) boundary (Fig.8 red dashed line), bone graft with PRF should be able to take care of periimplantitis (A: abutment). To prevent periimplantitis in similar situation, the immediate implant should be placed deep (not necessarily long, 18 mm) and narrower (3.5 mm instead of 3.8 mm). The defective buccal plate should be repaired with sticky bone and collagen membrane with incision if necessary. The wound does not dehisce 1 week postop (Fig.9) or 3 weeks postop (Fig.10, immediately post suture removal). Although bone graft seems to stay in place 6 months postop (Fig.11,12), the patient complains of bone graft expulsion sometimes. The buccal gingiva has deficiency (Fig.13). To fix it, make a remote incision (Fig.14 black line) and dissect before gingiva graft (Fig.15 dashed line). After removal of crown/abutment, the sinus track and implant surface are treated with Waterlase. A shorter cuff abutment is placed (4.5x5(4 to 3) mm) with a new provisional. The patient feels better with reduced sinus track 2 weeks postop (Fig.16).
Return to
Upper
Incisor Immediate Implant,
IBS,
Trajectory
Waterlase
Xin Wei, DDS, PhD, MS 1st edition
06/13/2019, last revision
01/20/2020