![]() |
![]() ![]() |
![]() |
![]() |
![]() |
![]() |
![]() |
自然牙冠作为临时冠
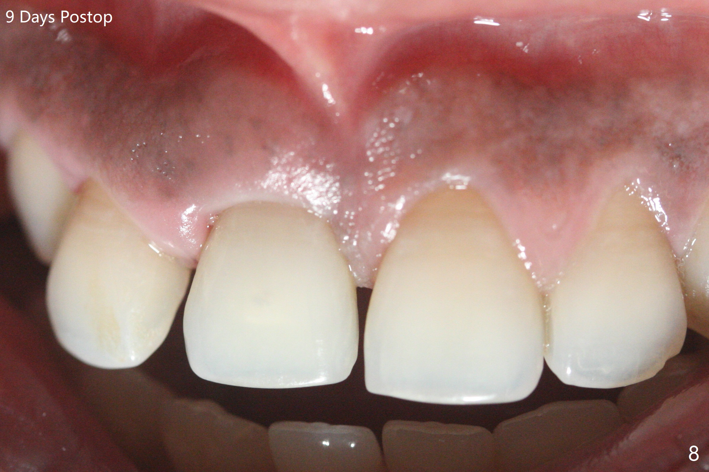
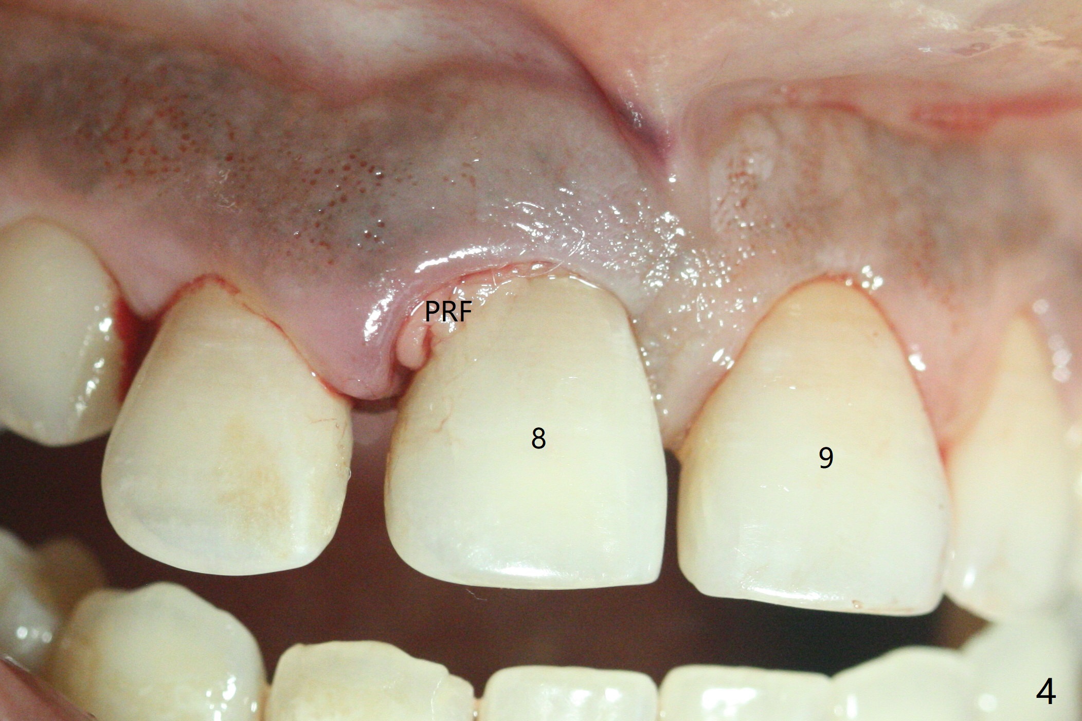
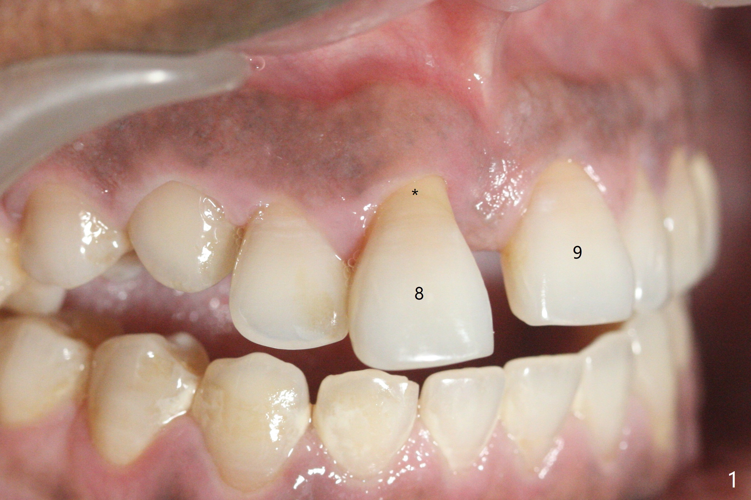
50岁女8号牙远中颊侧冠方移位(图一),牙根暴露(*),前磨牙-前磨牙开合,腭侧牙龈红肿。拔除清创后,使用导板钻洞,徒手植入2.5x13毫米一段式植体,首先将PRF膜插入腭侧,剩余牙槽窝空间植入粘性骨粉(图二:*)。截断拔除牙齿,牙冠掏空,反复调整牙冠长度,使用流动性树脂(flowable composite,图三:*)衬里固定牙冠(C),恰好PRF封闭远中颊侧牙槽窝开口(图四),自然牙冠和一段式植体配合,形成最佳emergency profile,最后牙周敷料进一步封闭牙槽窝(图五),防止骨粉早期脱落,不必担忧敷料不透气。腭侧牙龈红肿(图六)。服用Augmentin两天,患处没有触痛了(图七)。术后九天颊侧牙龈继续延长(图八).
Return to
Protect
Graft
切牙
尖牙 即种
修复
Xin Wei,
DDS, PhD, MS 1st edition 05/20/2021, last revision
06/13/2021