![]() |
![]() |
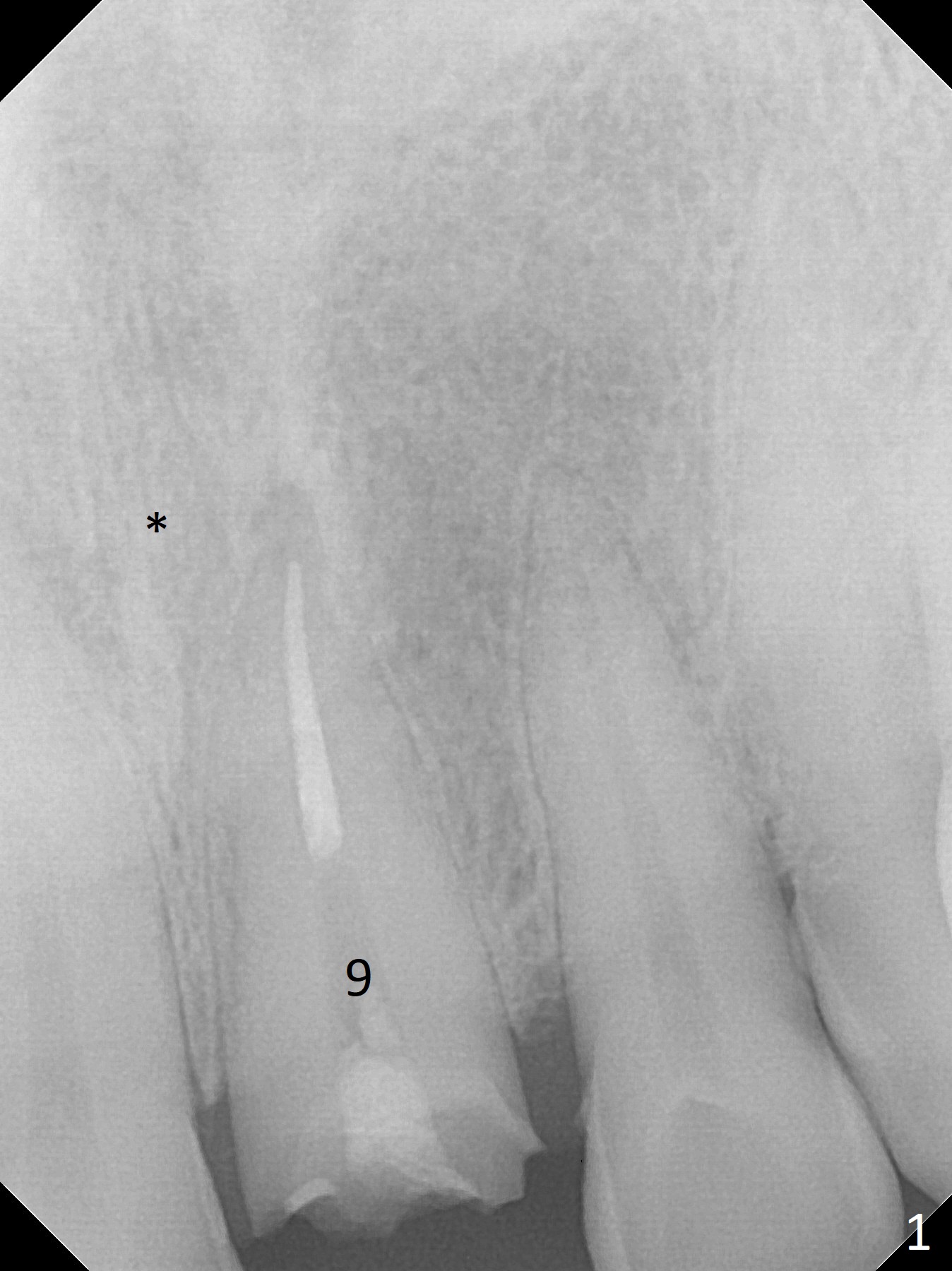
Bruxism & Deep Bite
After breaking and dislodging the crown at #9, a 57-year-old man fractures the tooth (Fig.1). The teeth # 3 and 19 have cusp fracture or severe wear, indication for crowns. Since there is anterior deep bite, the implant should be long for primary stability (Fig.2). To avoid the Incisive Canal (*), start osteotomy distal. The initial depth will be 21 mm. After trying a 3.8x15 mm dummy implant with good trajectory, increase the osteotomy for larger implant (4.0 or 4.5 mm) to reduce chance of implant breakage due to heavy mastication.
Return to
Upper
Incisor Immediate Implant,
Armaments,
No Antibiotic
Xin Wei, DDS, PhD, MS 1st edition 12/30/2017, last revision 08/12/2018