![]() |
![]() |
Except the depth, a 2.5x10 mm mini implant is placed with precision (in trajectory) at #9 (Fig.4 *(bone graft palatal)).
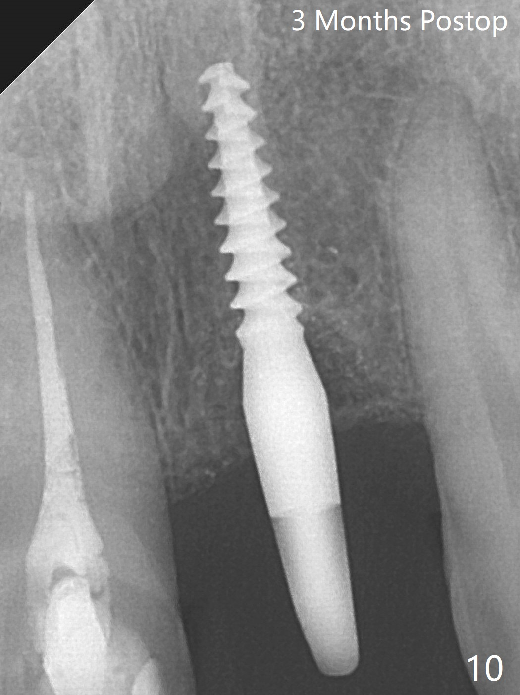
Three months postop there is no gross bone loss around the implant (Fig.10).
Guide for Narrow Ridge Last Next
Xin Wei, DDS, PhD, MS 1st edition 10/16/2018, last revision 03/13/2019