![]() |
![]() |
![]() |
![]() |
![]() |
![]() |
![]() |
![]() |
![]() ![]() |
![]() |
![]() |
|
![]() |
![]() |
![]() |
|
Titanium-Reinforced Cytoplast
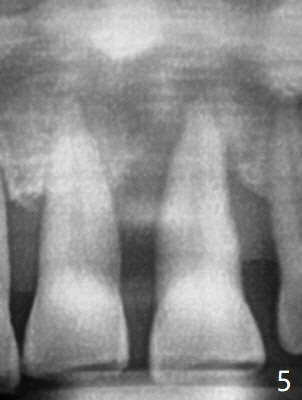
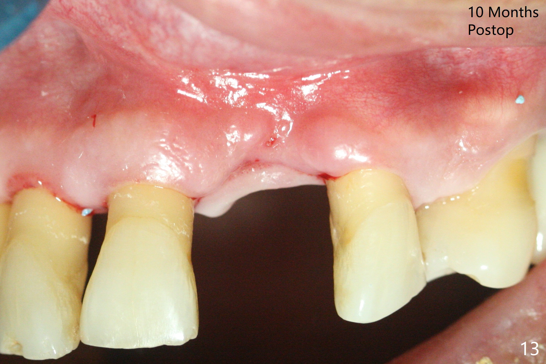
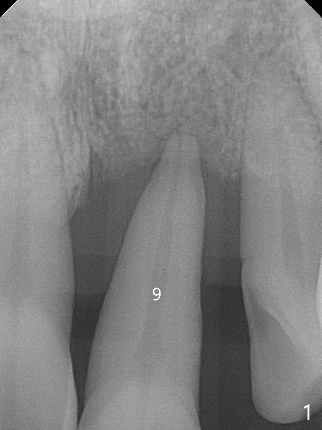
A 67-year-old man requests extraction of the loose tooth #9 (Fig.1). After extraction, the labial plate is found to be missing. With incision, allograft is kept in place with a 12x24 mm anterior narrow Cytoplast and 4-0 Chromic gut suture (Fig.2). Periodontal dressing dislodges in 2 days. The wound dehisces transversely 5 days postop (Fig.3 arrows), whereas the wound was open buccopalatal when the sutures were placed. Probably due to extensive dissection, the erythematous mucosa is large (Fig.4), although asymptomatic. When X-ray shows V-shaped bony defect (Fig.1 (PA), 5 (Pan), 6 (CT)), do not dissect the overlying thin buccal gingiva, which is most likely to dehisce. In fact immediate implant with guide appears to be more conservative, since there is no pressure against the buccal gingiva (Fig.7,8). To be more ideally, the implant could be placed more coronally, longer (13 mm instead of 11.5, Fig.9,10) and narrower (3.5 mm instead of 4.0 mm, Fig.11 (red circles: bone graft)).
Return to
Upper Incisor Immediate Implant,
Trajectory II
13
位点保留后
Xin Wei, DDS, PhD, MS 1st edition
11/04/2019, last revision
10/11/2020