![]() |
![]() |
![]() |
![]() |
![]() |
![]() |
||
深覆合深覆盖
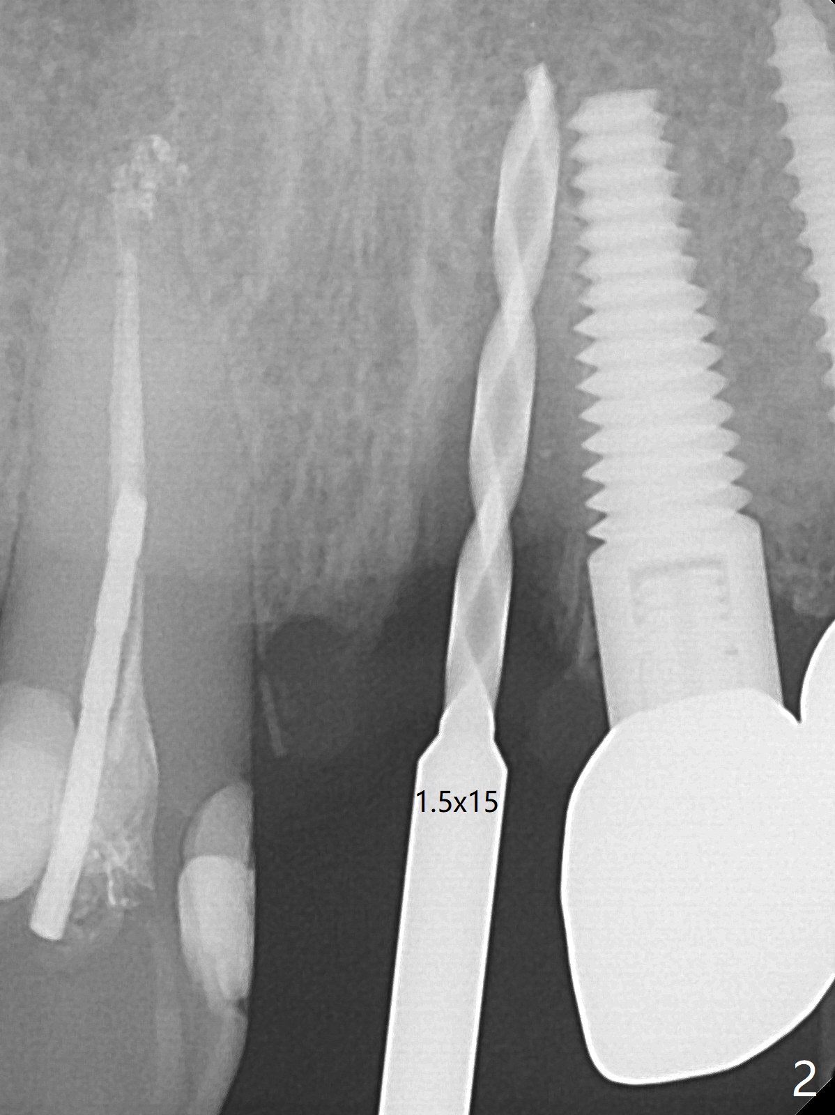
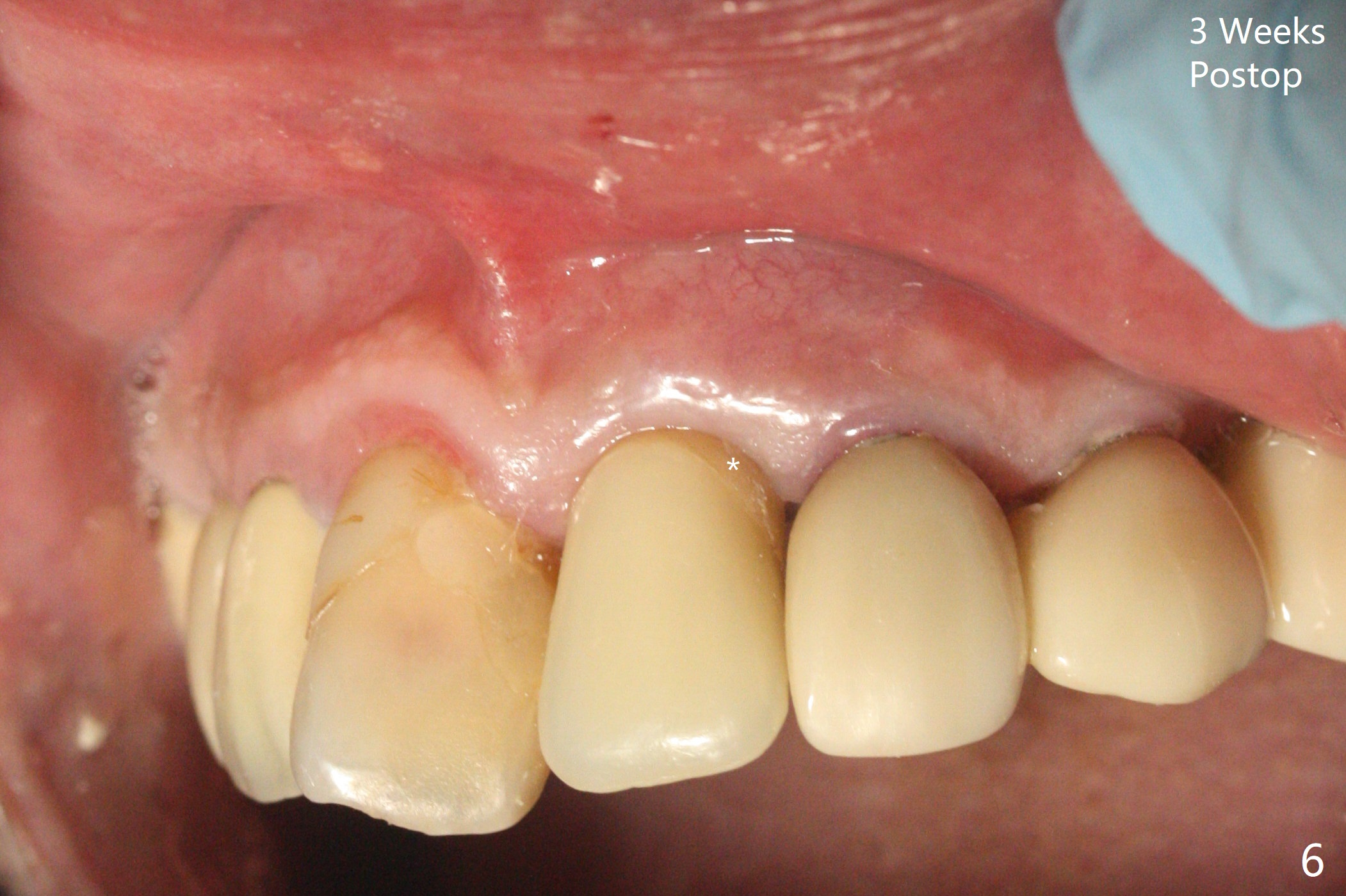
徒手种植不准确,需要反复调整,例如,为了避免接近侧切牙植体,中切牙钻洞开始于牙槽窝腭侧骨壁近中,结果接近切牙管(图一:红虚线),然后使用Lindamann bur移动钻洞,结果又太接近侧切牙(图二)。最后使用2毫米钻头试图改变钻洞方向,结果基台太接近侧切牙牙冠(图三)。而导板植入快,利索。 植入皮质骨骨粉(图四:*)后,制作临时牙冠。大约术后11天临时牙冠脱落(可能基台太短),病人没有及时复位,4天后牙槽窝愈合,可能变小,牙冠就位有些困难,造成颊侧牙龈发白(图五)。一周后牙冠又脱落,衬里后(图六:*)颊侧牙龈又显得饱满。
Return to Protect Graft Clindamycin Xin Wei, DDS, PhD, MS 1st edition 05/24/2021, last revision 07/01/2021