![]() |
![]() |
![]() |
Heavy Occlusion
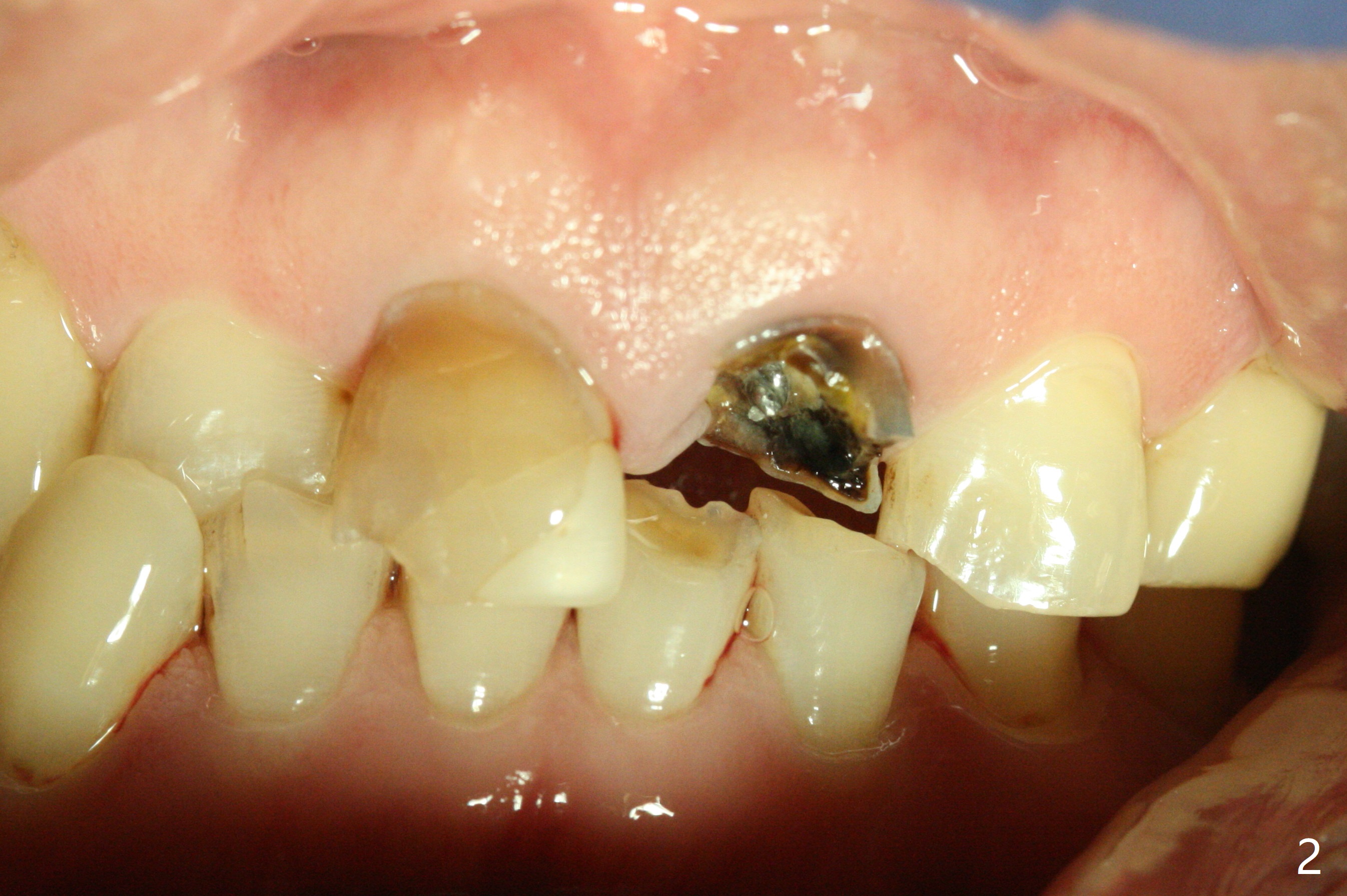
A 57-year-old man has history of fracturing post-RCT molar and difficulty in orthodontic intrusion. Now the tooth #9 fractures subgingival (Fig.1) with deep bite and heavy wear (Fig.2). A long implant will be placed to handle heavy occlusion and match the root length of the neighboring tooth (Fig.3 #10).
Return to
Upper
Incisor Immediate Implant, Armaments,
Clindamycin Metronidazole
No Antibiotic
Xin Wei, DDS, PhD, MS 1st edition 01/17/2018, last revision 01/17/2018