![]() |
![]() |
![]() |
![]() |
||
![]() |
![]() |
![]() |
![]() |
![]() |
![]() |
![]() |
![]() |
||||
Change Trajectory
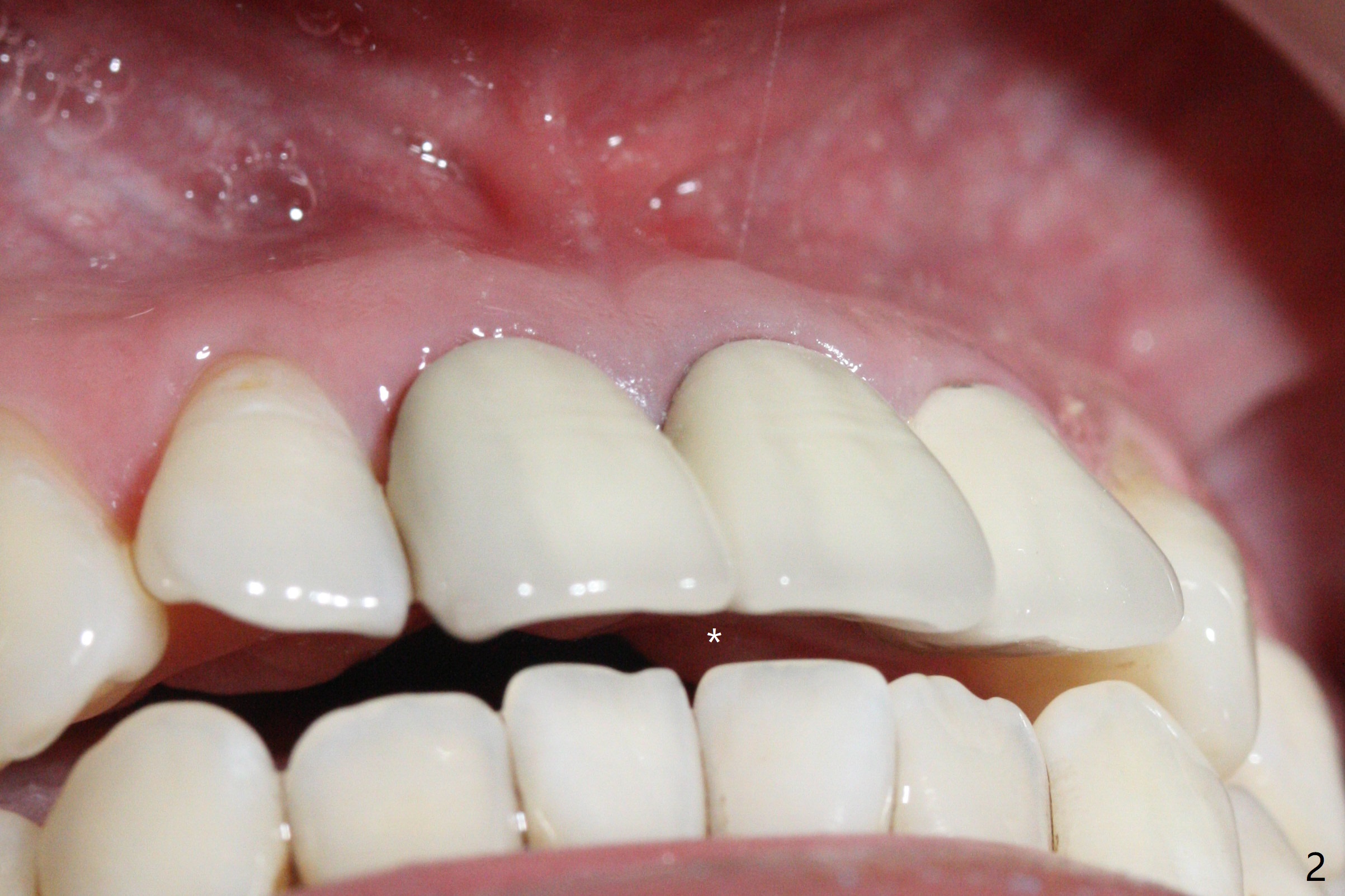
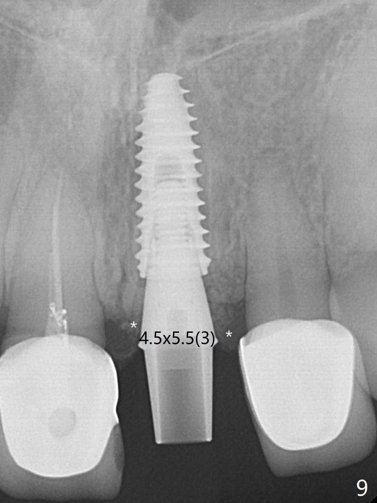
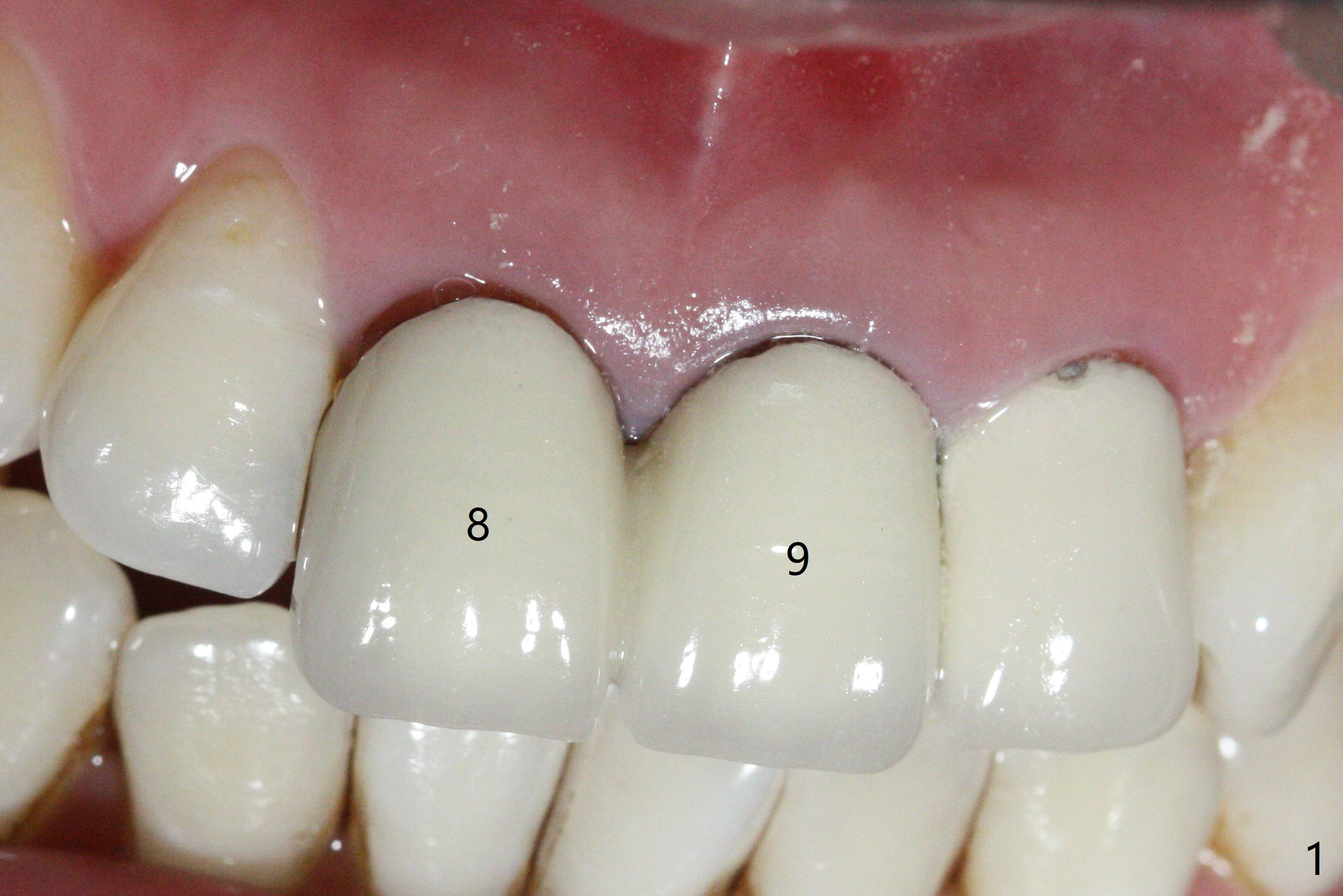
After sectioning the splinted crowns at #8 and 9 (Fig.1,2 (*: open bite)), the tooth #9 is deemed nonsalvageable because of caries and the crown/retainer of #8 is recemented. The trajectory of initial osteotomy is off (Fig.3 (red line: ideal trajectory)). Using Lindamann bur twice does not improve the trajectory (Fig.4,5). It appears that a new osteotomy should be established in the distal wall of the socket (Fig.5 red line (initial entry point and angle), Fig.6). Following sequential osteotomy, a 4x10 mm dummy implant is placed with stability and ~ 3.5 mm apical space (Fig.7 red line). A final implant (4x11.5 mm) is placed subcrestal (except buccal, Fig.8). With further placement of the implant, a 4.5x5.5(3) mm abutment and Vera graft are placed (Fig.9) prior to fabrication of an immediate provisional. In all, a new osteotomy site should be set up when the trajectory is to be changed substantially. There is no gross bone loss 4.5 months postop (Fig.10). There is shade mismatch when a porcelain-fused-Zirconia crown is tried in (Fig.11, as compared to Fig.1). The latter is corrected when a PFM crown is cemented (Fig.12).
Return to Upper Incisor Immediate Implant, Armaments Xin Wei, DDS, PhD, MS 1st edition 02/13/2018, last revision 08/13/2018