Redo Due to Screw Loosening and Gingival Bleeding

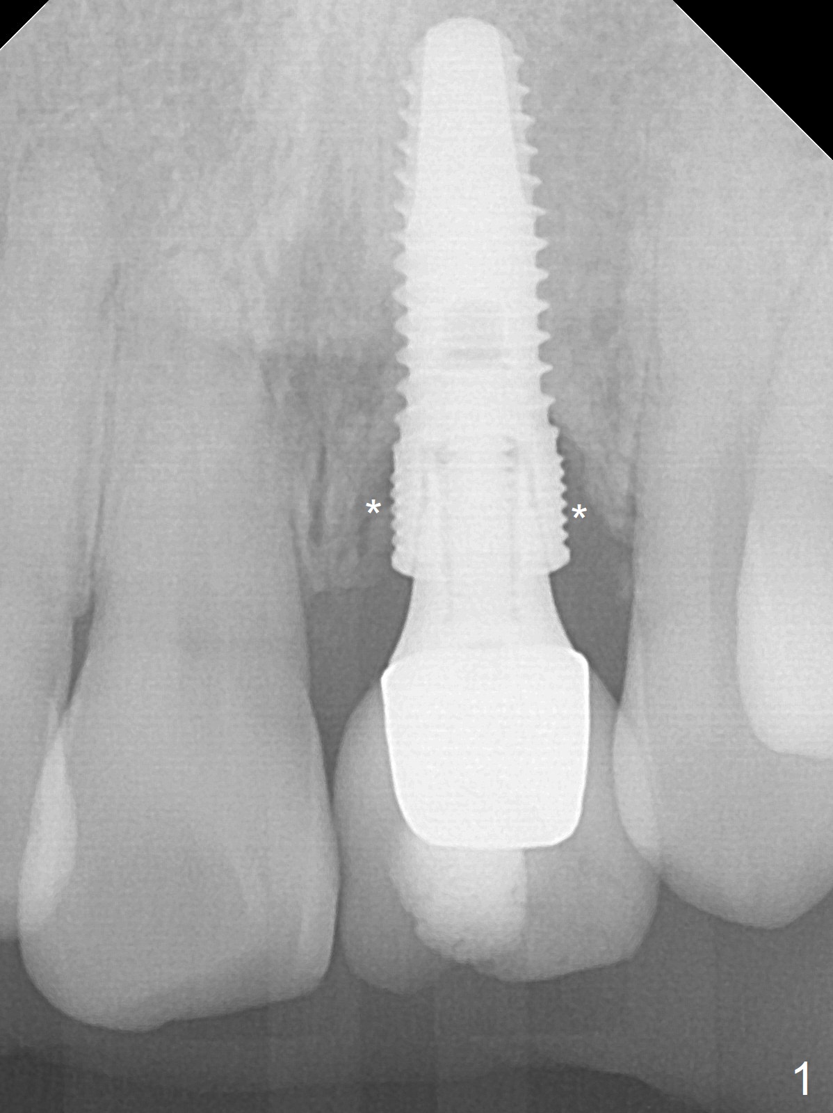
A 56-year-old woman finally agrees to redo the implant (4.5x14 mm) with repeated screw loosening and periimplantitis (chief complaint "gum bleeding while using Water Pik", Fig.1).  To reduce the 1st complication, a 1-piece implant will be chosen.  To decrease the 2nd one (i.e., to place the implant deep), an abutment with 4 mm cuff will be used.  To achieve primary stability, initiate osteotomy in the apical bone ~ 3 mm.  Autoclave 2 endo stoppers and use the longest 1.5 mm drill or one from 1-piece kit with a drill extension.  After implant removal (Metronidazole), measure the osteotomy depth using drill stopper and probably the soft tissue landmark and drill for 3 mm.  If the total depth is 20 mm, a 3x16(4) mm 1-piece implant will be used.  Also prepare UF kit (Fig.2) in case primary stability cannot be achieved with the 1-pience one.  Place a piece of Osteogen tape against the buccal wall, pack Vanilla graft around the implant and use a piece of collagen plug to seal the osteotomy (socket).  Use 4-0 Chromic gut suture to close the opening so that there will be no escape of the bone graft.  Periodontal dressing will be applied.  However, use an anterior metal tray to take Alginate preop in case of implant placement failure.  Also take preop photos to show the erythematous buccal gingiva.  Take 5x5 CT postop if needed.  In addition to using curette to remove fibrotic granulation tissue from the osteotomy after implant removal, use 15% EDTA gauze (x3 times) to kill remaining bacteria remaining in the osteotomy.  Draw blood for PRF if blood vessels are not too thin.

Return to Upper Incisor Immediate Implant, Armaments

Xin Wei, DDS, PhD, MS 1st edition 06/13/2018, last revision 06/14/2018