![]() |
![]() |
![]() |
Unilateral Mastication
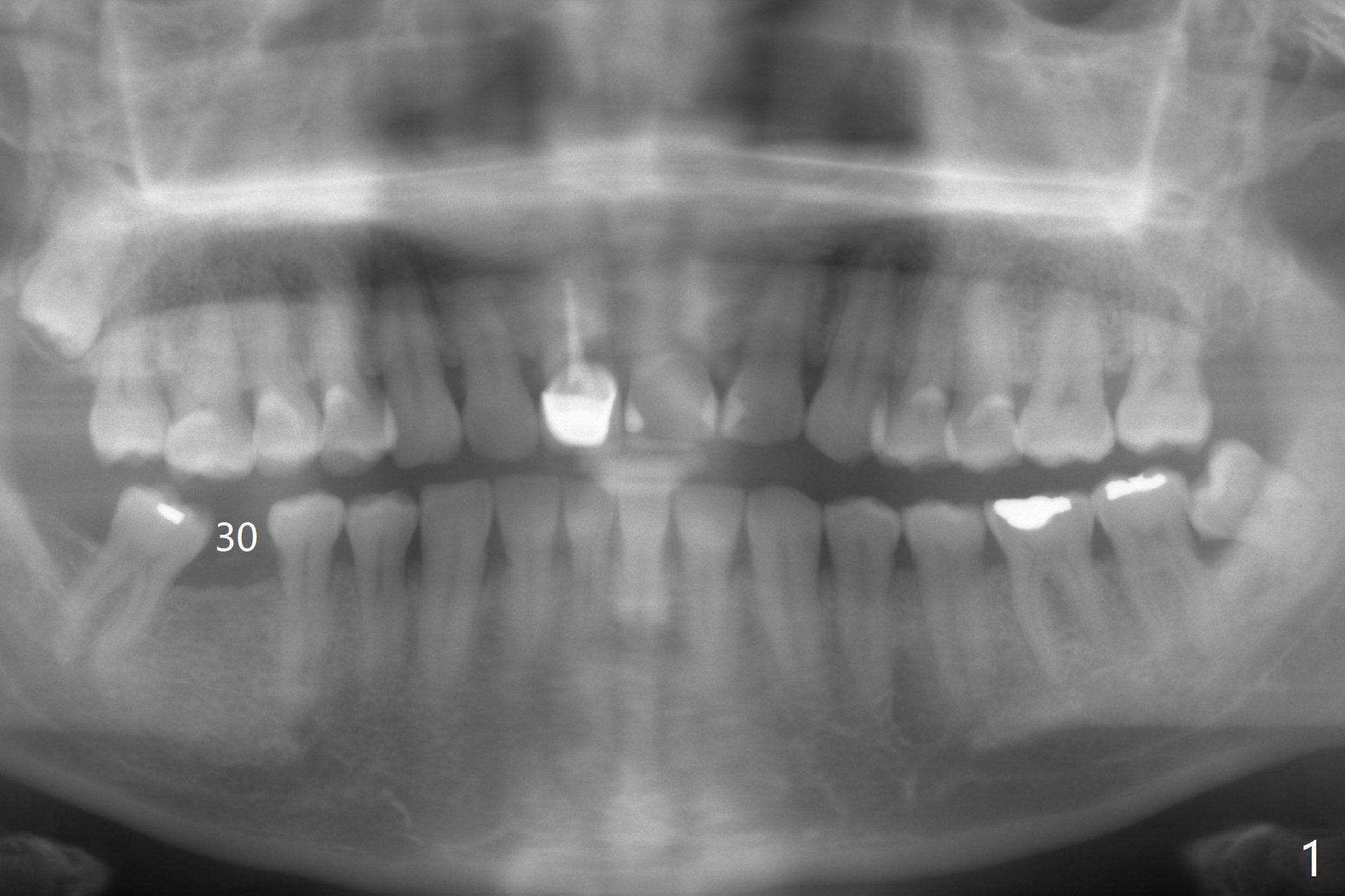
A 54-year-old man appears to be a unilateral masticator because of missing #30 (Fig.1). The left central incisor seems to have root fracture (Fig.2). To counter heavy occlusal force, a long implant will be placed (Fig.2,3).
Return to
Upper
Incisor Immediate Implant, Armaments,
No Antibiotic
Xin Wei, DDS, PhD, MS 1st edition 01/23/2018, last revision 01/23/2018