侧切牙粗即种植体随访

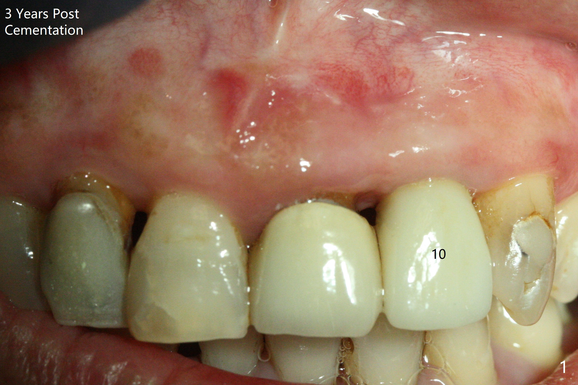
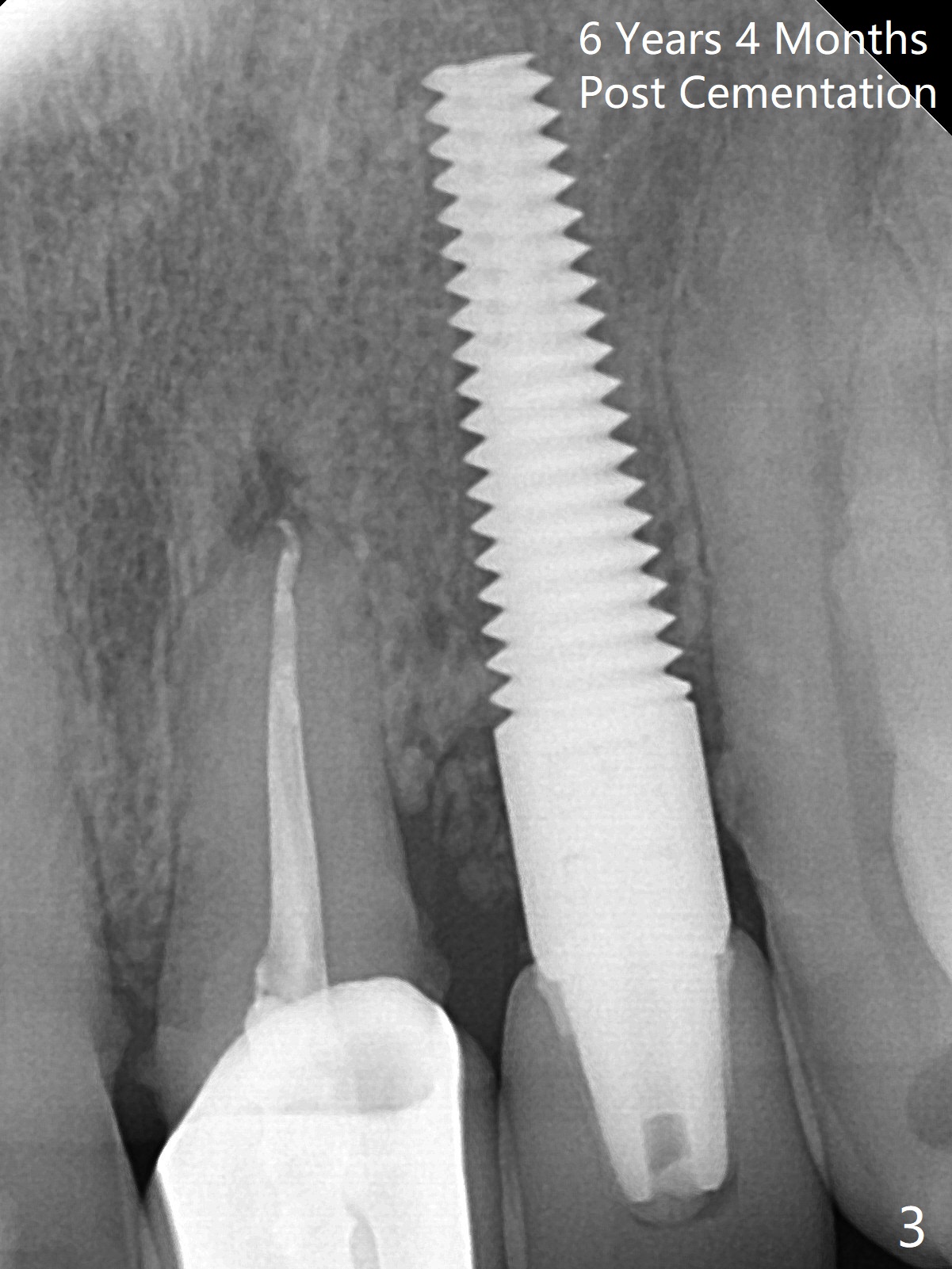
59岁女,口腔卫生差,害怕治疗,左上侧切牙即种牙冠粘固后6年4个月,同意深洗(图三)。虽然软硬组织没有特殊变化,再细点植体可能更好些(图一,二)。

Return to Upper Incisor Immediate Implant Protect Graft
Xin Wei, DDS, PhD, MS 1st edition 07/17/2021, last revision 07/18/2021