![]() |
![]() |
![]() |
![]() |
|
![]() |
![]() |
![]() |
![]() |
|
![]() |
![]() |
![]() |
||
![]() |
![]() |
![]() |
||
![]() |
![]() |
![]() |
![]() |
|
![]() |
![]() |
![]() |
||
![]() |
![]() |
![]() |
||
![]() |
![]() |
![]() |
||
![]() |
![]() |
![]() |
||
![]() |
||||
每个人进入角色
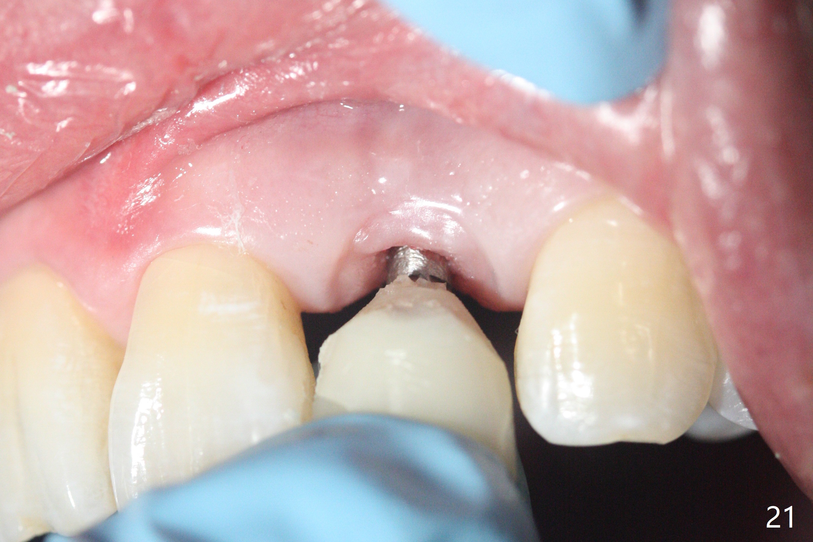
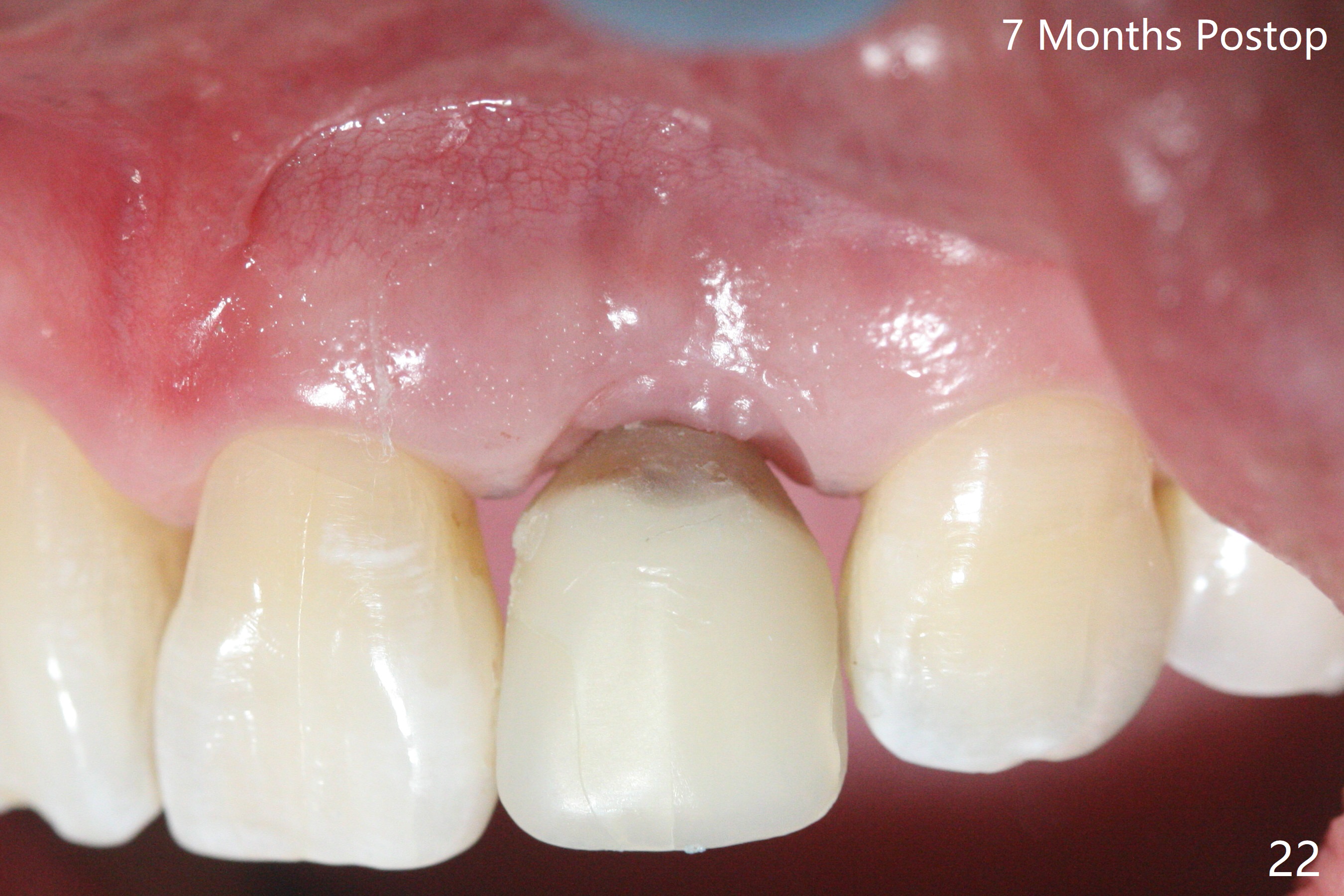
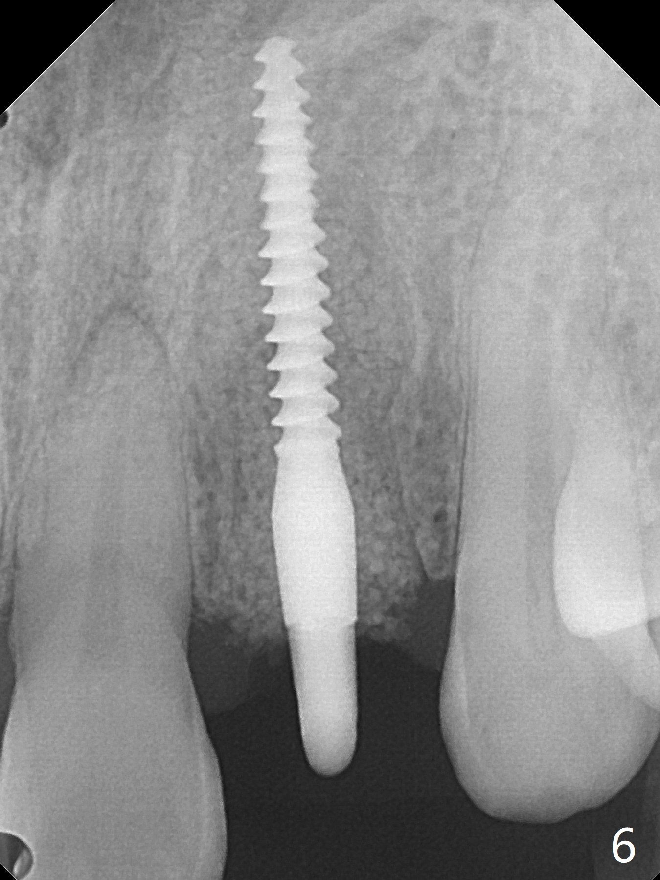
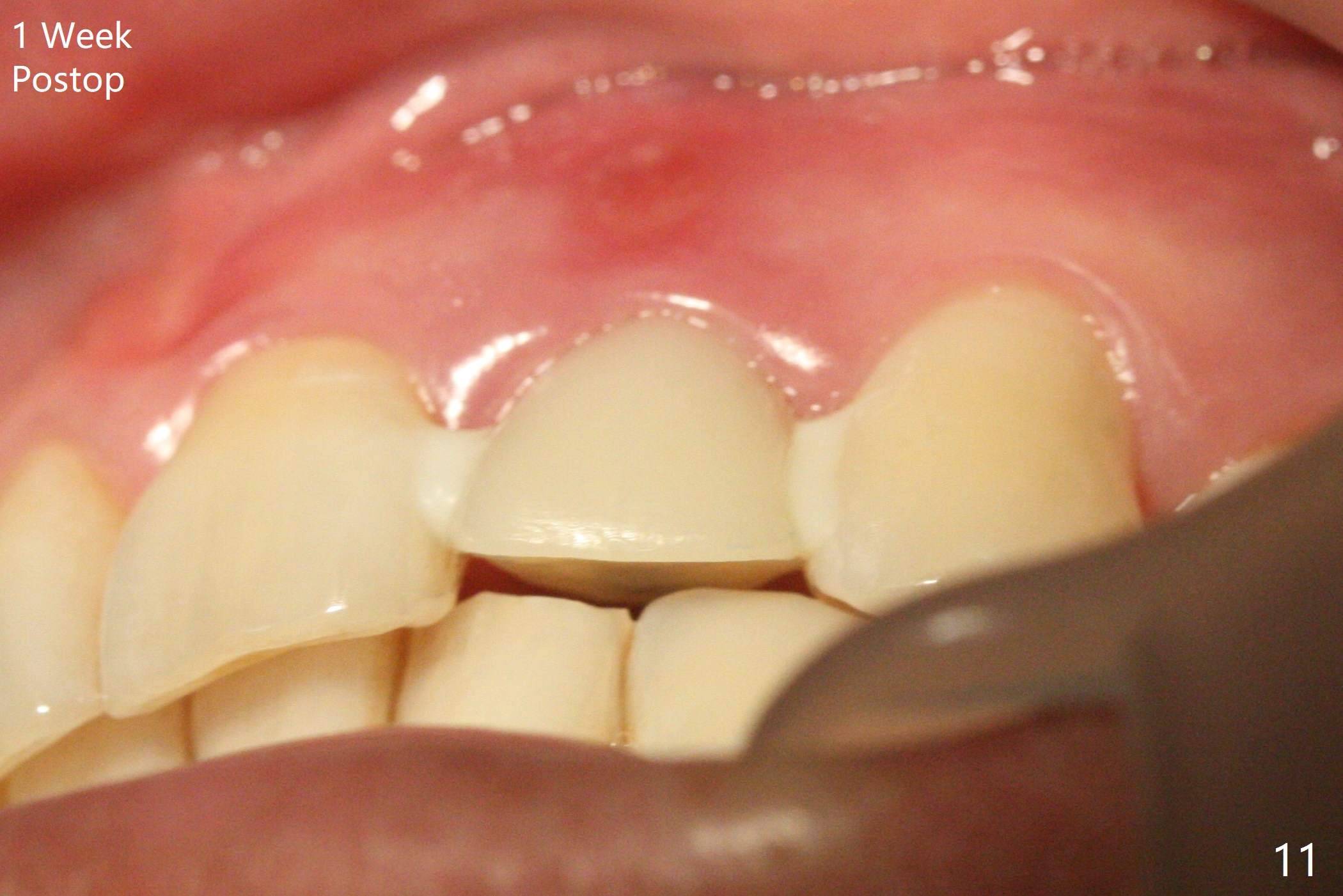
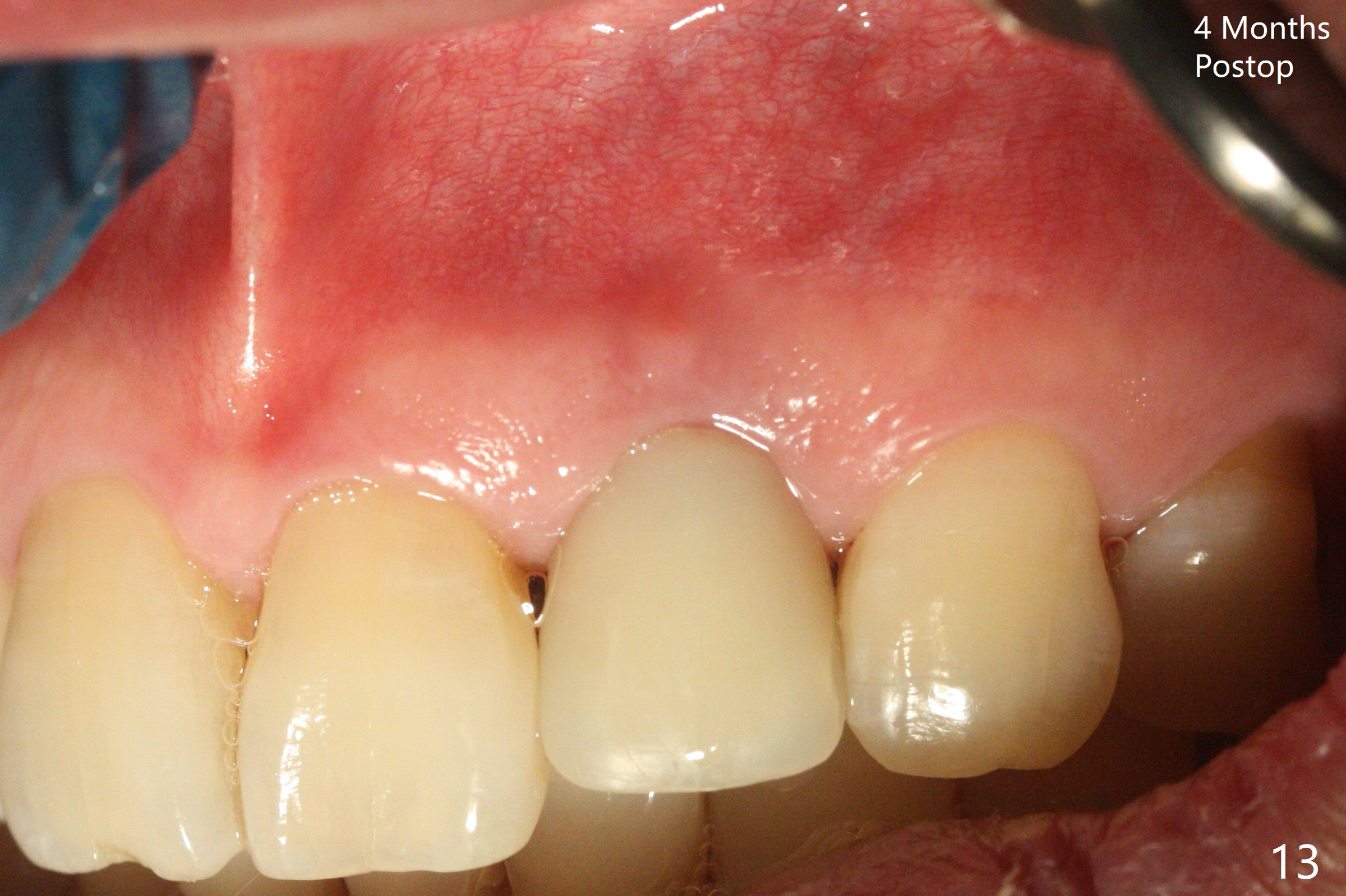
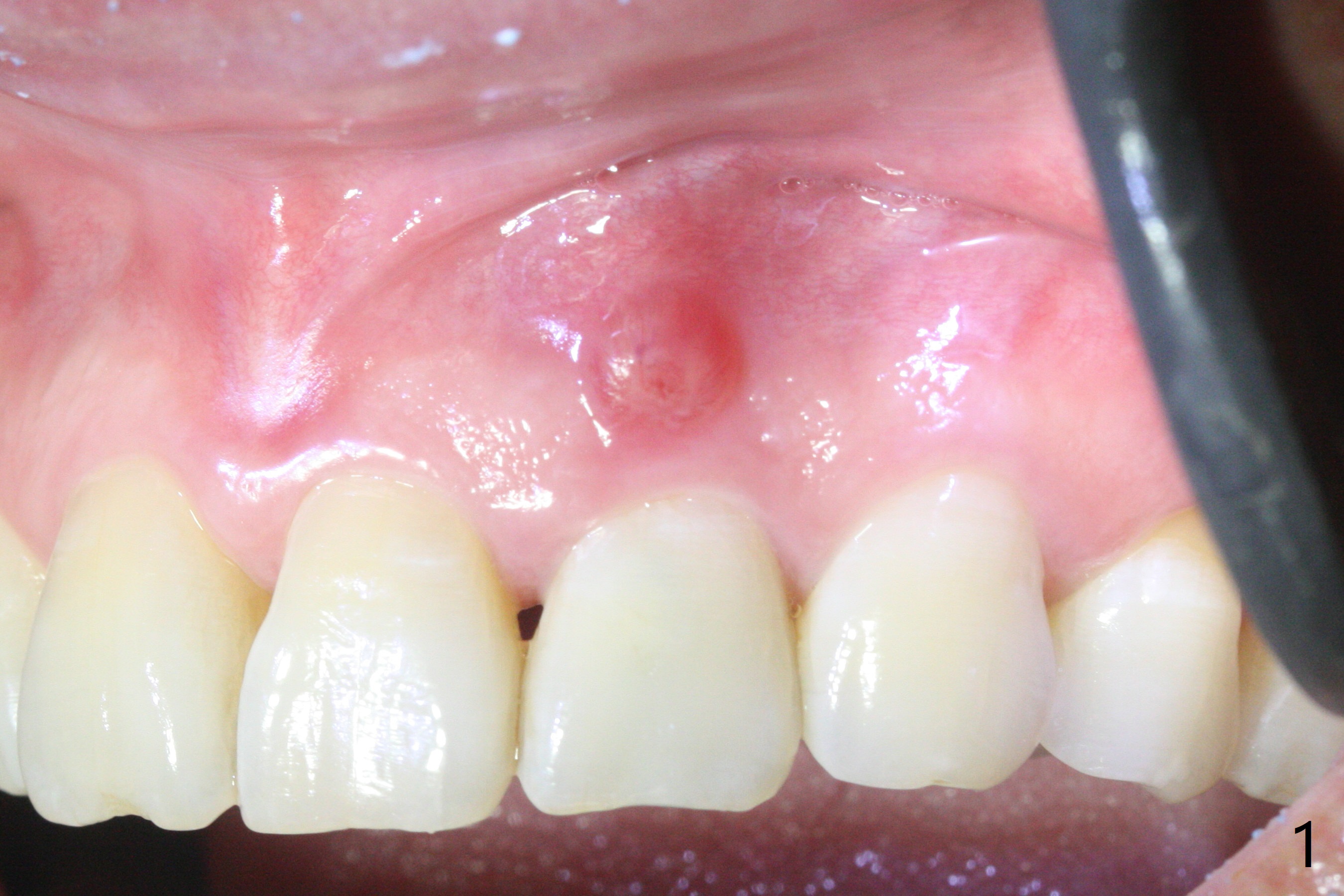
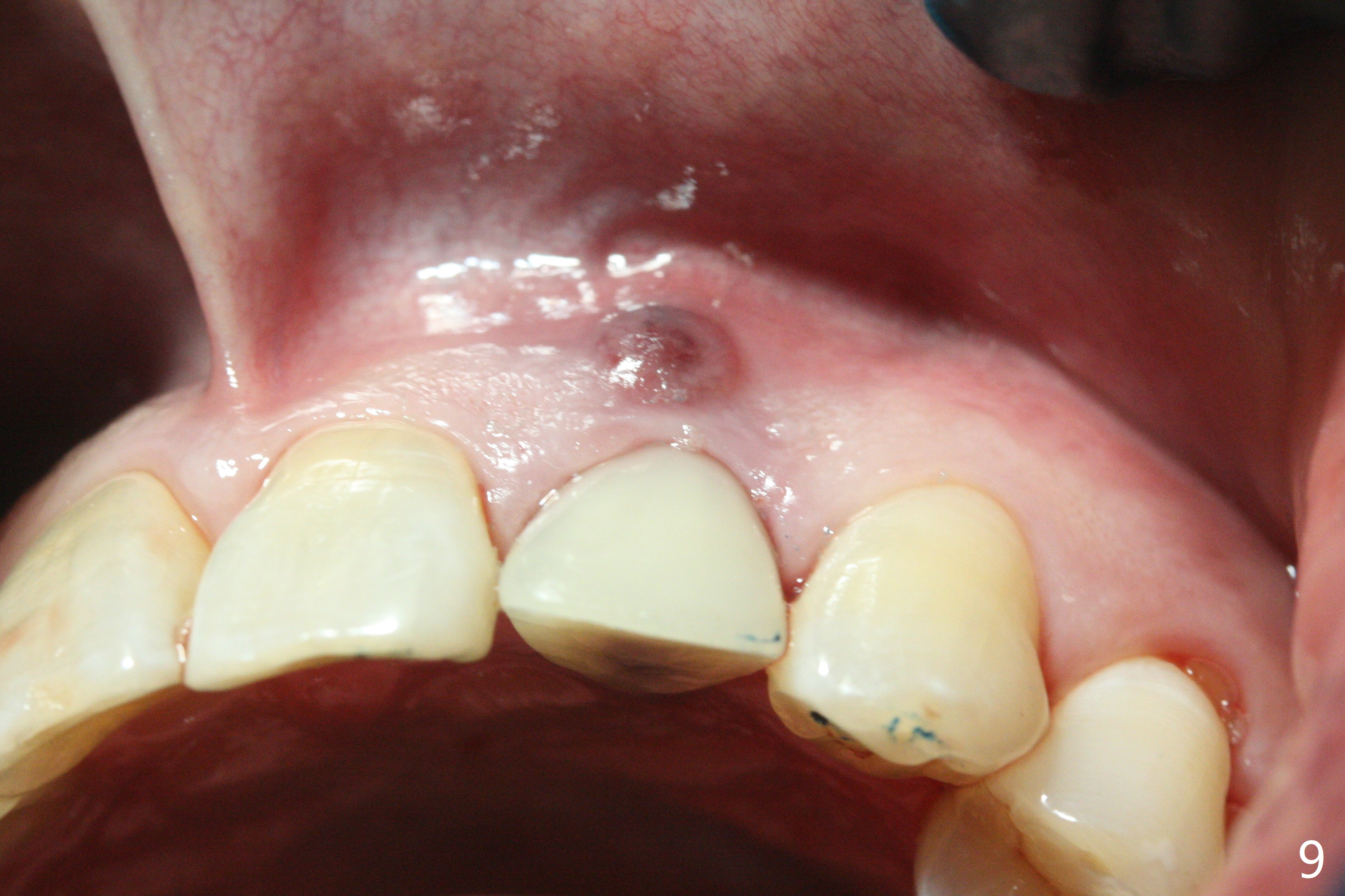
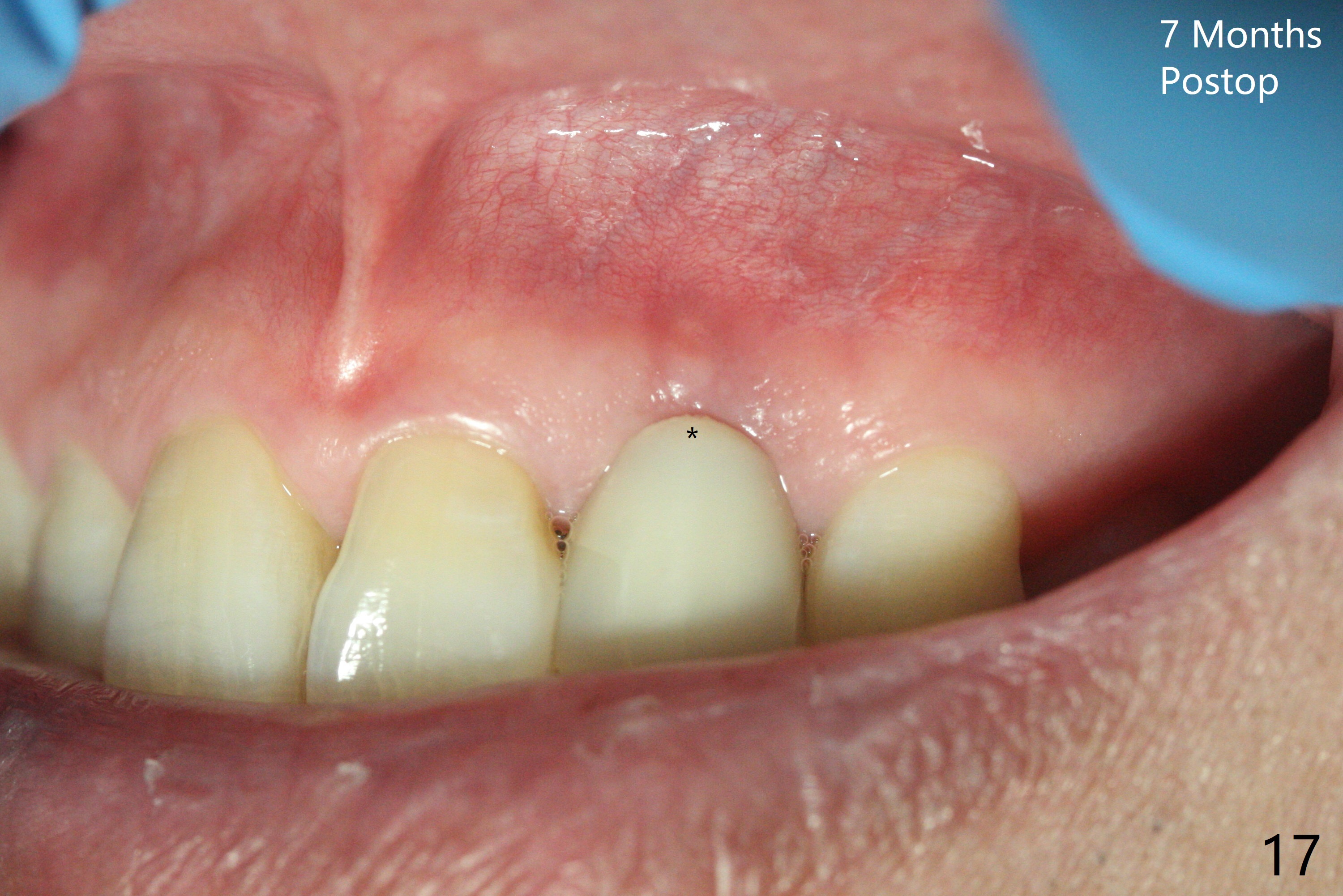
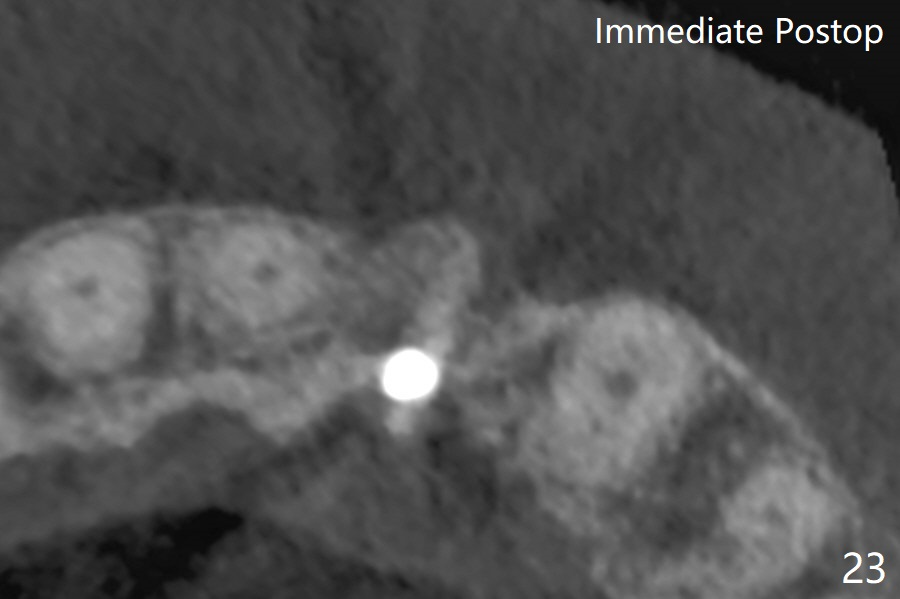
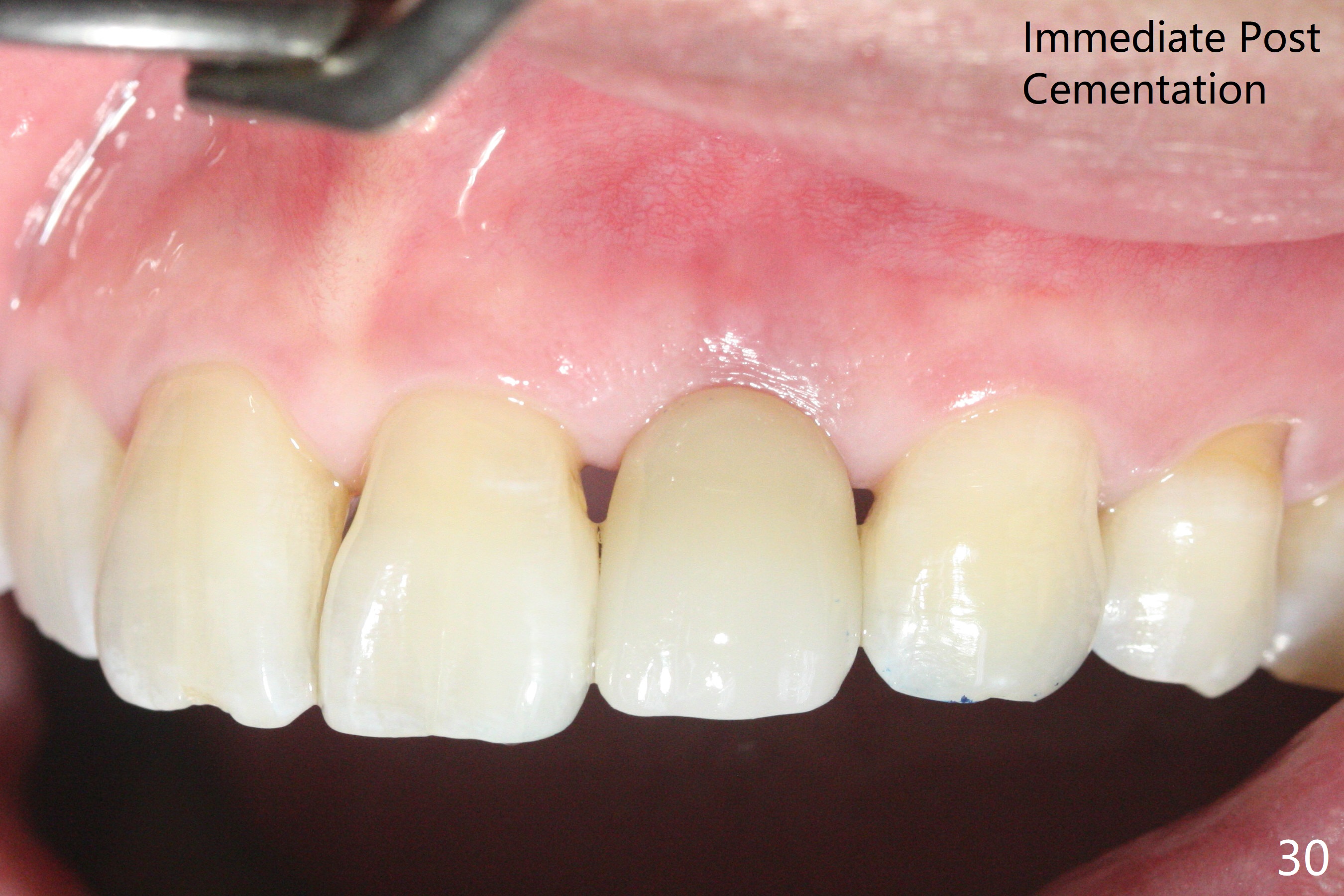
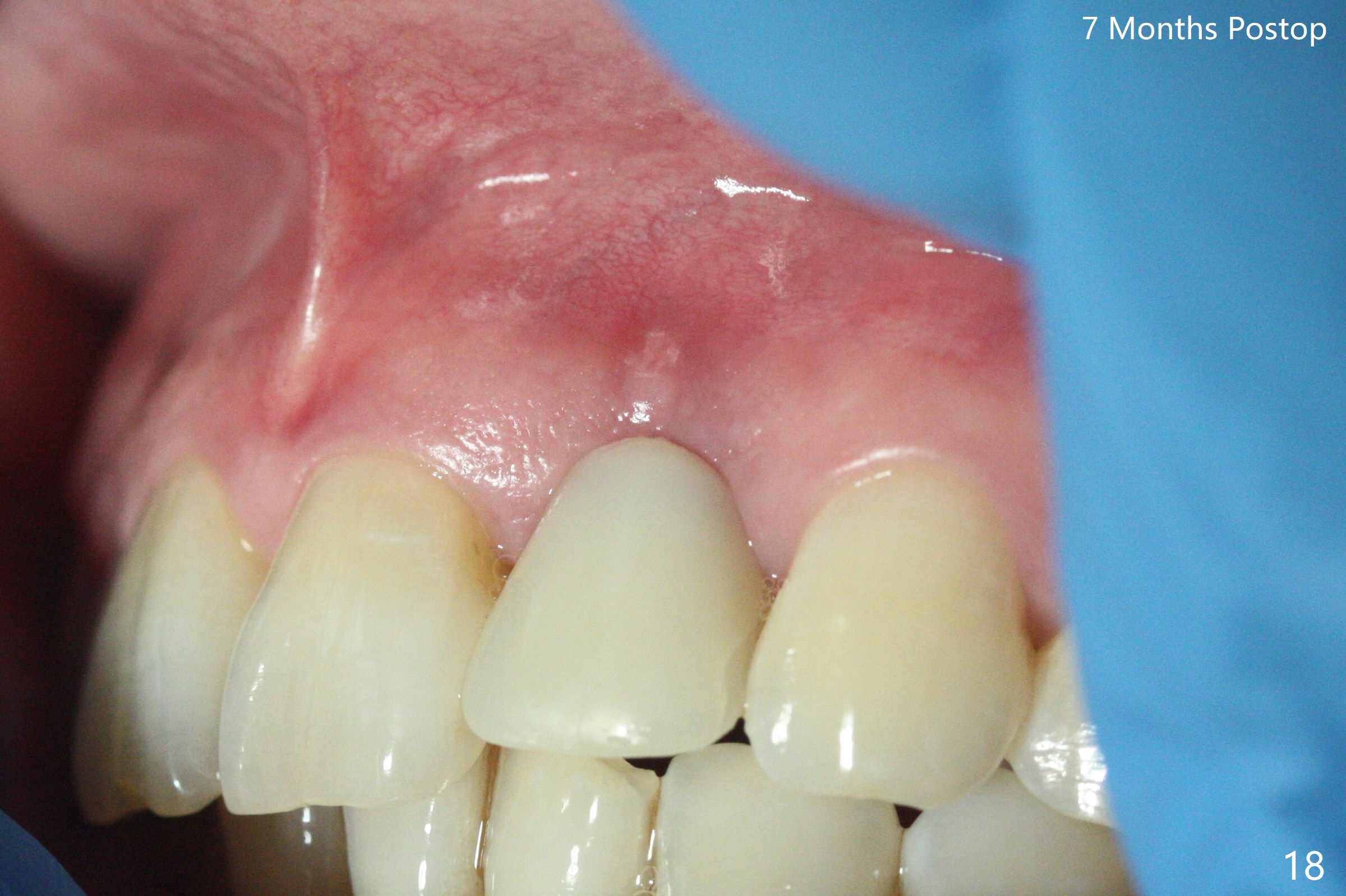
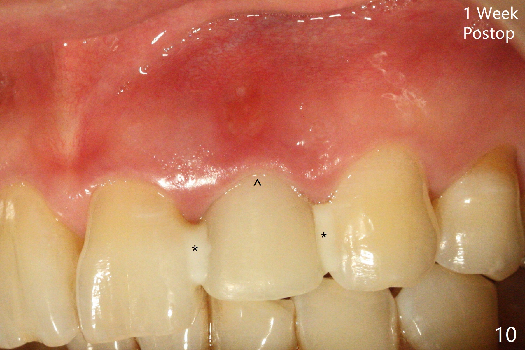
病人回来带来瘘道(图一),不过不会增加难度,病牙去除,它便自动消失。尽管颊侧骨壁完全失去,颊侧牙龈仍丰满(图二),为什么呢?第一,因为粗大牙根存在,第二两旁牙齿,牙槽骨撑着帐篷(侧切牙颊侧牙龈),第三,牙冠。为了防止术后牙龈塌陷,尽量不切开,即刻放置植体(牙根);由于前牙缘故,这次植体不能很大,所以植骨必须过度(over grafting),最后即刻制作临时牙冠,撑住牙龈。这就是所谓每个人进入角色。这个牙根有一种先天性畸形:dens in dent (图三(腭侧观):箭头)。尽管腭侧牙根畸形,腭侧骨壁吸收临床上并不严重,所以钻洞仍偏腭侧。当预定最后钻头还在钻洞时,填入大量粘性骨块(图四:*),细长植体还没有完全卡入鼻底(图五),最后好像可以(图六,七)。植体,骨粉入位(图八),最后临时牙冠出场(图九)。尽管植体小,术后一周临时牙冠仍然可以维持牙龈原有形状(emergency profile,图十:箭头(*:树脂强化牙冠固定))。图十一以不同角度显示瘘道缩小。术后三周取出有些松动的临时牙冠,骨粉虽然还没有被肉芽组织整合,但是显得正常,周围牙龈健康(图十二)。术后4个月牙龈形态正常(图十三),没有触痛;颊侧骨板轻度凹陷(图十四);骨粉仍在原位(图十五)。术后7个月骨粉仍在原位(图十五,十六,但是冠部密度减低(可能骨粉流失,需要牙周或者树脂敷料保护)),没有螺纹暴露。但是牙冠边缘暴露,说明牙龈收缩(图十七,与图十三对比),颊侧骨板仍塌陷(图十八)。插入龈线取得多个目的:修整基台边缘,取模,颊侧牙龈推向颊侧,有利于即将衬里牙冠龈缘进入龈下(图十九)。取模后牙冠边缘(图二十:<)衬里,然后修整,变窄,以便插入龈下,促进颊侧牙龈下降(图二十一,二十二)。术后8个月牙冠粘固前牙龈健康(图二十七,八),牙冠(图二十九)固位后,病人满意(图三十),咬合调整(图三十一),注意腭侧粘固粉流出通道(<)。
Return to
No Deviation
1-piece
DIO
第二磨牙即种
切牙即种
Xin Wei,
DDS, PhD, MS 1st edition 09/22/2020, last revision
05/22/2021