From Guide to Free Hand

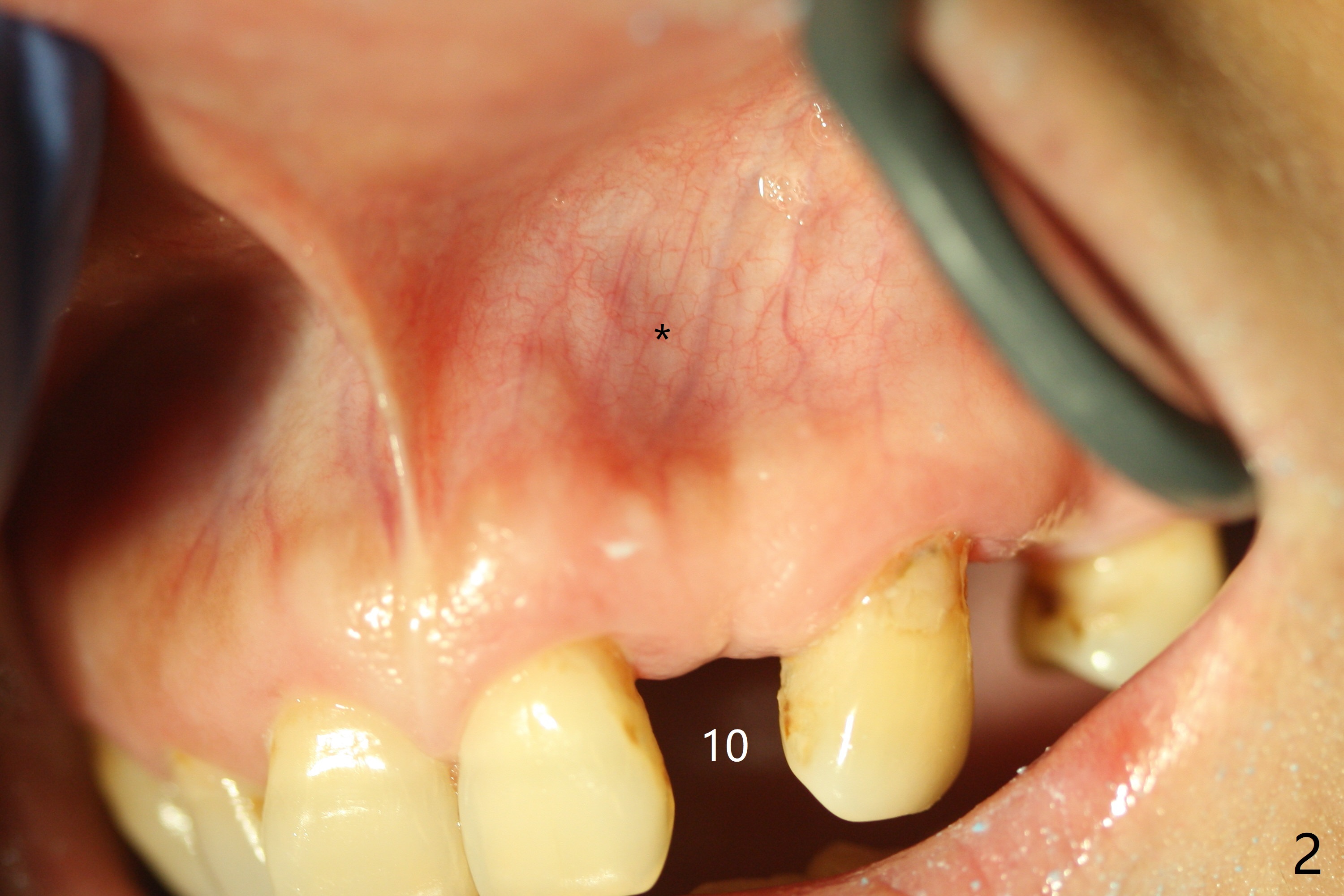
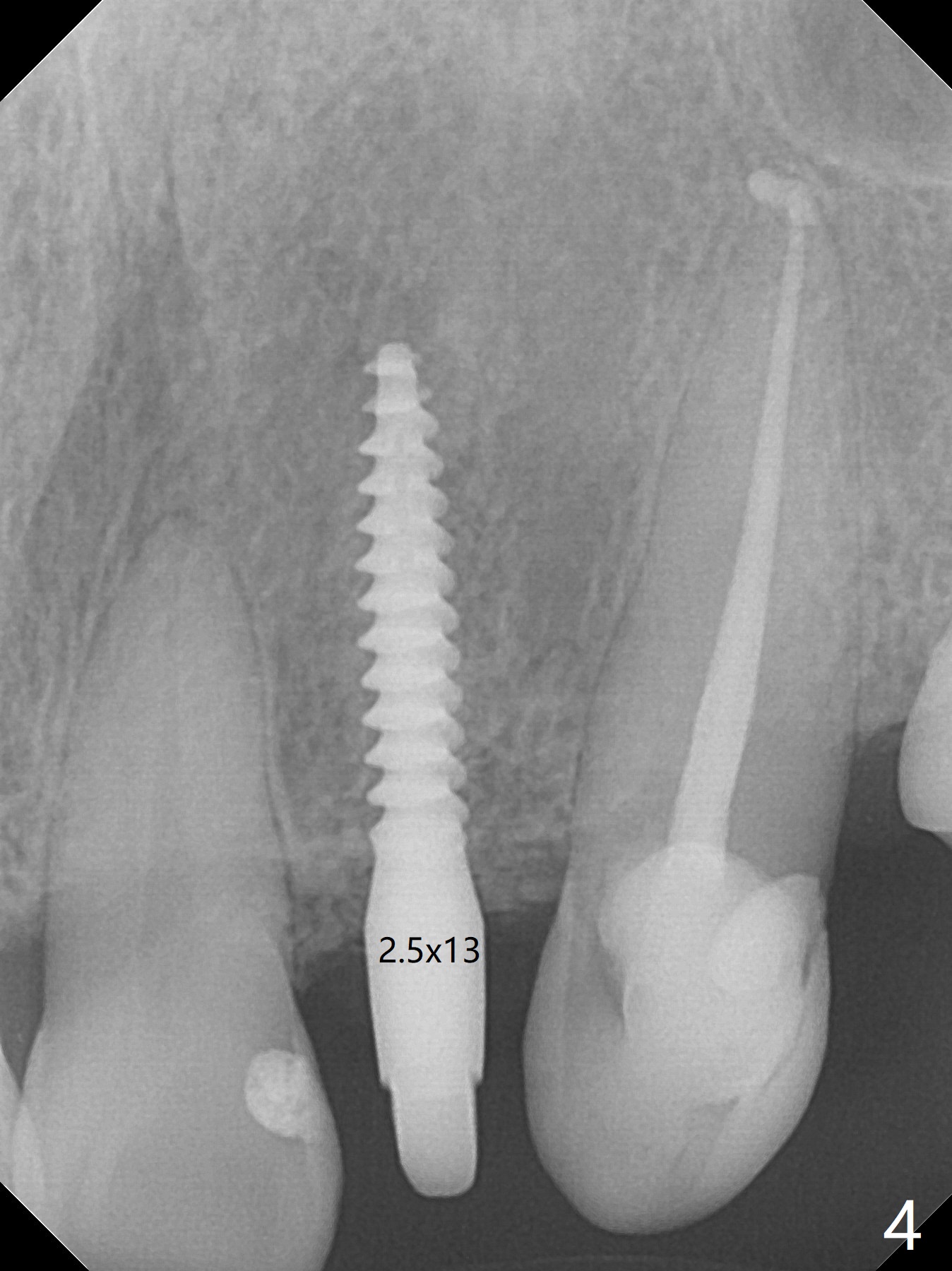
The patient has gummy smile (Fig.1).  The edentulous ridge at #10 has buccal concavity (Fig.2 *).  The surgical guide fits well without #9 distal trimming.  With 34 mg Xylocaine and 17 mcg Epinephrine infiltration at #10 and 12, the patient feels pain when 2.2 (in fact 1.9) x8.5 mm drill is being used.  When Septocaine is added, the osteotomy at #10 is found distal.  Out of curiosity, PA is taken with 2.2x10 mm drill in place; its trajectory seems satisfactory (Fig.3).  When a 2.5x13 mm 1-piece implant is placed free hand, it deviates palatal, which is confirmed with incision after addition of 34 mg Xylocaine and 34 mcg Epinephrine.  A new osteotomy is created by S-Mini Kit buccal to the previous one.  With Lindamann bur to adjust the position of the new osteotomy twice, the last drill (2.0 mm) apparently starts to perforate the apical portion of the buccal plate.  The perforation seems to enlarge when the mini implant is re-placed (Fig.4, 8 (green area) <30 Ncm).  With Vanilla graft (Fig.8 pink circles) and abutment height adjustment (Fig.4), a provisional is fabricated with occlusal clearance.  There are two reasons for failure of the surgical guide: failure to trim the tooth #9 distal (minor palatal guide displacement, Fig.5) and deflection of pointed drill and 2.2 mm drills over the hard palatal plate slope (Fig.6).  To avoid this complication, the pointed drill should be done free hand initially, after incision and obliquely (Fig.7).  The guide is placed to finish the rest of osteotomy if deem to be appropriate. 

Okay I got what you are saying. In that case, it would've been better if you could place #12 first and then place mini later as it is coming out of the sleeve hole not in the fixture level under the soft tissue. That's only for the future cases.

And I can cut it but also you can cut it with the high speed bur at the char. Please see the attached screenshot (Fig.9).
She returned as an emergency yesterday (time was limited from the beginning), since the denture tooth at #10 dislodged from flipper for 3rd or 4th time.  Both sites were anesthetized.  As the guided surgery went wrong, time was running out when free hand placement was done.  Thanks to your suggestion, I will remove the sleeve myself.

Return to Upper Incisor Immediate Implant Trajectory Guided Surgery Xin Wei, DDS, PhD, MS 1st edition 09/24/2018, last revision 11/07/2018