Guide for Narrow Implants

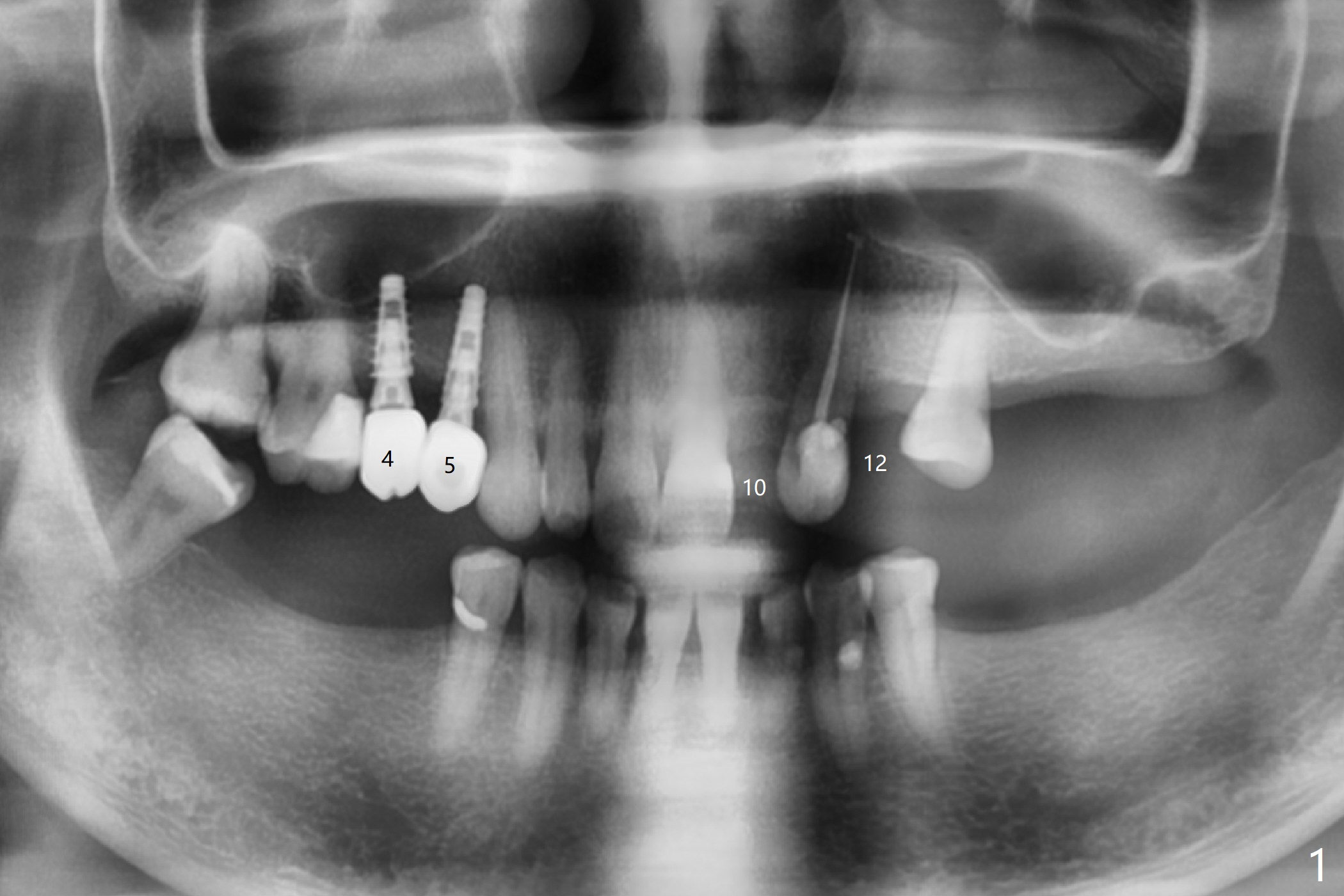
After cementation of implant crowns of #4 and 5, a  40-year-old skinny woman requests implants at #10 and 12 (Fig.1).  Since the ridge is narrow (Fig.2,3), narrow implants are required (2x12 and 3x10 mm).  As malpositioned implants at #4 and 5 were placed with free hand, guide is imminent for the new implants. 

I looked at #10 site and I see that bone width is way too narrow to place 3.5mm implant (Fig.4). Jennifer

In fact, I want to place a 2 or 2.5x10-13 mm 1-piece implant.  Can you modify the protocol so that I can use pointed drill and possibly 2.2 mm one as long as possible without tissue punch or bone trimmer?  Help me go over the narrowest portion of the bone.  Then I use free hand technique.  Please help me as much as possible.  If it is difficult, can you ask your boss to modify the kit and work on the 1-piece implant?  I really hate to do this case, but the patient's flipper has been repaired several times.  Thanks.

Return to Upper Incisor Premolar Immediate Implant, Trajectory Xin Wei, DDS, PhD, MS 1st edition 09/01/2018, last revision 09/15/2018