Long Implant with Shield   M

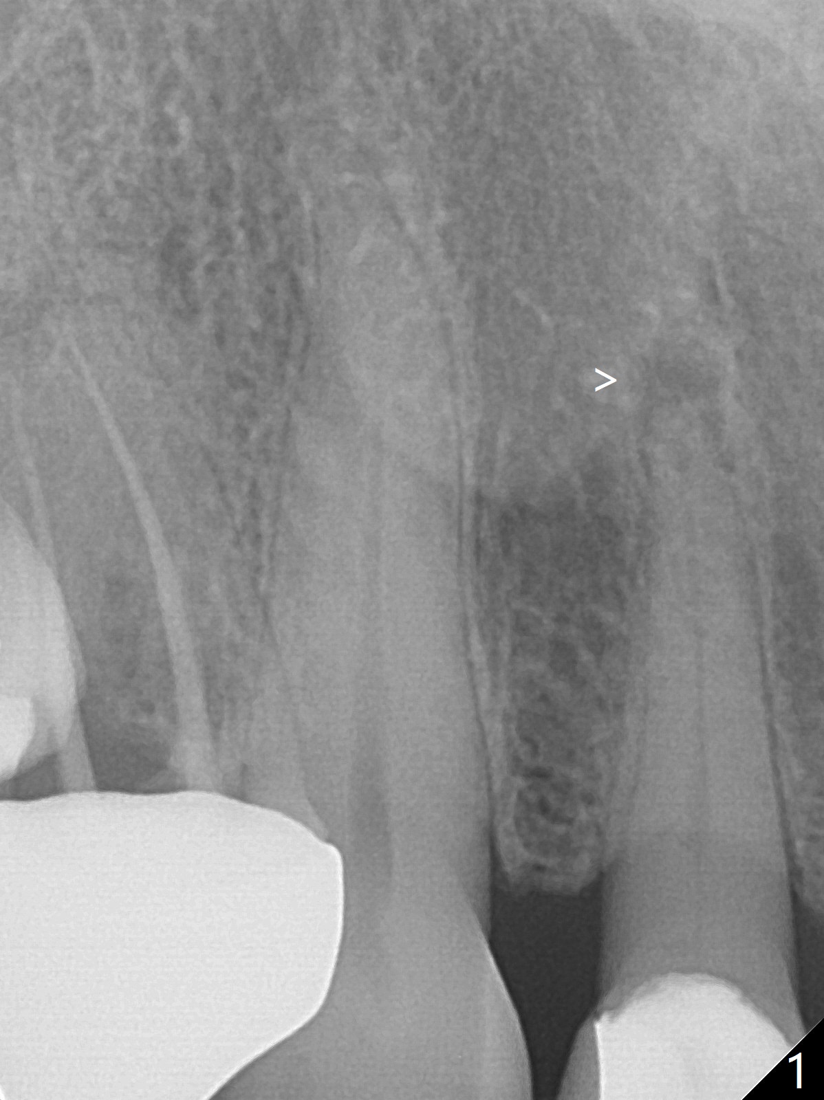
A 63-year-old woman has felt the tooth #7 with a crown and PARL loose for the last 4 months (Fig.1 >).  The crown finally fractures equigingival.  It appears that the best option is extraction and implant (Fig.2).  A 13 mm long implant seems to be short.  A 15 or 16 mm long bone-level or 17 or 20 mm tissue-level one is more appropriate.  To prevent buccal crest and plate loss, socket shield will be performed.  Since the tooth is necrotic, make sure to remove the pulp.

Return to Upper Incisor Immediate Implant Trajectory II No Antibiotic
Xin Wei, DDS, PhD, MS 1st edition 10/10/2019, last revision 02/01/2020