![]() |
![]() |
![]() |
![]() |
![]() |
Fractured FPD
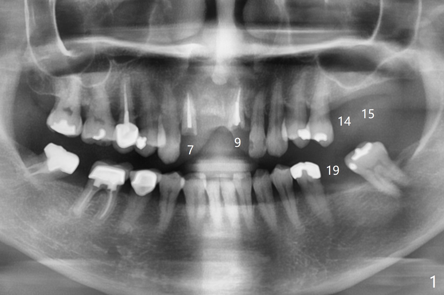
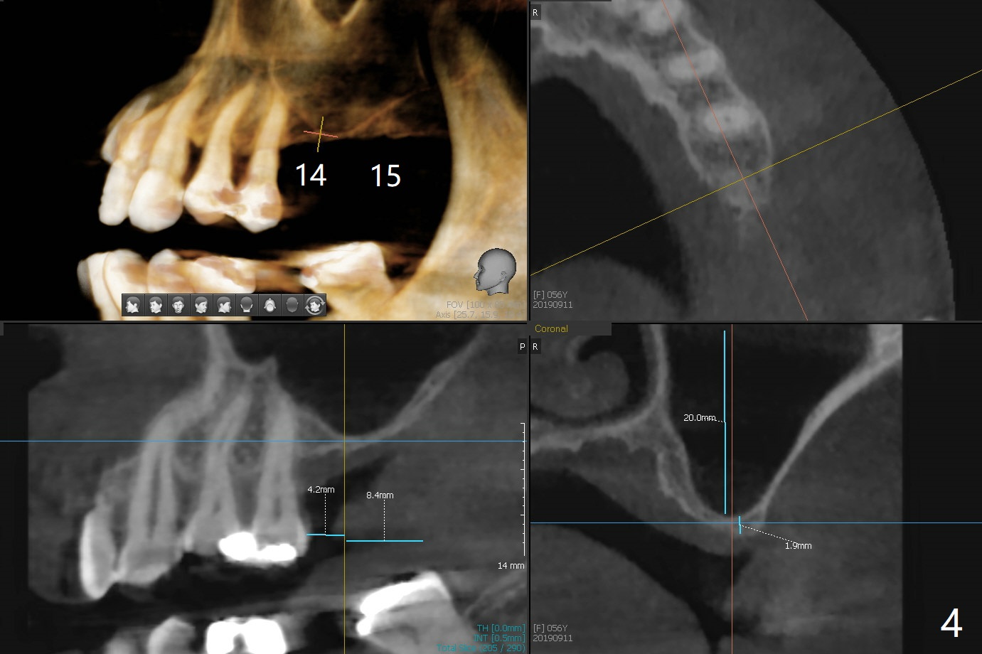
A 56-year-old woman without much posterior support has fractured #7-9 FPD (Fig.1). Since the bone at #7 is thinner buccopalatal than that of #9 (compare Fig.2,3), a shorter implant will be placed at #7 with an angled abutment. External sinus lift is required with PRFx2 before implantation at #14 and 15 (Fig.4). For #19 with the narrow mesiodistal space, a narrow implant is indicated (Fig.5).
Return to
Upper
Incisor Immediate Implant,
Trajectory II,
No Antibiotic
Xin Wei, DDS, PhD, MS 1st edition
09/11/2019, last revision
09/23/2019