![]() |
![]() |
![]() |
![]() |
![]() |
![]() |
Non-Hex Temporary Abutment
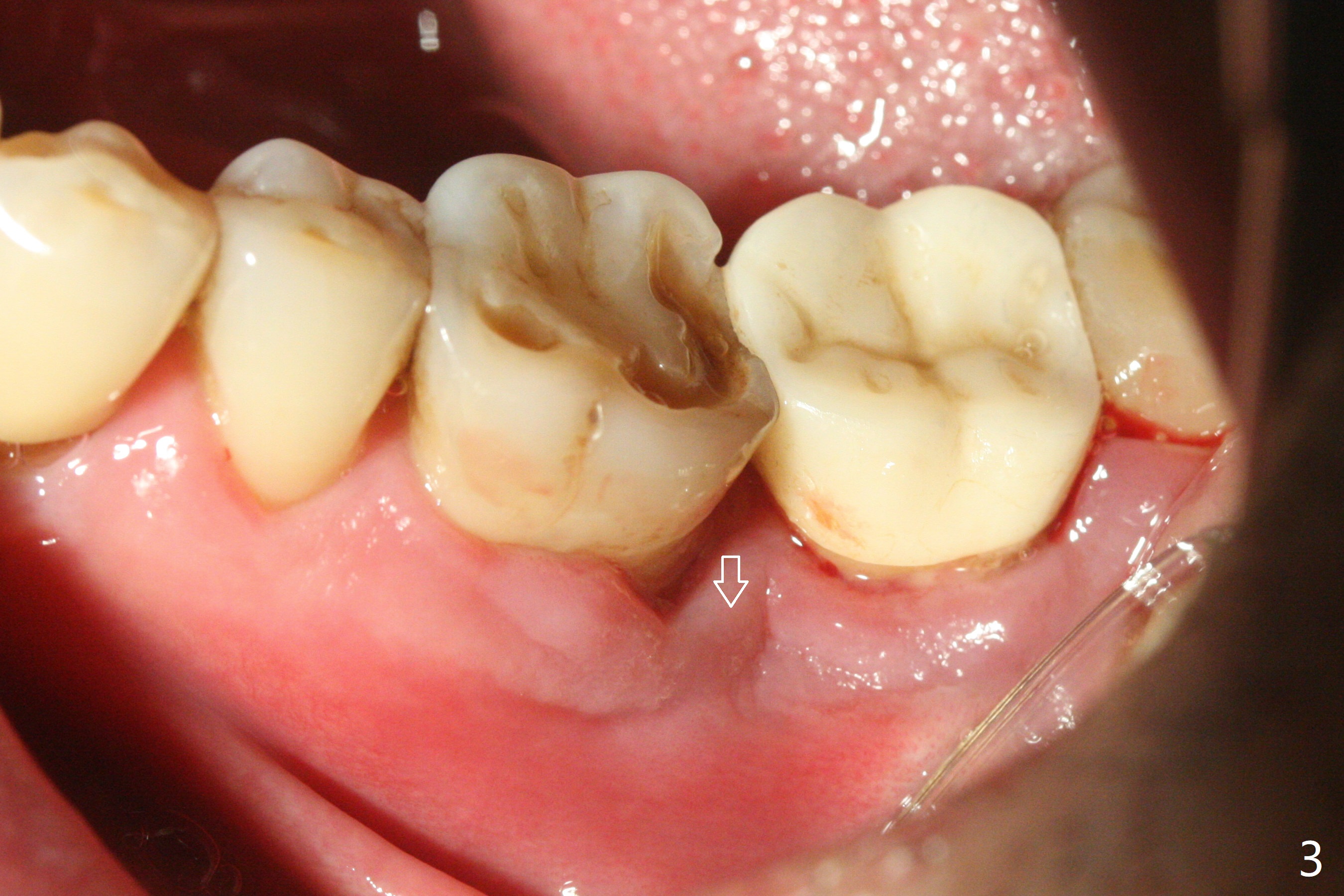
54岁男牙齿问题好像与牙周病和咀嚼力大有关(图一),虽然右上3(图二)和左下6(图三,四)需要治疗,因为疼痛他要求先处理左上6(图五)。后者腭侧根骨质吸收严重,植体尽量颊侧植入(图六),4.5 或者5.0x11毫米。放置粘性骨粉至植体平台,为了简化术中基台放置,使用Non-Hex Temporary Abutment,临时牙冠做的尽量大,占据牙槽窝空间,最后将PRF膜塞入两者之间。Return to Prevent Molar Periimplantitis (Protocols, Table) No Deviation No Caries Metronidazole CT/前牙植牙 Socket Shield Xin Wei, DDS, PhD, MS 1st edition 10/11/2020, last revision 02/21/2021