![]() |
![]() |
![]() |
![]() |
渐进性充填
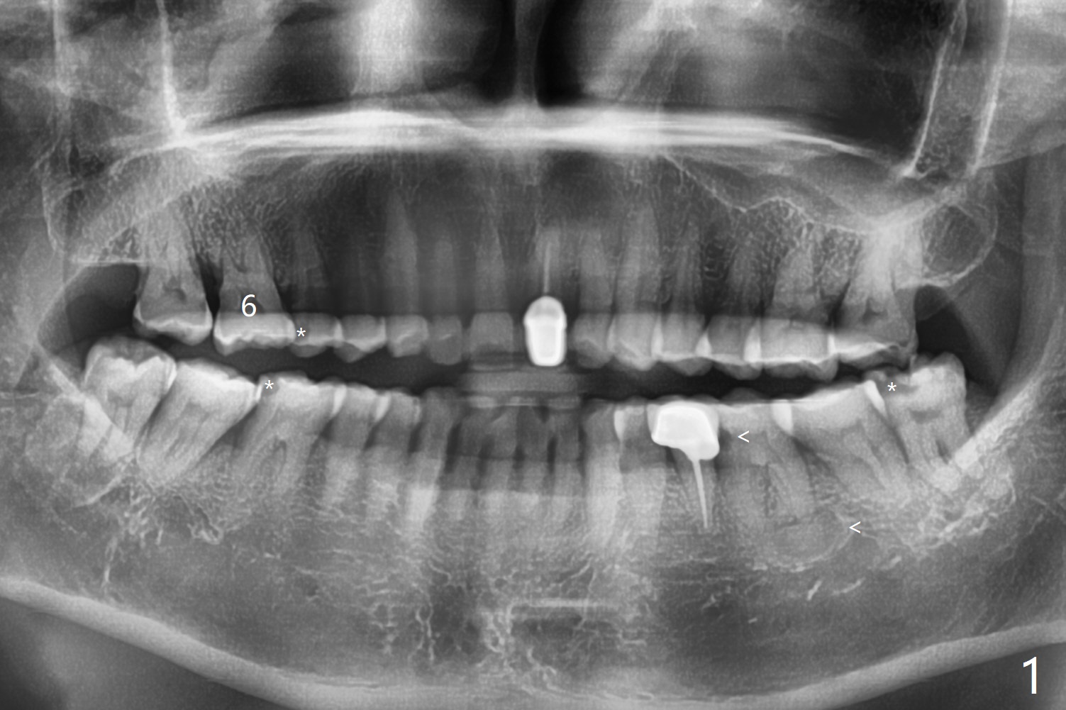
57岁女爱咬硬的东西,多个牙尖断裂(图一:*),由于左下6近中龋齿,远中根尖周炎(<),最近在右边咀嚼多,突然右上6出现严重疼痛,检查发现近中腭侧牙尖折裂,病人要求拔除,可能出血多,没有骨质吸收,骨粉好像没有填入腭侧窝,而近中颊侧,远中颊侧窝(图二:MB, DB)根尖部分充填少。今后拔牙清创采血后,每个牙槽窝里塞入含1:50,000肾上腺素小纱布,压迫止血,开始输入少量骨粉,用细的器械压入牙槽窝深部。术后一周牙周敷料脱落,伤口正常愈合(图三,四)。
Return to
No
Caries
Xin Wei,
DDS, PhD, MS 1st edition 10/19/2020, last revision
10/26/2020