![]() |
![]() |
![]() |
Septal Height
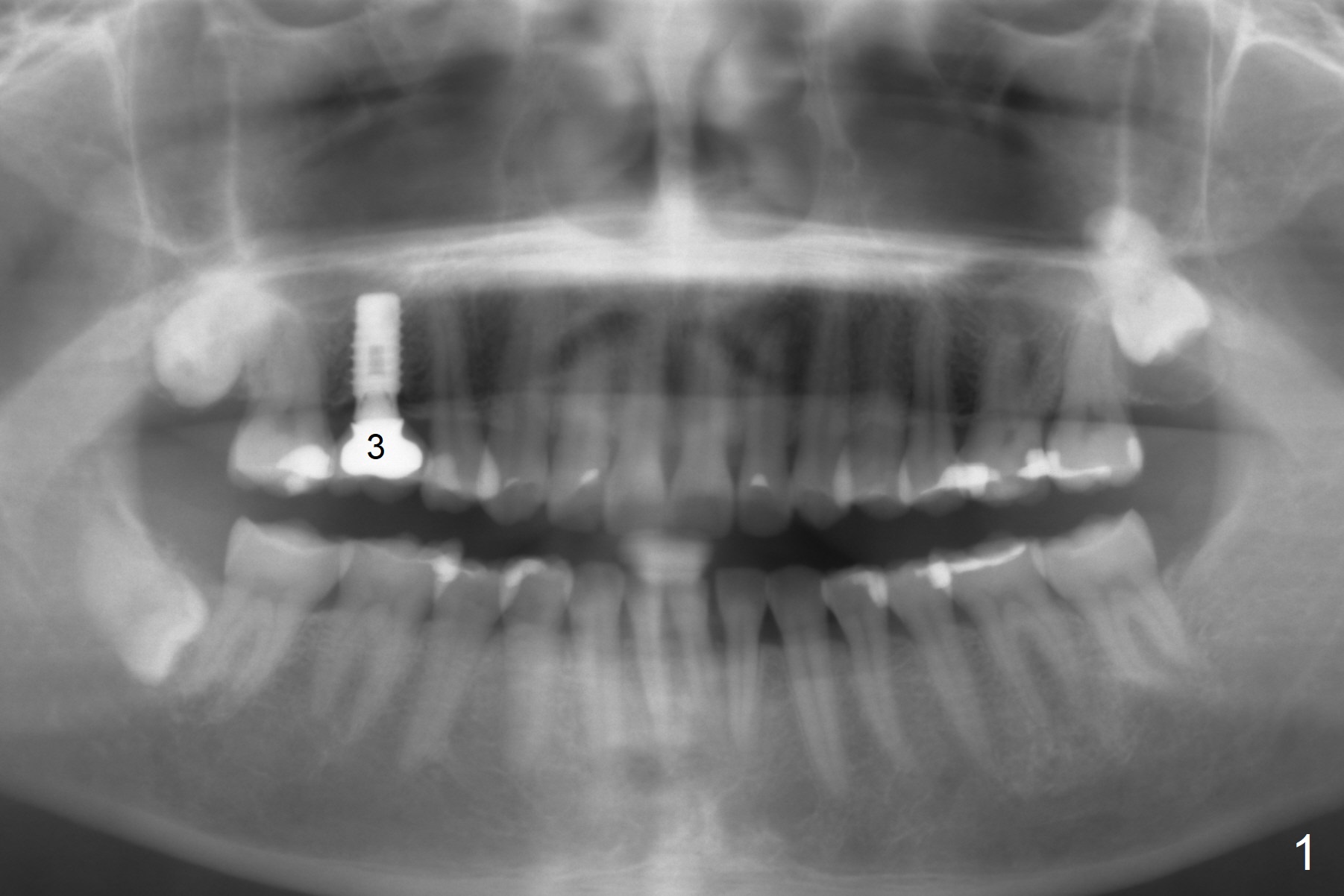
A 55-year-old woman has an implant at #3 (Fig.1). There has been swelling and periapical radiolucency associated with #14 for > 6 months (Fig.2). Finally a mesiodistal crack is found. If infection with bone loss is too severe, socket preservation will be performed. The depth of initial osteotomy in the septum will be 10 mm (Fig.3). Try not to perforate sinus floor. Place an IBS implant as large as possible. If the infection is moderate, use IS one.
Return to
Upper
Molar Immediate Implant,
Prevent Molar Periimplantitis (Protocols,
Table),
Armaments,
Clindamycin
Screw
Xin Wei, DDS, PhD, MS 1st edition 06/15/2018, last revision 12/20/2020