![]() |
![]() |
![]() |
![]() |
![]() |
|
![]() |
![]() |
![]() |
![]() |
![]() |
|
![]() |
![]() |
![]() |
|||
Difficult Sinus Lift Without Guide
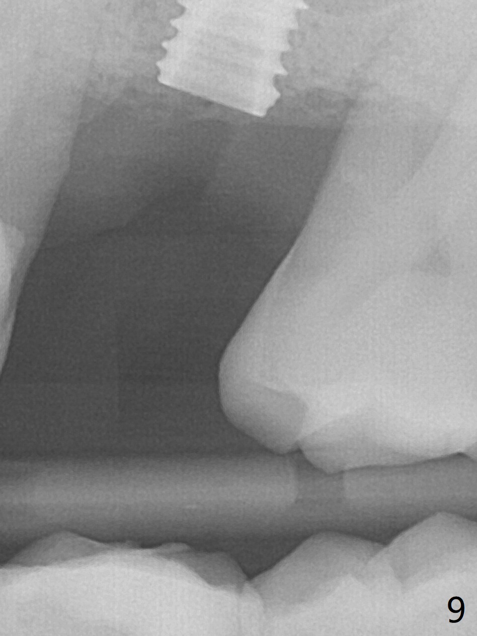
Trajectory of sinus lift without guide at #14 is off (Fig.1 (Magic Sinus Lifter (L) for 9 mm (gingival level)) and needs to be corrected (Fig.2 long line) by re-using 4.8 mm Magic Drill. Following placement of PRF membrane and Demineralized Cortical Allograft (.125-.850 mm) for sinus lift (Fig.3 black dashed line), a 4x10 mm dummy implant is placed with off trajectory. The latter will be fixed by using Lindmann bur to remove the bone distal (Fig.4). The result is less satisfactory with placement of 4.5x10 mm dummy implant (Fig.5). It appears necessary to initiate a new osteotomy (Fig.6 long black line). In fact the result is appealing (Fig.7). The final implant (5x7.3 mm) seems to be placed ideally shown by PA (Fig.8) and BW (Fig.9). Immediately postop CT demonstrates distal defect (Fig.10 *;3-D) and supracrestal placement palatal (Fig.11 P; coronal section). More allograft is then placed in these 2 areas. In all, it is difficult to establish a correct osteotomy without guide. The patient return for uncover 3.5 months postop, although there is a small hole in the middle of the incision (Fig.12). The crown/abutment becomes loose less than 1 month post cementation when the patient chews something tough. It is more related to the unfavorable implant/crown ratio. It is loose again 2 months later. Screw driver is buried inside the abutment with plumber tape. When it is loose for the 3rd time 13 months post cementation, the existing screw driver with a created slot (for retention) is buried without plumber tape after retorque at 35 Ncm (Fig.13). A tissue-level implant should have been used.
Return to
Upper Molar
Immediate Implant,
Armaments
Xin Wei, DDS, PhD, MS 1st edition 07/17/2018, last revision 01/07/2020