![]() |
![]() |
![]() |
![]() |
![]() |
FPD vs. Ortho
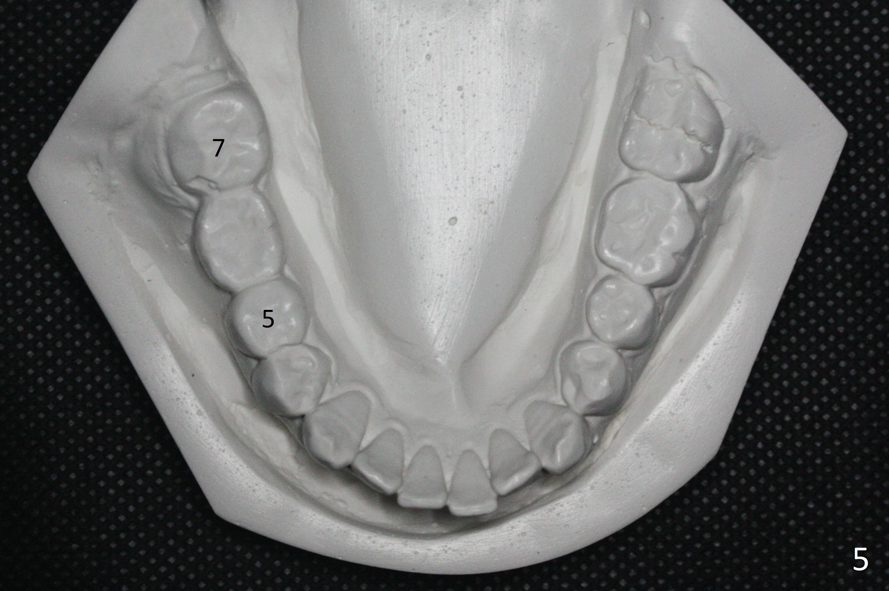
A 29-year-old man has crowding (especially cross bite of UR7 and U5s, Fig.1,3,4) associated with extraction of UL6 for a month (Fig.3,4). For lower arch alignment, how to handle LR5-7 FPD (Fig.5)? The patient will return for CT and impression for #14 guided surgery. A separator will be placed between UL4/5 on the day of implant placement. Brackets will be placed between UL3-7 in the 1st postop visit.
Return to
Upper Molar
Immediate Implant
Trajectory
II
Ortho Cases
Xin Wei, DDS, PhD, MS 1st edition
06/26/2019, last revision
10/19/2019