![]() |
![]() |
![]() |
![]() |
||
![]() |
![]() |
![]() |
![]() |
![]() |
|
![]() |
![]() |
![]() |
|||
![]() |
![]() |
![]() ![]() |
|||
Surgical Precision
M
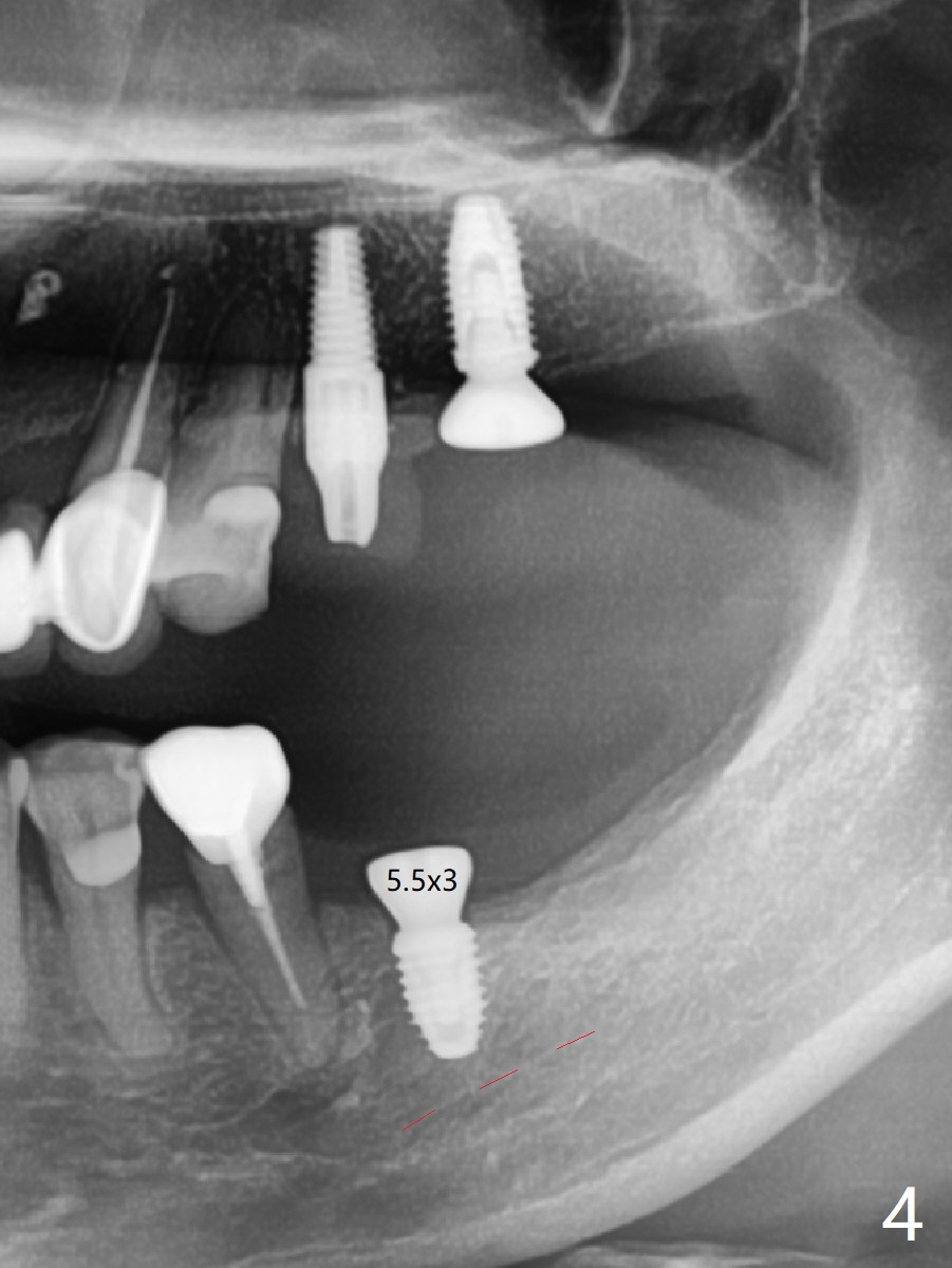
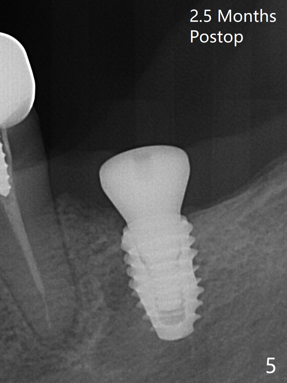
As a surgeon, I have never felt that my scalpel is as precise as media claims to be until guided surgery is introduced. The implants at #14 and 19 are placed as precisely as planned as well as painlessly and quickly (Fig.1-4). What else can we ask for? The gingiva around the healing abutment (5.5x3 mm) at #19 is erythematous (Fig.5). Later a longer healing abutment is used (Fig.6 (5.5x5 mm)). There is no bone loss 5 months or 7 months postop (Fig.6-9). The abutment screw is loose 3 months post cementation due to unfavorable crown/implant ratio (Fig.10); in fact the abutment is incompletely seated. Bicon implants will be in consideration to reduce screw loosening if implants are to be placed at #15 and 18. The abutment screw at #14 becomes loose 10 months post cementation; after retorque at #30 Ncm, the abutment is incompletely seated (Fig.11). It remains the same after use of 4.6 and 5.6 mm profile drills (Fig.12). A healing abutment is placed. When the patient returns, use planning kit and try to place a 5.2x5.5(2) cemented abutment. In fact it works (Fig.13). The crown at #19 is loose again 1 year 5 months post retightening. After removing crown/abutment, the mesial surface of the crown is heavily reduced. The crown/abutment is reseated to make sure that there is no proximal contact between the neighboring teeth (Fig.14 arrow). Because of tilt of the PA, it is difficult to tell the tightness of the contact between the implant and abutment, but the apical space is significantly reduced (*, as compared to Fig.10). Pick up impression is taken for porcelain addition occlusomesially. Two months later the patient returns for crown recementation. When the abutment is reseated with the repaired crown, the seating is incomplete (Fig.15). The abutment is completely seated when it is turned free hand with the flat surface of the abutment faces distal (Fig.16 D). The screw is torqued 20 Ncm before reimpression.
Return to Upper Lower Molar Immediate Implant, Armaments 1-staged ridge split Trajectory II Screw Loosening Torque
Xin Wei, DDS, PhD, MS 1st edition 09/25/2018, last revision 03/16/2021