![]() |
![]() |
|
![]() |
![]() |
![]() |
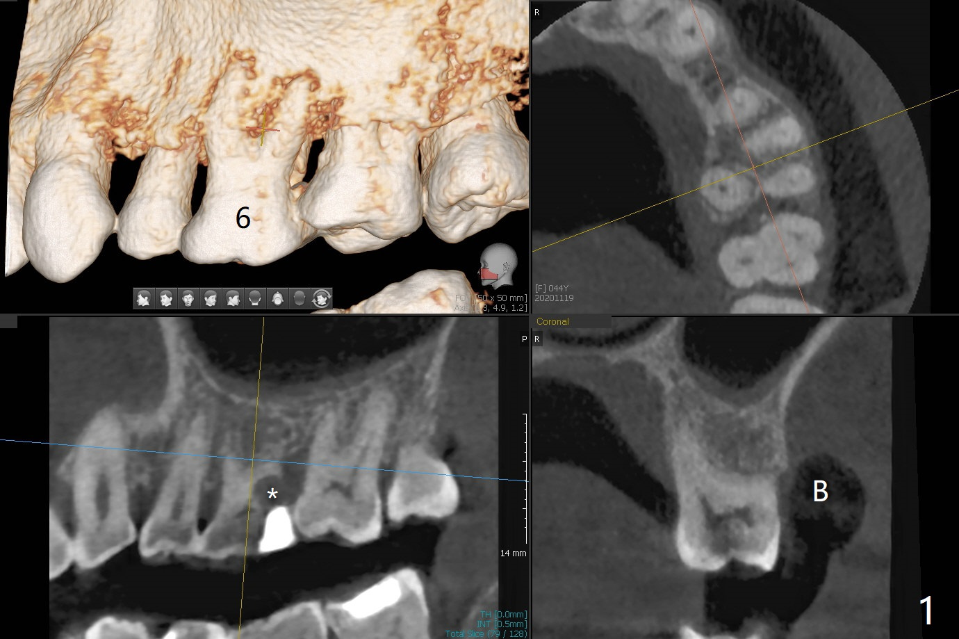
保留牙根
44岁女左上6远中深龋(图一:*),同意拔除种植(图二),由于近中,远中牙槽嵴不等(*),为了增加冠根比例,植体可以种浅些(箭头),但是远中多放置骨粉(红色)。为了防止钻头偏移中隔,去除牙冠(图三),保留牙根情况下,完成钻洞(图四:红色),然后拔除牙根(图五:黑色),放置植体(绿色)。
Return to
Prevent Molar Periimplantitis (Protocols,
Table)
No
Caries
No Antibiotic
手术
智齿拔除
Xin Wei,
DDS, PhD, MS 1st edition 11/19/2020, last revision
07/18/2021