![]() |
![]() |
![]() |
![]() |
![]() |
合成血小板生长因子
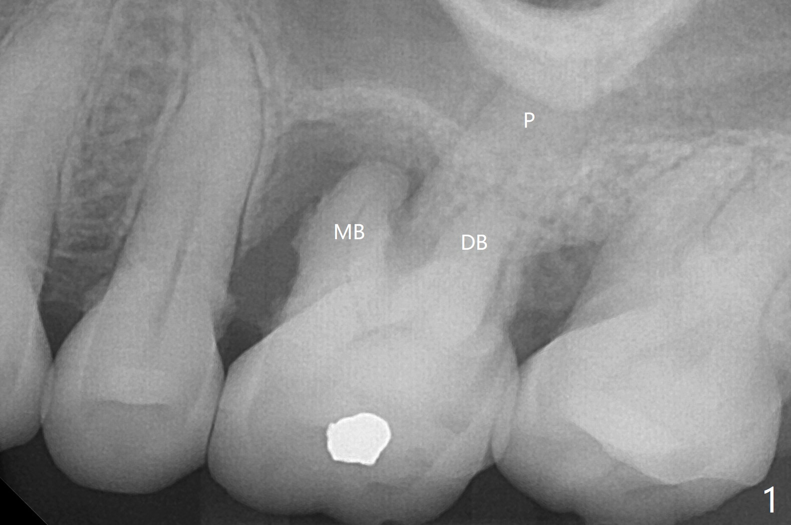
67岁女深洗后突然回来要求拔除左上六(图一),颊侧红肿,流脓,牙周袋深(图二B),经过多番劝导,终于图一植骨,由于时间仓促,使用合成血小板生长因子(GEM21S,而不是PRF))与皮质骨(125μm – 850μm)以及皮松质骨(500μm – 1,000μm)调拌,放置于巨大吸收融合颊侧牙槽窝(图三*(无颊侧骨板)(使用condenser)),而腭侧牙槽窝没有明显破坏(图一P),放置Osteogen Plug(一种骨胶原, 图三 O)。牙槽窝口放置胎盘膜(BioXclude),使用4/0 PGA缝线。傍晚病人已经 没有肿痛了。术后十三天牙周敷料脱落,伤口愈合良好。三天后病人又回来复诊(图四),折线后,虽然伤口愈合,骨粉好像填的不够多(图五),或者丢失。树脂敷料可能取得更好的结果。
Return to No Deviation Xin Wei, DDS, PhD, MS 1st edition 07/28/2020, last revision 08/13/2020