![]() |
![]() |
Remove FPD
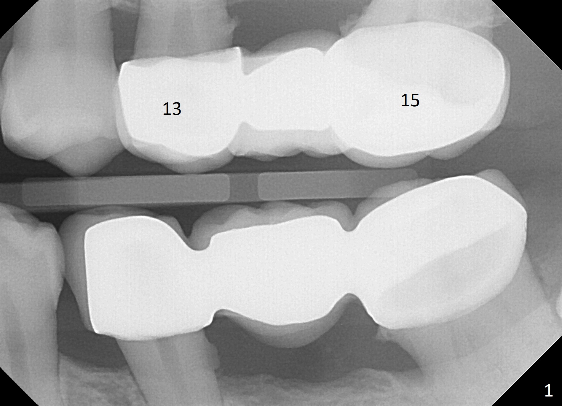
A 50-year-old woman has multiple restoration (Fig.1,2). There is discomfort with the upper left FPD, which will be removed (without local anesthesia initially) for exploration and SRP. Use a metal quadrant tray to take Alginate impression prior to FPD removal. If the abutments at #13 and 15 are to be extracted, an IS implant will be placed at the edentulous area. If the ridge is narrow and the bone is soft, use DIO bone expanders. If one or both of the abutments are non-salvageable, place UF immediate implant(s).
Return to Upper Molar Immediate Implant, Armaments, No Antibiotic Xin Wei, DDS, PhD, MS 1st edition 12/07/2017, last revision 09/02/2018