![]() |
![]() |
![]() |
Extraction with Sinus Lift or Guided Immediate
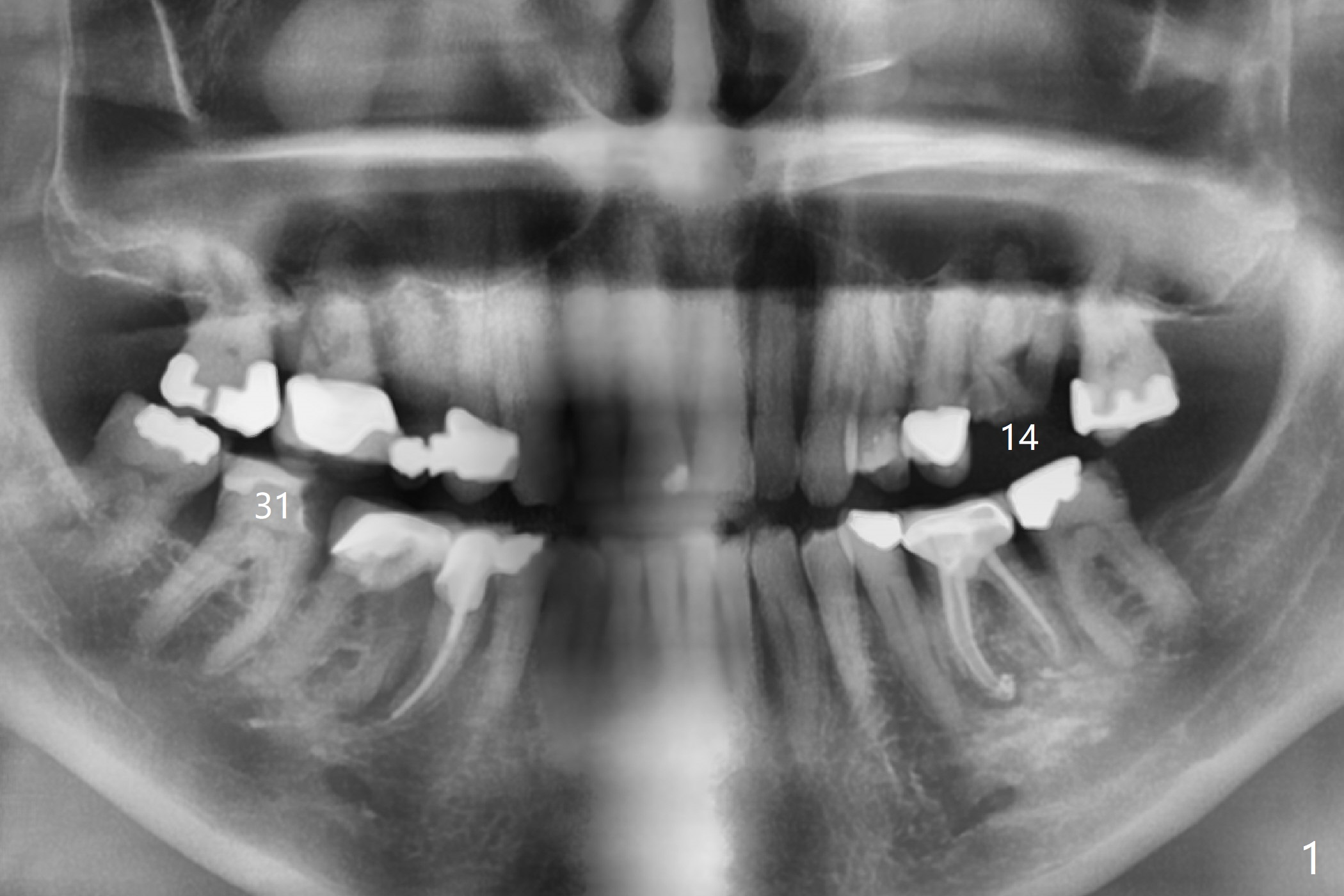
A 86-year-old man presents to clinic with chief complaint of irritating chipped tooth lower right (Fig.1 #31). Composite is placed on the condition that he should return for #14 residual root treatment (Fig.2). Since there is large periapical radiolucency and short bone height (~6 mm), should the tooth be extracted for immediate sinus lift and delayed implant or immediate implant (Fig.3)?
Return to Upper Molar Immediate Implant, Prevent Molar Periimplantitis (Protocols, Table), Trajectory, Clindamycin Metronidazole No Antibiotic Xin Wei, DDS, PhD, MS 1st edition 12/21/2018, last revision 12/26/2018