![]() |
![]() |
![]() |
|
![]() |
![]() |
![]() |
|
Restoratively Nonsalvageable
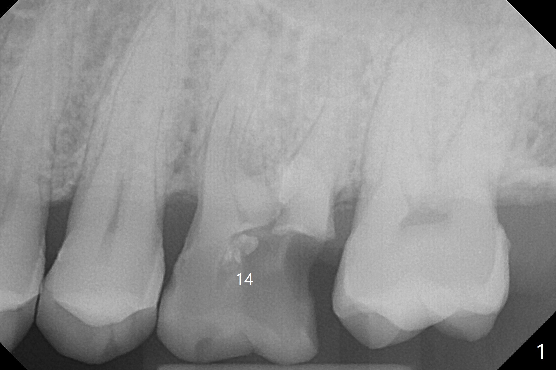
A 48-year-old man returns for implant at #14 after endo consult (Fig.1). The tooth appears to have fractured subgingival palatal (Fig.2,3 P). The furca is thin (Fig.3 *). A 5x10 mm implant will be placed slightly away palatal because of bone loss (Fig.4). Since the mesiobuccal (Fig.5 MB) and distobuccal (DB) sockets are close to the osteotomy (green), gauze with 1:50,000 Epinephrine (to reduce hemorrhage during sinus lift) will be placed away from the osteotomy (Fig.6 white area). In fact socket shield is conducted palatal.
Return to
Upper
Molar Immediate Implant,
Prevent Molar Periimplantitis (Protocols,
Table),
Trajectory II,
Clindamycin
Xin Wei, DDS, PhD, MS 1st edition
09/13/2019, last revision
10/18/2019