![]() |
![]() |
![]() |
![]() |
||
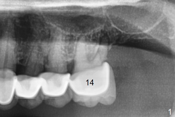
Septum Lower Than Crests
A 53-year-old man requests extraction of the tooth #14 (Fig.1) with pathology mainly around the distobuccal root. It appears that the septum (Fig.2 S) is lower than the crests (C), particularly distally, which is consistent clinically. After placement of Vanilla bone in the thin sockets (relatively large septum, Fig.3), collagen plug and sutures keep the bone graft in place (Fig.4).
Return to Upper Molar Immediate Implant, Armaments Xin Wei, DDS, PhD, MS 1st edition 06/13/2018, last revision 09/24/2019