![]() |
![]() |
|
![]() ![]() |
![]() |
![]() |
Under Drilling in Depth
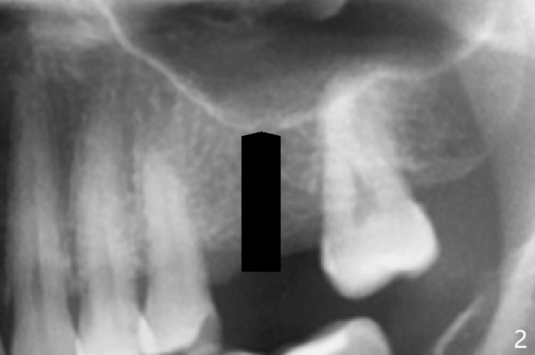
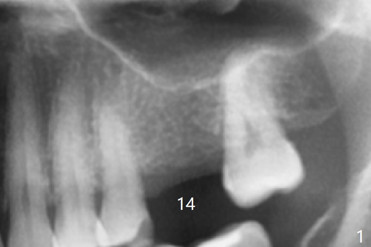
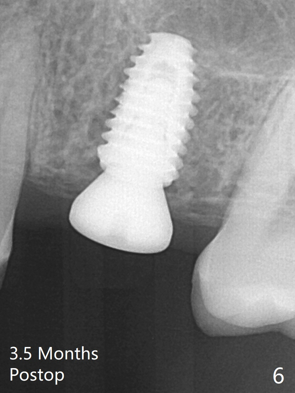
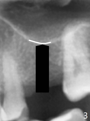
The guide is removed when the osteotomy at #14 (Fig.1 (8.45 mm bone height)) is finished in an under drilling manner in depth (Fig.2). The middle of the apical remaining bone is so thin (Fig.3 (white line representing the sinus floor)) that it can be pushed up like ping pong or eggshell (Fig.4 arrow). A 5x8.5 mm implant is placed with satisfactory insertion torque and depth, followed by insertion of a 6x3 mm healing abutment (Fig.5). There is mild resorption of the sinus floor distally 3.5 months postop, although the implant remains stable (Fig.6).
Return to Upper Molar Immediate Implant, Armaments, Trajectory Xin Wei, DDS, PhD, MS 1st edition 10/01/2018, last revision 01/17/2019