![]() |
![]() |
![]() |
No Bone Graft Palatal
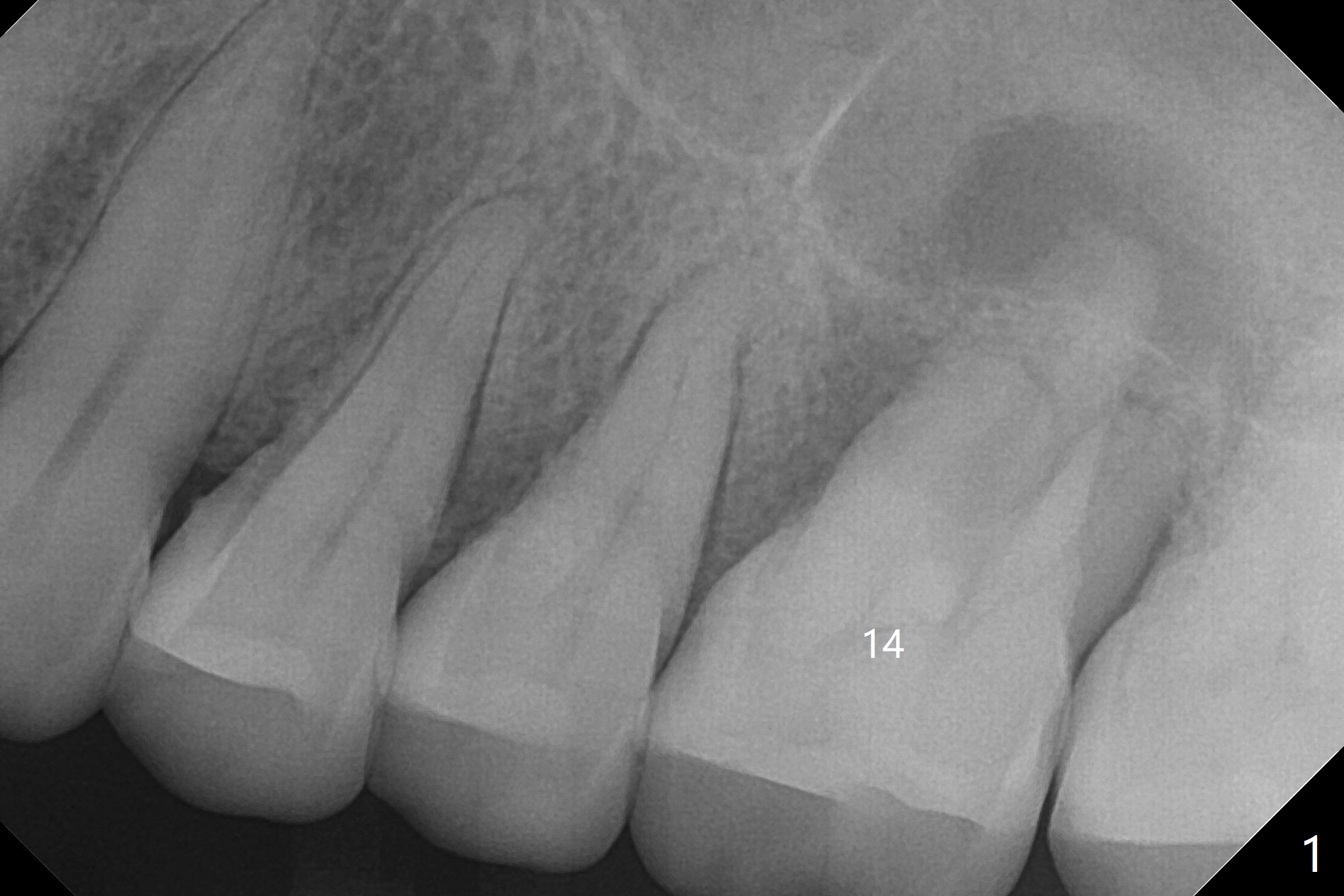
A 51-year-old woman with chronic periodontitis has difficulty masticating on the left side. The tooth #14 (Fig.1) has severe palatal gingival recession (Fig.2), apparently without palatal plate. CT will be taken prior to treatment. After extraction, PRF plug will be inserted to the palatal socket, while bone graft will be placed in the buccal ones. Two PRF membranes will be used for socket opening coverage. CT will be taken postop. The case will test whether PRF will regenerate bone by taking 4 months postop.
血小板纤维素膜(PRF)制作方法各式各样,今晚探讨的是L-PRF(L: 白细胞),作者认为L-PRF能促进骨再生,一般观点PRF只利于软组织愈合。51岁女,左上第一磨牙严重牙周炎(图一: 14),腭侧根暴露 (图二),拔除后,腭侧牙槽窝放置PRF,而颊侧牙槽窝放置骨粉,估计骨粉放在腭侧窝,可能不容易固定。万一自我发明PRF不能促进骨形成,植体能植入颊侧牙槽窝。术前术后(即刻,四个月)拍摄局部CT。
Return to
No Deviation
GEM21S
Xin Wei,
DDS, PhD, MS 1st edition 06/25/2020, last revision
06/27/2020