![]() |
![]() |
![]() |
![]() |
![]() |
![]() |
||
![]() |
![]() |
||
PRF骨块用于缺损修复
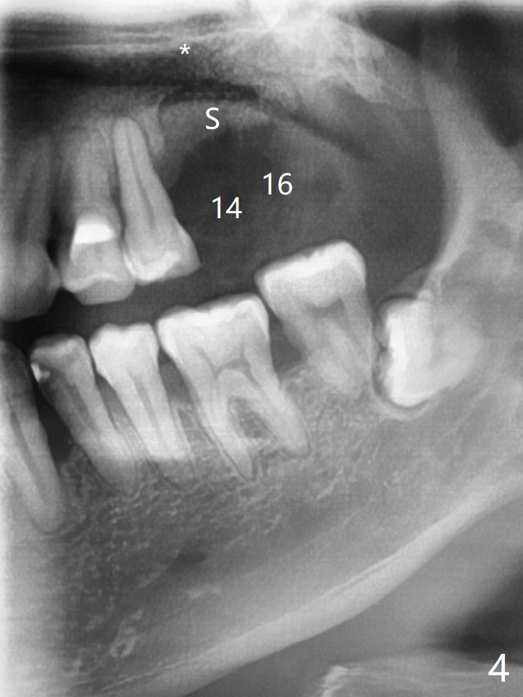
47岁男原本回诊所拔除近中左上智齿(16号牙),影响第一磨牙(14号牙)植牙周围炎治疗后卫生维护。事先制备PRF(图一,二)和骨块(图三 *),拔牙顺利,发现植牙螺纹依然暴露,决定取出植体,上颌窦底板缺失,但膜仿佛完整,放置一小块PRF于上颌窦底,促进上颌窦膜愈合,然后加入新的骨粉,与剩余上清液(图三 >)调袢,虽然不再形成粘性骨块,但是还有好处,放置于拔牙窝以及植牙窝(图四 *),浅部放置骨块(S),这样骨粉不容易丢失,表面再放置PRF膜和不可吸收膜(Cytoplast),使用PTFE缝线。术后7周Cytoplast几乎完全暴露(图五)。当它取出后,骨粉好像损失不少(图六)。二个月后再评价。术后6.5月第一磨牙区仍萎缩(图七),只好再植骨,在第三磨牙区安置一个tenting screw,也在第一磨牙区植入第二个钉子,但是不牢靠,因为仍处于纤维状,把它往上颌窦推作为上颌窦粘膜(图八:>),然后提升(*)。在第一,第三磨牙交界处打入第二个帐篷钉,在两个钉子周围放置粘性骨粉,覆盖PRF膜,缝合。估计植骨效果不佳,植牙时再植骨。
Return to No Deviation 开场白
Xin Wei, DDS, PhD, MS 1st edition 07/30/2020, last revision 02/28/2021