![]() |
![]() |
|
![]() |
![]() |
![]() |
Socket Preservation with Sinus Lift (M)
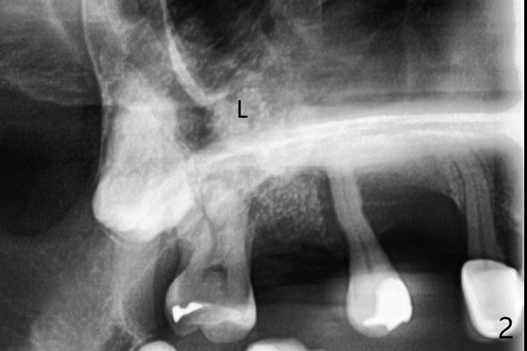
Since the tooth #3 has severe chronic periodontitis with 1 mm sinus floor (Fig.1 *), socket preservation may be not secure (B) in spite of using Cytoplast and PTFE suture. Prior to the bone graft, the sinus floor is lifted easily with Magic Sinus Lifter (IBS America) with Ossogen (mineralized cortical/cancellous (30%/70%) allograft, Fig.1,2 L). Periodontal dressing remains in place because of the neighboring teeth 1 week postop (Fig.3 D). Cytoplast remains in place after dislodgement of the periodontal dressing 2 weeks postop (Fig.4). Cytoplast dislodges 3 weeks postop (Fig.5). Socket preservation is not as secure as immediate implant in term of bone graft retention. What else can be done to prevent bone graft loss?
Return to Upper Molar Immediate Implant, Trajectory II Xin Wei, DDS, PhD, MS 1st edition 12/16/2019, last revision 04/14/2020