![]() |
![]() |
![]() |
Acrylic Dressing
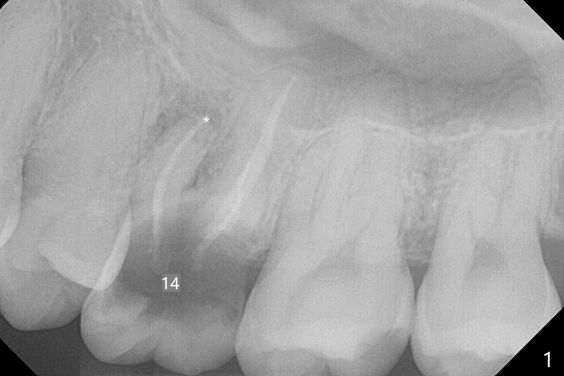
A 38-year-old woman requests extraction of the tooth #14 with mesiobuccal fistula (Fig.1). After extraction, the buccal plate is found to be defective. Bone graft enters the apex of the palatal root (Fig.2 red dashed line) so that the bone height increases by 6 mm (Fig.3). Following placement of collagen plug and suturing, acrylic dressing is applied to the undercuts of the neighboring teeth for retention.
Return to
Upper
Molar Immediate Implant,
Trajectory
Xin Wei, DDS, PhD, MS 1st edition
04/29/2019, last revision
04/30/2019