![]() |
![]() |
|
![]() |
Bone Graft To Save RPD Abutment
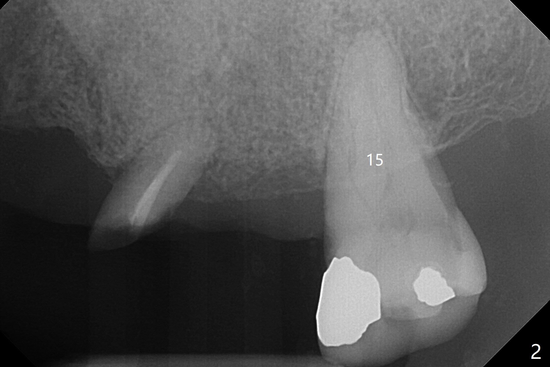
A 70-year-old man has poor dentition, needing extraction for dentures (including #2 and 3 in Fig.1). To save the abutment tooth #1 (with severe bone loss) for RPD and to stop hemorrhage, allograft and Osteogen Plug are placed at #2 and Collagen Plug at #3. Five-O PGA sutures remain in place 9 days postop (Fig.3).
Return to
Trajectory II
Xin Wei, DDS, PhD, MS 1st edition
10/07/2019, last revision
10/19/2019