![]() |
![]() |
![]() |
![]() |
![]() |
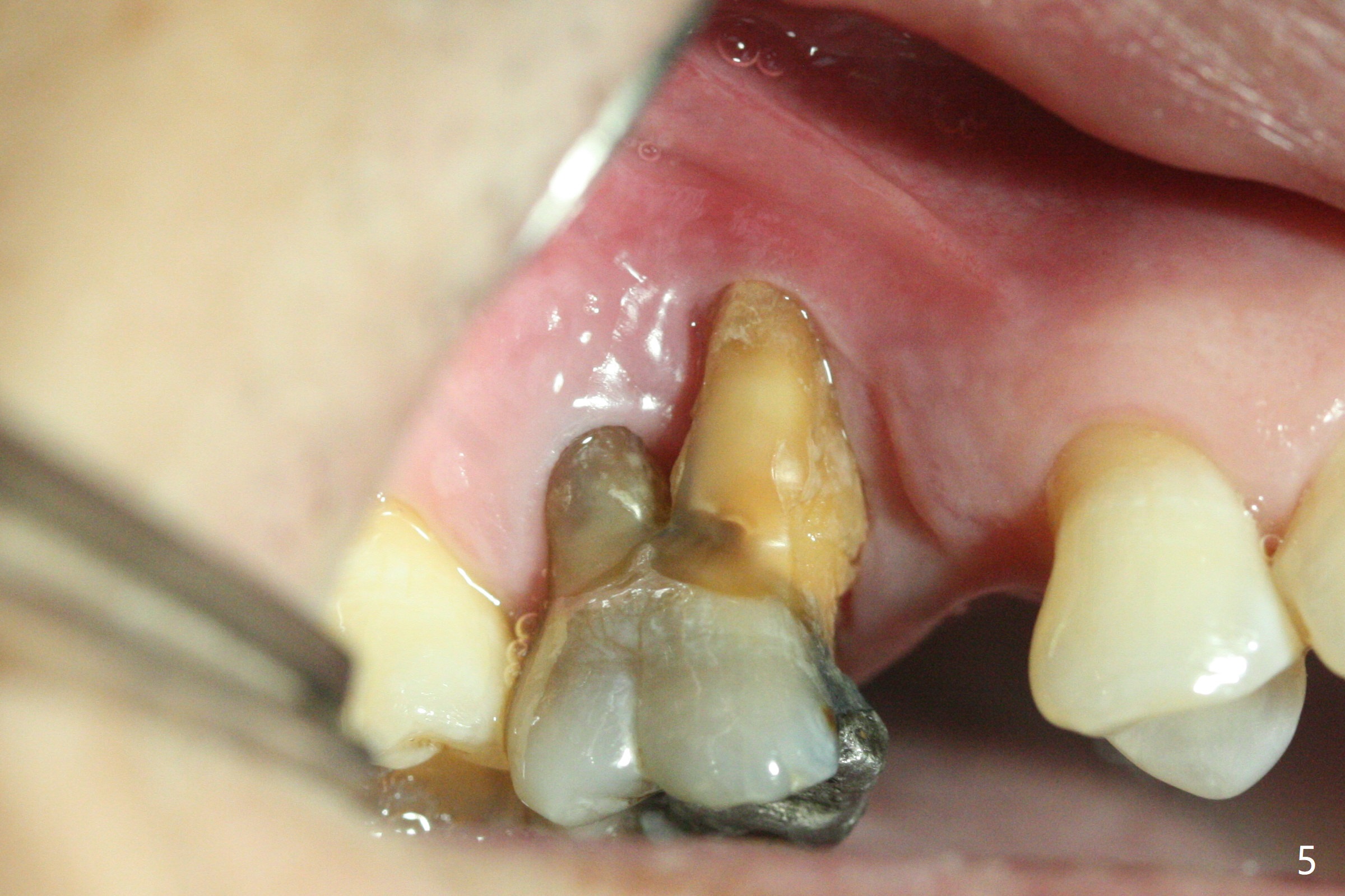
Limited Bone Height
M
A 49-year-old man (patient of ours for 7 years) has severe bone loss and buccal recession at #3 with missing tooth at #4 (Fig.1,2,5). Short implants will be placed as palatal as possible (Fig.3,4 green) with buccal bone graft (red circles). PRF will be prepared for membranes and sticky bone.
Return to Upper Molar Premolar Immediate Implant, Prevent Molar Periimplantitis (Protocols, Table), Trajectory, Clindamycin 开场白 Xin Wei, DDS, PhD, MS 1st edition 04/18/2019, last revision 12/28/2020