![]() |
![]() |
![]() |
![]() |
![]() |
![]() |
Perio-Endo Disease M
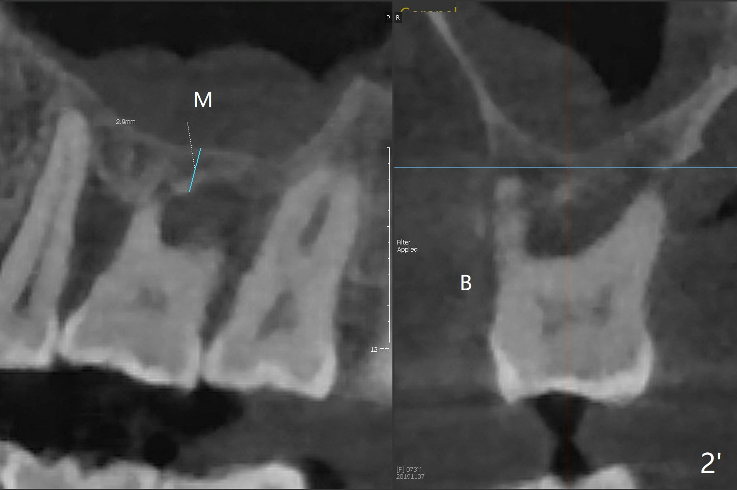
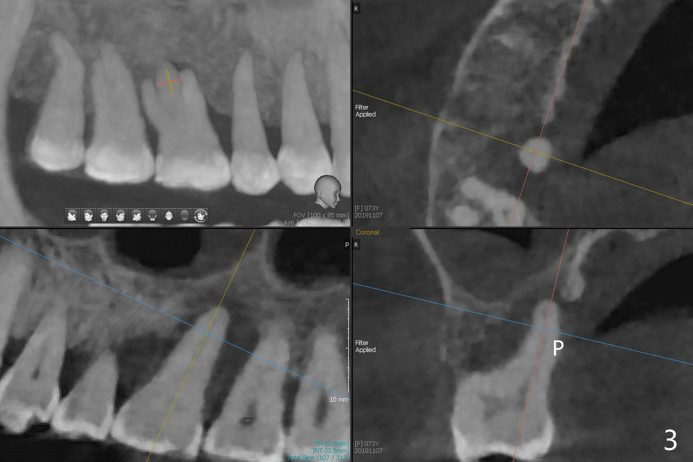
A 73-year-old woman with controlled diabetes has cold and hot sensitivity of the tooth #3. Although the bone loss is striking (Fig.1), mobility is I with the deepest pocket DL ~6 mm. Endo ice induces pain. Extraction and guided immediate implant appears to be the best option (Fig.2 (5x7mm FC)). Note the bone height (2.9 mm) and the thick sinus membrane (M, Fig.2') . B: buccal. Bony defect will be filled with sticky bone and held in place with Cytoplast, while PRF for sinus lift. Because she is afraid of implant, RCT, followed by SRP and possibly periodontal surgery, seems to be viable because of the straight, not-so-narrow canals (Fig.3-5). Due to time constraint, immediate implant will be done free hand. Use IS cassette, since there are 3 and 4 mm stoppers. Prepare FC dummy and water lifter for sinus lift.
Return to Upper Molar Immediate Implant, Prevent Molar Periimplantitis (Protocols, Table) Trajectory II Clindamycin Xin Wei, DDS, PhD, MS 1st edition 11/07/2019, last revision 01/25/2020