![]() |
![]() |
![]() |
![]() |
![]() |
食物堵塞
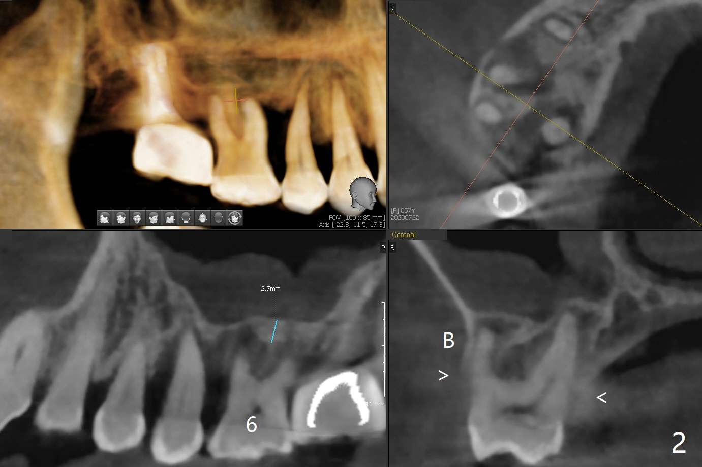
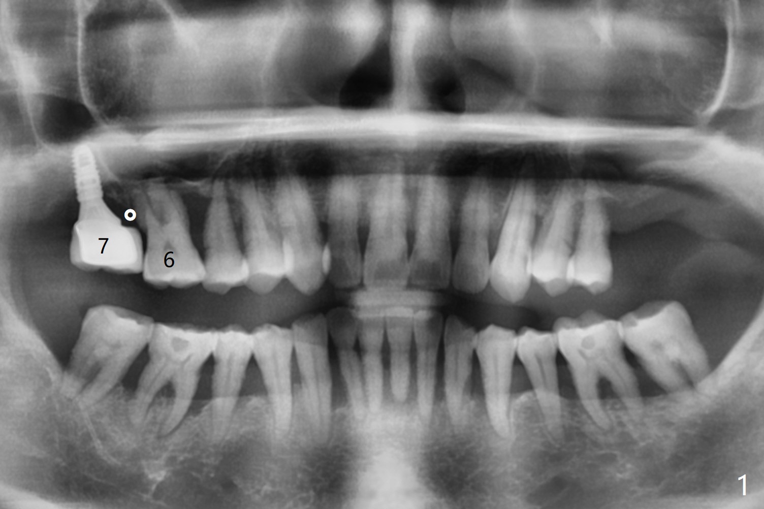
57岁女严重牙周炎,主诉右上磨牙食物堵塞(图一:圆圈)。第一磨牙骨质吸收,松动,需要拔除,尽管骨壁2-3毫米(图二),使用导航应该能取得5乘7.3毫米植体(图三绿色)初步稳定性。上颌窦膜厚,提升术不容易破裂,使用PRF膜预防及修补。由于近中骨质缺损严重(图三 *),植体可以再提高些(箭头),利用粘性骨做提升以及骨质缺损充填,似乎颊侧骨质多些(图五),植体可以小些,万一不行,就做提升和植骨。左上磨牙区骨壁更薄(图四,约1毫米),外提升术之后再种植。
Return to
Prevent Molar Periimplantitis (Protocols,
Table)
No Deviation
Clindamycin Metronidazole
No Antibiotic
Xin Wei,
DDS, PhD, MS 1st edition 07/22/2020, last revision
08/23/2020