![]() |
![]() |
![]() |
![]() |
防止邻牙移位
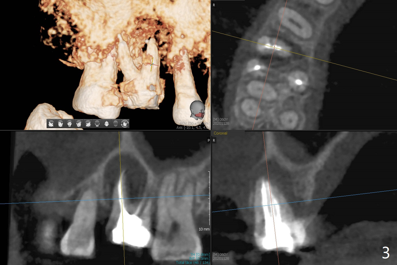
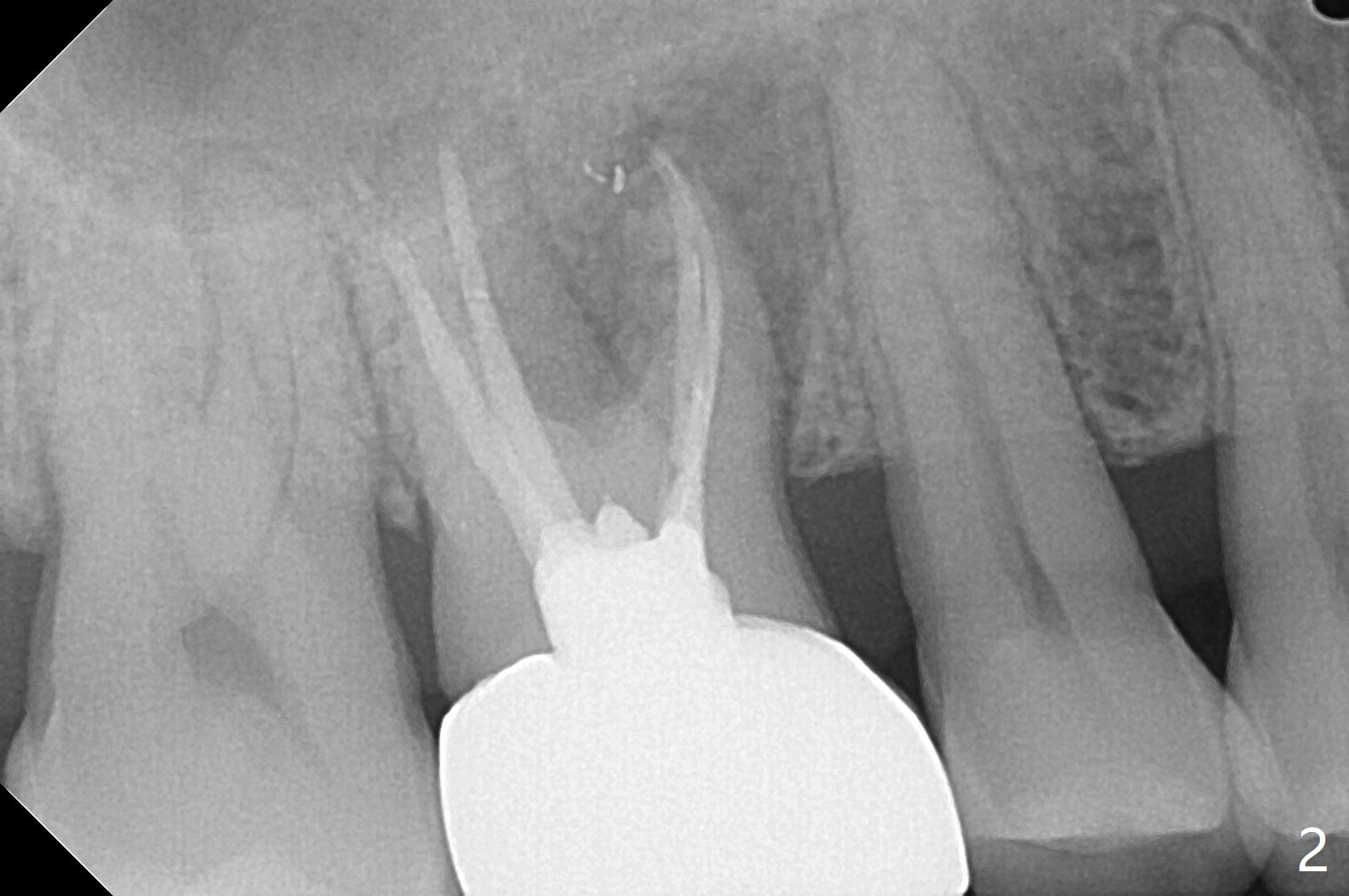
60岁男右上6出现脓包(图一),颊侧牙周袋深9毫米,指向近中颊侧根尖,根尖片(图二)和CT(图三(去除牙冠后))显示巨大近中颊侧根周骨质吸收,但是松动度低,一度想做根切。最佳植牙位点偏远中腭侧(图四),植体偏小,稳定性差,使用临时基台制作牙合面低的临时牙冠,目的包括固定粘性骨粉和防止邻牙移位。半张PRF膜用于上颌窦提升,另外半张用于覆盖牙槽窝开口的骨粉。局部使用抗菌素(Arestin),十九天后瘘道消失,根切,植骨可能成功。
Return to
Prevent Molar Periimplantitis (Protocols,
Table)
No
Caries
Metronidazole
31
手术
Xin Wei,
DDS, PhD, MS 1st edition 11/28/2020, last revision
12/17/2020