![]() |
![]() |
![]() |
![]() |
No Sinus Lift
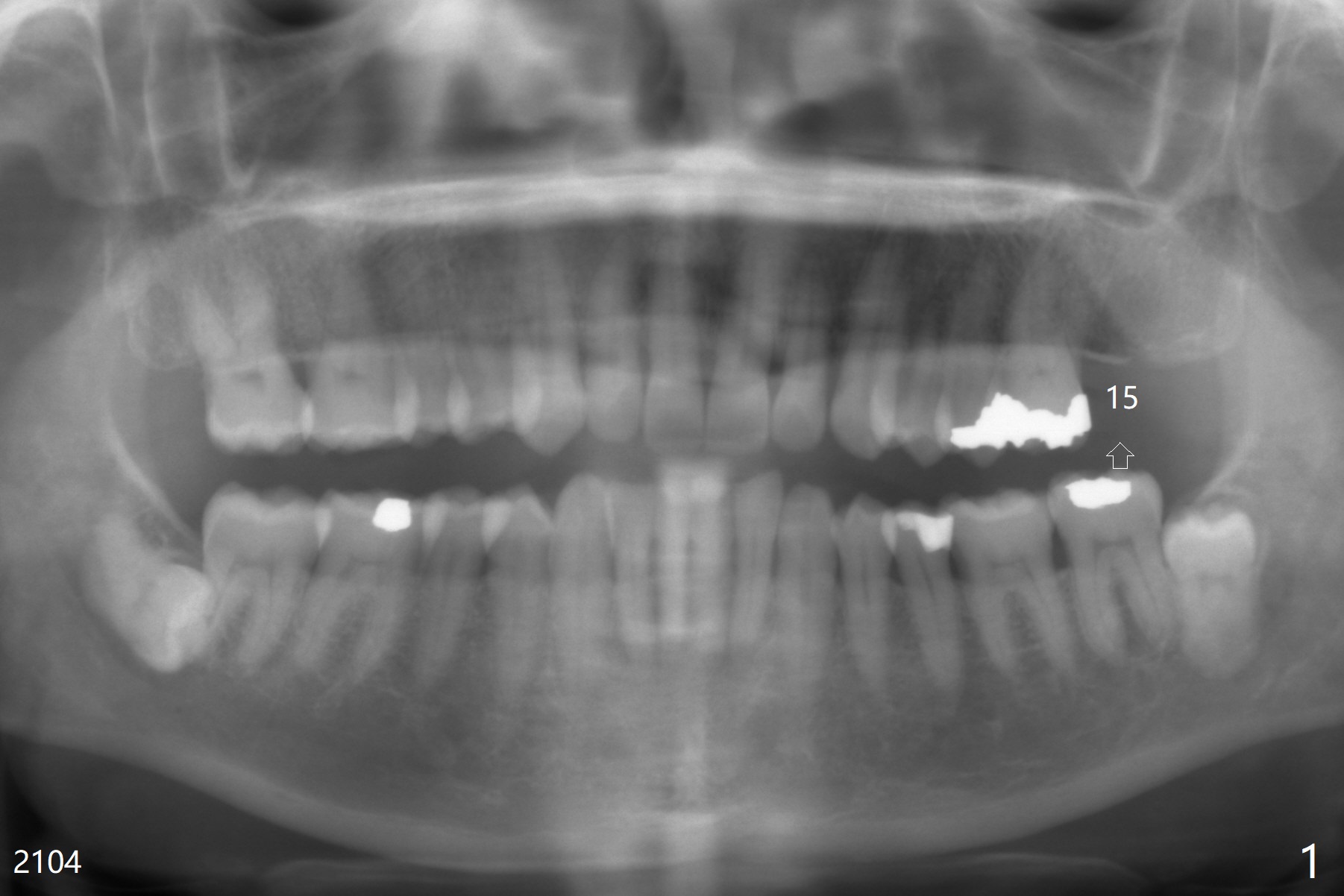
A 65-year-old woman has had signs & symptoms of crack tooth at #3 for the last 4 years (Fig.1-3). Finally the tooth is tender for mastication. Since the socket has infection and the bone is long (Fig.4 red line), an implant will be placed shy of the sinus floor (yellow dashed line). The bone loss (Fig.2,3 ^) may be associated with bruxism, which is detrimental to implant osteointegration. The immediate provisional should have enough occlusal clearance.
Return to
Upper
Molar Immediate Implant,
Prevent Molar Periimplantitis (Protocols,
Table),
Armaments,
Clindamycin
Xin Wei, DDS, PhD, MS 1st edition 07/13/2018, last revision 07/23/2018