Guided Surgery Done with Confidence

With understanding tissue punch and engagement of drill as much as possible into guide sleeve before pressing pedal, guided surgery is accomplished with confidence (Fig.1,2).  With undersized drilling, there is no thread exposure palatally, when a flap is raised.  Vanilla graft is placed, since it has been prepared before incision.  No membrane is used.  It appears that the palatal bone expands while the implant is being placed.  CBCT taken 10 days postop shows apparently the coronal end of the palatal plate (Fig.3 arrows) and bone graft (<).  Although postop pain is slightly more associated with incision for bone graft, the wound heals with periodontal dressing 10 days postop.

Again thank you for sharing your valuable experience and it is quite interesting that bone expands when we did the undersized drilling.  I just double checked the planning and found out that the original design had palatal thread exposure but when I see the screenshot, it is not. That is quite interesting and we have not heard about that quite yet. I mean the fact that undersized drilling has saved bone graft.  Let's try in other applicable cases again and it is verified as working, this could be a great idea to minimize the possibility of unnecessary bone grafting.  Jennifer overlaps the images of the design and the postop CT (Fig.4).
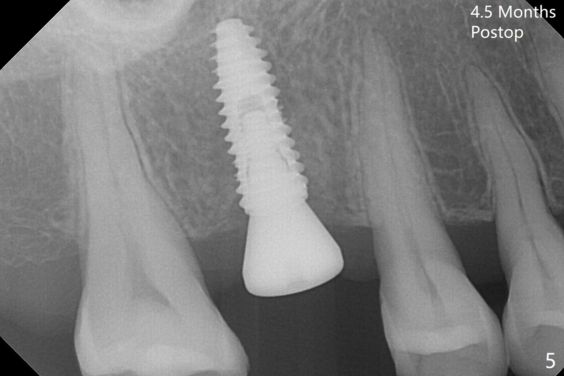
There is mild crestal bone loss 4.5 months postop (Fig.5).  When the patient returns for periodic exam and prophy 6 months post cementation, the crown is found to be loose, which is more likely associated with heavy mastication (long roots) and poor crown/implant ratio.  Since the distal contact is light, the case returns to lab.  PA taken following reseating the repaired abutment/crown shows crestal bone loss, which may be associated with the narrow ridge and/or the loose abutment.  The gingival cuff is less healthy (Fig.6).  The screw becomes loose again 4 months later.  When it is retightened, the distal proximal contact turns open (Fig.7 ^).  The crown appears to turn with the underlying abutment (Fig.8).  After breaking proximal contacts, the crown/abutment is retightened and pick up impression is taken.  It is likely that the abutment was not seated right when abutment-level impression was taken.  The crown table is slightly oversized (Fig.8). Three months later, the screw becomes loose for the 3rd time (unilateral mastication, pain at #19 without RCT).  The abutment hex is not worn.  The crown is removed and the abutment is reseated and torqued 30 Ncm.  Impression is taken for new crown.  The latter is cemented without removing the abutment (Fig.9 (note bone loss)).  In fact the crown/abutment should have been torqued with screw driver buried in place!
Return to Upper Molar Immediate Implant, Armaments
Xin Wei, DDS, PhD, MS 1st edition 04/27/2018, last revision 12/11/2019