![]() |
![]() |
Size is Not Your Friend, Precision is (I)
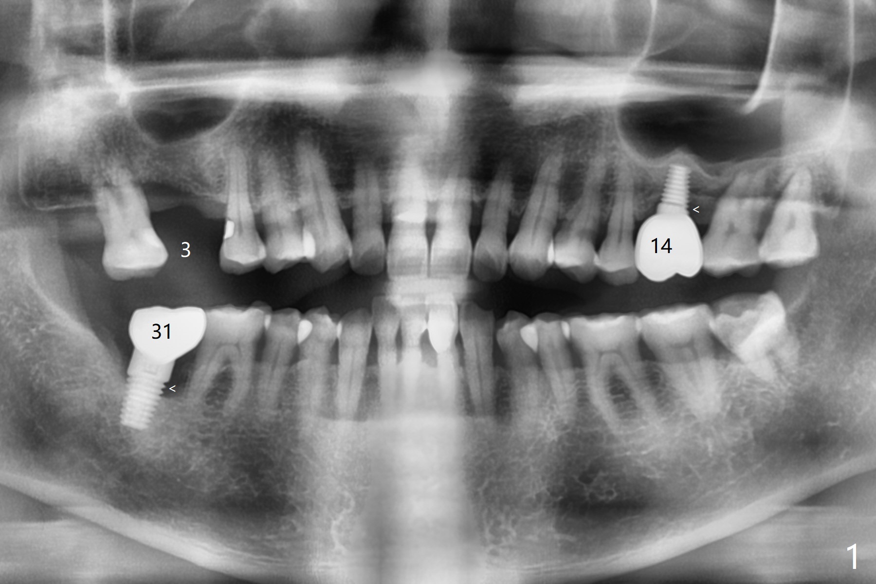
A 66-year-old man returns for #3 implant 1 month post #14 cementa-tion (Fig.1). The latter was placed free hand because of emergency (tooth fracture). The distal threads are exposed (<) probably related to shallow placement (imprecision) or insufficient bone graft. In spite of the wide ridge at #31 (data not shown), there is bone loss around the extremely large implant (<). In contrast, the ridge at #3 is narrow (Fig.2). A small implant (4x11 mm tissue-level) will be placed precisely in depth and position relative to the ridge with guide.
Return to
No Deviation
手术
Xin Wei, DDS, PhD, MS 1st edition
02/20/2020, last revision
04/24/2021