![]() |
![]() |
||
![]() |
![]() |
![]() |
![]() |
Sinus Lift with Bone Expanders
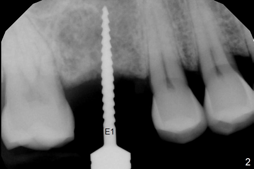
A 54-year-old man has lost the tooth #3 for 6 months with complicated sinus floor morphology (Fig.1 red dashed line (one of 2 outlines), bone height ~ 7 mm). Initial osteotomy depth is ~ 6 mm (Fig.2,3 with 1.2 mm initial drill and DIO Bone Expander 1 (E1 with diameter 1.0/1.6 mm). Following change in the trajectory, E2 (1.3/2.3 mm) is used for ~ 8 mm (Fig.4). After application of E4 (2.4/3.7 mm, Fig.5) and E5 (3.0/4.4 mm) for ~ 12 mm, the sinus membrane is found to have perforated. With placement of collagen membrane and cortical allograft (Fig.6 *), a 5x8.5 mm Hiossen implant is placed with >50 Ncm.
Return to
Upper
Molar Immediate Implant,
Instruments,
Surgeon: Dr. Gao
Xin Wei, DDS, PhD, MS 1st edition 06/10/2018, last revision 06/10/2018