![]() |
![]() |
![]() |
![]() |
![]() |
Socket Preservation for 3rd Molar M
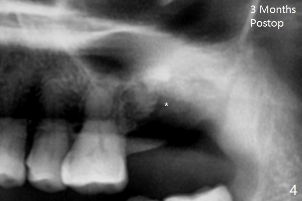
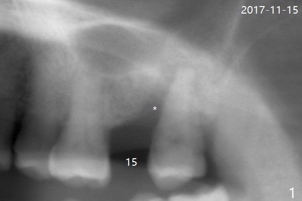
A 61-year-old woman requests #15 implant post ones at #2 and 6 because of pain in mastication (Fig.1). Examination shows that the tooth #16 has advanced periodontitis with mesial bone loss (Fig.1 *). It appears that there is insufficient bone for #15 implant. Bone graft seems necessary at #16 after extraction. There is severe hemorrhage post extraction. Osteogen plug is inserted for hemostasis prior to placement of allograft (Fig.2 *). The socket opening is covered with 12x12 mm Amnion-Chorion Membrane and 5-0 Polysyn. The socket seems to heal 9 days postop (Fig.3). The bone graft in the socket of #16 three months postop (Fig.4 *) will support an implant to be placed at #15 distal (Fig.5 *).
Return to Upper Molar Immediate Implant Trajectory II No Deviation Xin Wei, DDS, PhD, MS 1st edition 10/09/2019, last revision 04/14/2020