![]() |
![]() |
![]() |
|
![]() |
![]() |
![]() |
![]() |
![]() |
![]() |
![]() |
|
长根尖周围阴影
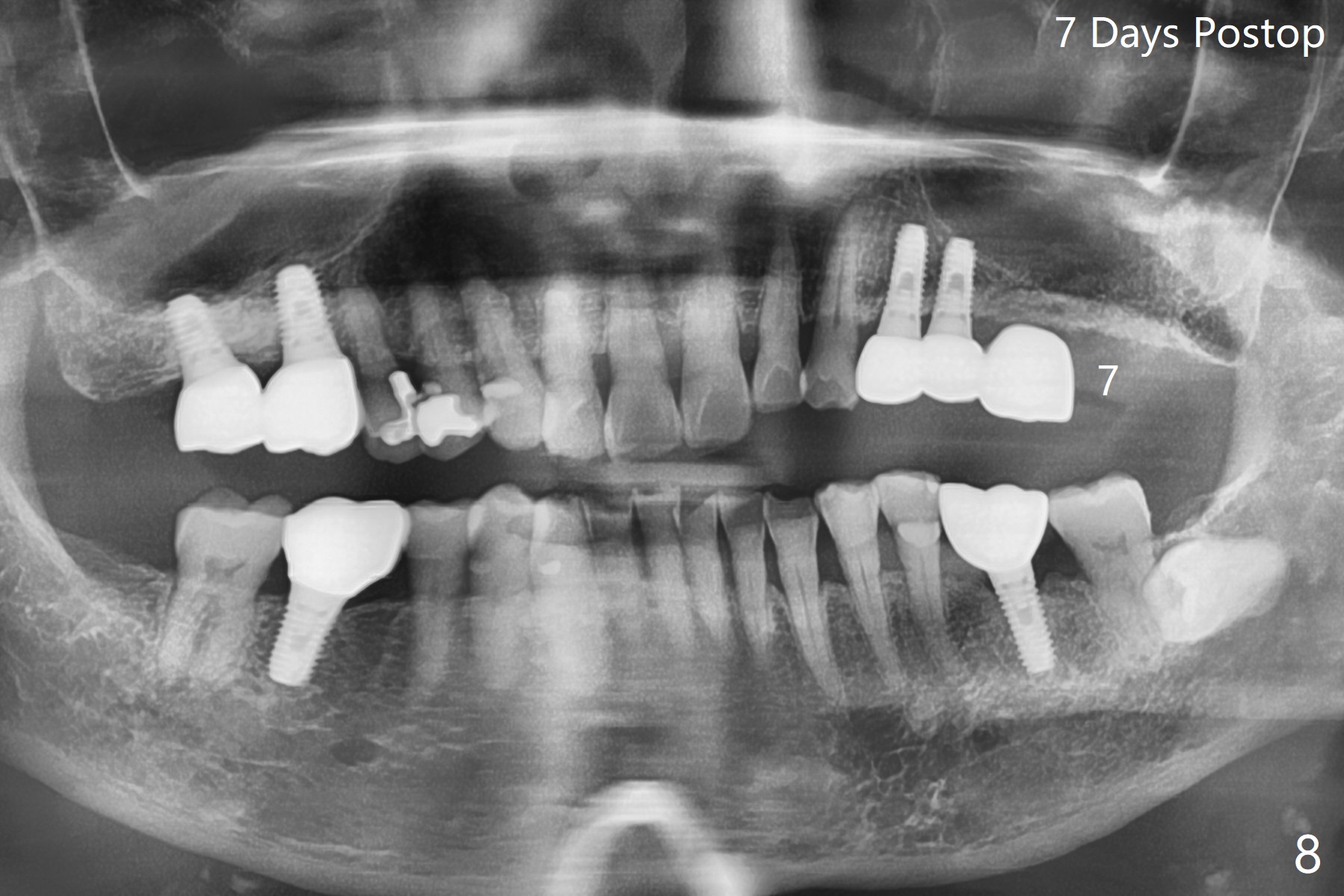
86岁男左上7折裂(图一),要求拔除,经过讨论(7拔除后,4-6悬臂桥可能断裂,对植体产生创伤,图二(左下7存在)),同意植骨。拔牙时发现中隔特别粗大(图三,五:S),三个牙槽窝根尖好像在中隔下面相互交通,擤鼻涕却没有气泡,仿佛与上颌窦没有相通。艰难清创后,放置Vanilla骨粉(图三),腭侧根特别容易填满,而颊侧根填入许多骨粉,术后CT远中颊侧骨粉尤其多(图四),上颌窦粘膜增厚(原来有季节性过敏)。术前根尖片显示远中颊侧根尖周围阴影很长(图五,六(虚线))。第二天早上鼻出血(仅有一次),今后牙槽窝明显比牙根长,清创控制深度,先放置胶原塞或PRF膜,后放骨粉。病人已经购买水牙线。术后7天树脂敷料稳定,局部卫生好(图七),骨粉好像进入上颌窦后部(图八)。术后1.5个月树脂敷料仍在原位,很容易撤除,牙槽窝愈合(图九),骨粉好像没有丢失(图十)。
Return to
No
Caries
Xin Wei,
DDS, PhD, MS 1st edition 02/17/2021, last revision
04/01/2021