![]() |
![]() |
![]() |
![]() |
![]() |
|
Pain with Unknown Origin
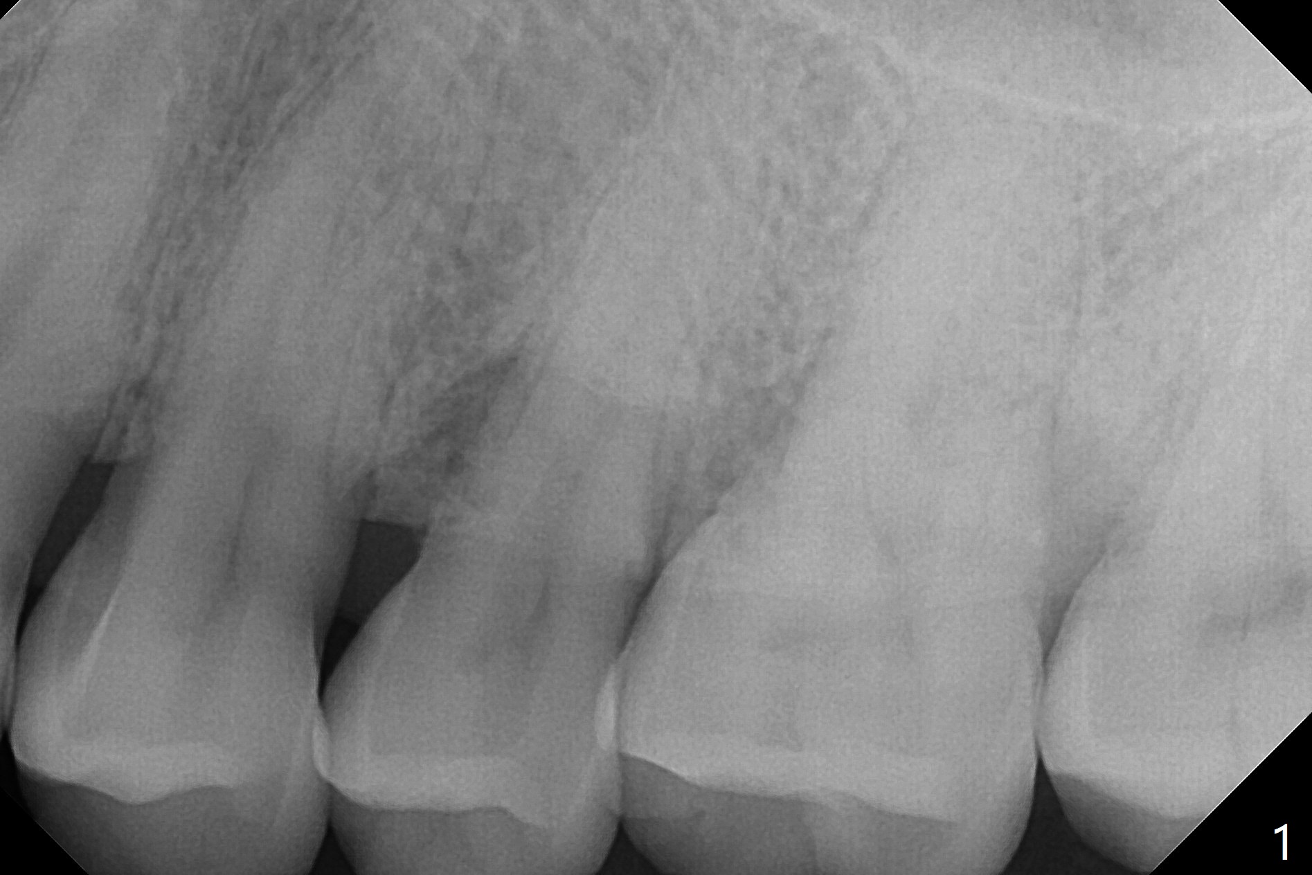
A 44-year-old man presented to clinic with pain of the upper left quadrant (Fig.1), but the affected tooth was not determined until 5 months later (Fig.3,4). Retrospectively the minor crack is visible earlier (Fig.2 arrowheads). It appears that the remaining bone (sinus floor) is limited (Fig.5). Magic Sinus lift or Magic Expanders will be used for sinus lift. Prepare 2-3 pieces of PRF membranes: one or two for sinus lift; the third one to close the socket if primary stability is <30 Ncm.
Return to
Upper
Molar Immediate Implant, Prevent
Molar Periimplantitis (Protocols,
Table), Armaments,
No Antibiotic
Xin Wei, DDS, PhD, MS 1st edition 03/23/2018, last revision 03/23/2018